Patients with heart disease may be at increased risk for advanced breast cancer
Cardiovascular disease (CVD) and cancer are the two leading causes of death in the U.S. According to researchers from The University of Texas MD Anderson Cancer Center, patients diagnosed with late-stage or metastatic breast cancer have a statistically significant increased risk of pre-diagnosis CVD compared to those with early-stage cancer at diagnosis.
The study, published today in JAMA Network Open, found those with advanced...
MD Anderson Research Highlights for December 18, 2024
The University of Texas MD Anderson Cancer Center’s Research Highlights showcases the latest breakthroughs in cancer care, research and prevention...
MD Anderson’s Lauren Averett Byers receives TAMEST O’Donnell Award for seminal contributions to lung cancer research
Lauren Averett Byers, M.D., professor of Thoracic/Head & Neck Medical Oncology at The University of Texas MD Anderson Cancer Center...
MD Anderson and AmMax Bio announce agreements to advance development of AMB-066 in colorectal cancer patients with minimal residual disease
The University of Texas MD Anderson Cancer Center and AmMax Bio, Inc. today announced a worldwide exclusive license agreement and clinical trial agreement to develop and advance AmMax’s AMB-066 monoclonal antibody therapy as a first-in-class treatment option for patients with colorectal cancer (CRC) and minimal residual disease (MRD) as well as those with MRD in other solid tumors.
Under the agreements, AmMax and MD Anderson will...
ASH: Triplet combination regimens demonstrate high response rates in multiple leukemias
ABSTRACTS: 216, 219, 1011
SAN DIEGO ― Three clinical trials led by researchers from The University of Texas MD Anderson...
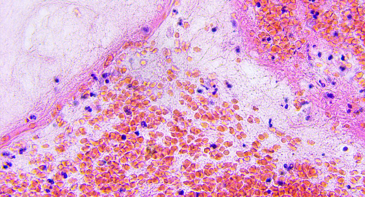
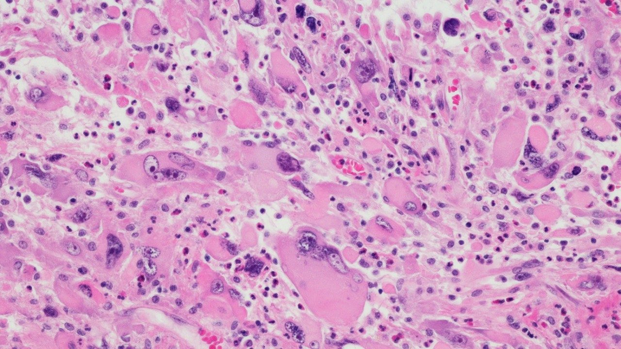
ASH: Monoclonal antibody therapy improves survival in cancer-associated hyper-inflammatory disorder
ABSTRACT: 805
SAN DIEGO – Adult patients with newly diagnosed malignancy-associated hemophagocytic lymphohistiocytosis (mHLH) – a rare...
MD Anderson Research Highlights: ASH 2024 Special Edition
The University of Texas MD Anderson Cancer Center’s Research Highlights showcases the latest breakthroughs in cancer care, research and prevention...
Novel CAR T cell therapy obe-cel demonstrates high response rates in adult patients with advanced B-cell ALL
Patients with relapsed or refractory CD19-positive B-cell acute lymphoblastic leukemia (ALL) who were treated with the novel anti-CD19 chimeric...
MD Anderson, the Oden Institute and TACC announce funding for six new collaborative cancer projects
The University of Texas MD Anderson Cancer Center, the Oden Institute for Computational Engineering and Sciences and the Texas Advanced Computing...
MD Anderson Research Highlights for November 21, 2024
The University of Texas MD Anderson Cancer Center’s Research Highlights showcases the latest breakthroughs in cancer care, research and prevention...
MD Anderson receives nearly $8 million in CPRIT funding for screening and early detection programs, faculty recruitment
The University of Texas MD Anderson Cancer Center today was awarded nearly $8 million from the Cancer Prevention and Research Institute of...
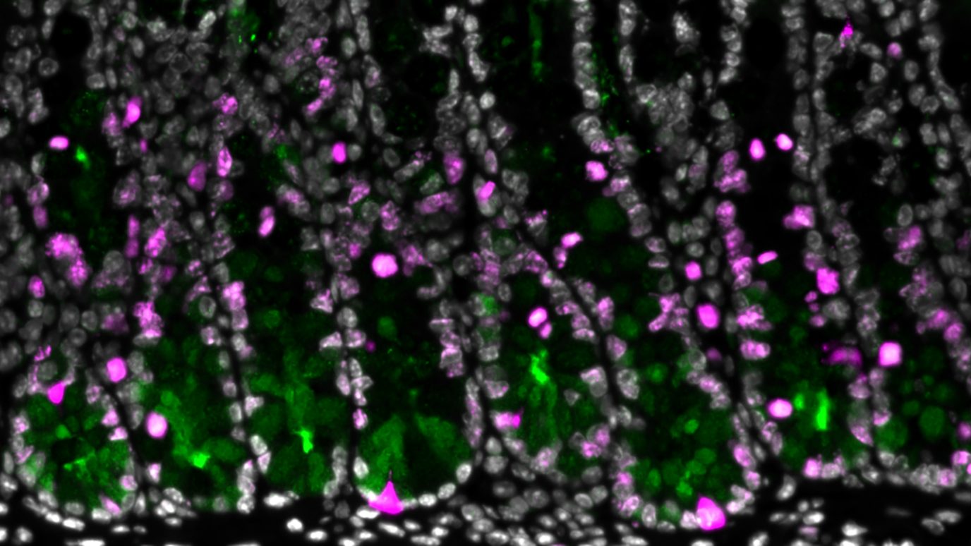
Healthy women have cells that resemble breast cancer, study finds
A new study from researchers at The University of Texas MD Anderson Cancer Center finds that, in healthy women, some breast cells that otherwise...
MD Anderson Research Highlights: SITC 2024 Special Edition
The University of Texas MD Anderson Cancer Center’s Research Highlights showcases the latest breakthroughs in cancer care, research and prevention...
MD Anderson launches Institute for Cell Therapy Discovery & Innovation to deliver transformational new therapies
The University of Texas MD Anderson Cancer Center today announced the launch of its Institute for Cell Therapy Discovery & Innovation,...
Jennifer Bickel, M.D., named MD Anderson Vice President and Chief Wellness Officer
The University of Texas MD Anderson Cancer Center today announced the selection of Jennifer Bickel, M.D., as the institution’s inaugural vice...
Quitting smoking after cancer diagnosis improves survival across a wide variety of cancers
Smokers who are diagnosed with cancer now have more incentive to quit, as researchers from The University of Texas MD Anderson Cancer Center...
MD Anderson Research Highlights for October 30, 2024
The University of Texas MD Anderson Cancer Center’s Research Highlights showcases the latest breakthroughs in cancer care, research and prevention...
MD Anderson statement on BCBS TX ending Medicare Advantage and Medicaid plans
Blue Cross Blue Shield notified The University of Texas MD Anderson Cancer Center it will end its Letter of Agreement for Medicare Advantage...
Combining targeted therapy and immunotherapy improves overall survival in patients with anaplastic thyroid cancer
Researchers from The University of Texas MD Anderson Cancer Center demonstrated that anti-PD-L1 immunotherapy in combination with mutation-directed...
MD Anderson expands arts experience program to enhance healing and well-being for patients
As part of its ongoing commitment to patient comfort and healing, The University of Texas MD Anderson Cancer Center today announced a new...
Funda Meric-Bernstam, M.D., elected to National Academy of Medicine
Funda Meric-Bernstam, M.D., chair of Investigational Cancer Therapeutics at The University of Texas MD Anderson Cancer Center, has been elected...
MD Anderson Research Highlights for October 16, 2024
The University of Texas MD Anderson Cancer Center’s Research Highlights showcases the latest breakthroughs in cancer care, research and prevention...
Allison Institute scientific symposium features spatial biology breakthroughs, $5 million gift to support further efforts
The James P. Allison Institute™ at The University of Texas MD Anderson Cancer Center hosted its second annual scientific...
Dual immunotherapy plus chemotherapy benefits specific subset of patients with lung cancer
Researchers from The University of Texas MD Anderson Cancer Center have demonstrated that patients with metastatic non-squamous non-small...
MD Anderson and UICC collaborate to improve women's cancer care
The University of Texas MD Anderson Cancer Center today announced an agreement to become a Women’s Cancer Partner with the Union for International...
MD Anderson Research Highlights for October 2, 2024
The University of Texas MD Anderson Cancer Center’s Research Highlights showcases the latest breakthroughs in cancer care, research and prevention...
MD Anderson Research Highlights Special Edition: ASTRO 2024
The University of Texas MD Anderson Cancer Center’s Research Highlights showcases the latest breakthroughs in cancer care, research and prevention...
MD Anderson launches first-ever academic journal: Advances in Cancer Education & Quality Improvement
The University of Texas MD Anderson Cancer Center today announced its first-ever academic journal, Advances in Cancer Education & Quality...
Allison Institute and Institute for Data Science in Oncology blend spatial biology efforts by appointing new member
The James P. Allison Institute™ and the Institute for Data Science in Oncology (IDSO) at The University of Texas MD Anderson Cancer...
MD Anderson Research Highlights for September 19, 2024
The University of Texas MD Anderson Cancer Center’s Research Highlights showcases the latest breakthroughs in cancer care, research and prevention...
Novel triplet regimen yields promising response in advanced-phase chronic myeloid leukemia
According to researchers at The University of Texas MD Anderson Cancer Center, 80% of patients with previously untreated or relapsed/refractory...
ESMO: Combination therapy reduced agitated delirium in patients with advanced cancers
ABSTRACT: 1476O
BARCELONA, Spain ― Treatment with a combination of haloperidol and lorazepam reduced symptoms of agitated delirium,...
ESMO: Novel ADC AZD8205 demonstrates manageable safety profile and preliminary efficacy in first-in-human trial
ABSTRACT: 606O
BARCELONA, Spain – The antibody-drug conjugate (ADC) puxitatug samrotecan (AZD8205) demonstrated a manageable safety...
MD Anderson and Rice launch initiative to advance cancer-focused operations research
The University of Texas MD Anderson Cancer Center and Rice University today announced the launch of the Center for Operations Research in...
MD Anderson Research Highlights Special Edition: ESMO 2024
The University of Texas MD Anderson Cancer Center’s Research Highlights provides a glimpse into recent basic, translational and clinical cancer...
MD Anderson Research Highlights Special Edition: 2024 World Conference on Lung Cancer
The University of Texas MD Anderson Cancer Center’s Research Highlights provides a glimpse into recent basic, translational and clinical cancer...
MD Anderson Research Highlights for September 4, 2024
The University of Texas MD Anderson Cancer Center’s Research Highlights showcases the latest breakthroughs in cancer care, research and prevention...
Americans face disparities in exposure to tobacco on streaming platforms
Tens of millions of Americans are being exposed to tobacco content on streaming services, according to new research from The University of...
MD Anderson receives over $21.4 million in CPRIT funding to support research and launch new core facilities
The University of Texas MD Anderson Cancer Center today was awarded nine grants totaling over $21.4 million from the Cancer Prevention and...
MD Anderson Research Highlights for August 21, 2024
The University of Texas MD Anderson Cancer Center’s Research Highlights showcases the latest breakthroughs in cancer care, research and prevention...
NK cells expressing interleukin-21 show promising antitumor activity in glioblastoma cells
Natural killer (NK) cells engineered to express interleukin-21 (IL-21) demonstrated sustained antitumor activity against glioblastoma stem...
MD Anderson Research Highlights for August 7, 2024
The University of Texas MD Anderson Cancer Center’s Research Highlights showcases the latest breakthroughs in cancer care, research and prevention...
Adding metastasis-directed radiation therapy boosts progression-free survival in metastatic pancreatic cancer
Researchers from The University of Texas MD Anderson Cancer Center demonstrated that adding metastasis-directed radiation therapy...
MD Anderson and collaborators to launch project studying T cells on International Space Station
The University of Texas MD Anderson Cancer Center and collaborators are initiating a research project that will send T cells to the International...
MD Anderson and Summit Therapeutics announce strategic collaboration to accelerate development of ivonescimab
The University of Texas MD Anderson Cancer Center and Summit Therapeutics, Inc. today announced a strategic five-year collaboration agreement...
MD Anderson Research Highlights for July 24, 2024
The University of Texas MD Anderson Cancer Center’s Research Highlights showcases the latest breakthroughs in cancer care, research and prevention...
MD Anderson expands global oncology efforts through new agreement with Zambia Ministry of Health
The University of Texas MD Anderson Cancer Center today announced the further expansion of its global oncology efforts by signing a memorandum...
MD Anderson ranked No. 1 in the nation for cancer care
The University of Texas MD Anderson Cancer Center today was ranked number one in the nation for cancer care in U.S. News & World Report...
MD Anderson Research Highlights for July 11, 2024
The University of Texas MD Anderson Cancer Center’s Research Highlights provides a glimpse into recent basic, translational and clinical cancer...
Study supports precision radiation therapy in lung cancer
Results from a new study led by researchers at The University of Texas MD Anderson Cancer Center support standard use of the more precise...
MD Anderson and Rice launch Cancer Bioengineering Collaborative
The University of Texas MD Anderson Cancer Center and Rice University today announced the creation of the Cancer Bioengineering Collaborative...
Activating molecular target reverses multiple hallmarks of aging
Researchers at The University of Texas MD Anderson Cancer Center have demonstrated that therapeutically restoring ‘youthful’ levels of...
CAR NK cells with CD28 costimulation improved cell persistence and antitumor activity
Adding CD28 costimulation to cord blood-derived chimeric antigen receptor (CAR) natural killer (NK) cells targeting CD70+ cancers significantly...
MD Anderson Research Highlights for June 19, 2024
The University of Texas MD Anderson Cancer Center’s Research Highlights showcases the latest breakthroughs in cancer care, research and prevention...
MD Anderson’s Institute for Data Science in Oncology establishes internal advisory council to maximize impact
The Institute for Data Science in Oncology (IDSO) at The University of Texas MD Anderson Cancer Center today announced the establishment of...
MD Anderson Research Highlights: EHA 2024 Special Edition
ABSTRACTS: LB3439, LB3442, S131, S132, S136, S164, S222
The University of Texas MD Anderson Cancer Center’s Research Highlights showcases...
MD Anderson celebrates the life and legacy of V. Craig Jordan, Ph.D.
Pharmacologist V. Craig Jordan, Ph.D., a professor of Breast Medical Oncology and Molecular and Cellular Oncology at The University of Texas...
MD Anderson and Sibylla Biotech announce strategic collaboration to discover and develop small-molecule protein degraders
The University of Texas MD Anderson Cancer Center and Sibylla Biotech today announced a strategic collaboration agreement to discover and...
Allison Institute announces appointment of two immunobiology experts as associate members
The James P. Allison Institute™ at The University of Texas MD Anderson Cancer Center today announced the appointment of its newest members...
MD Anderson Research Highlights for June 5, 2024
The University of Texas MD Anderson Cancer Center’s Research Highlights showcases the latest breakthroughs in cancer care, research and prevention...
ASCO: Proton therapy demonstrates advantages in Phase III head and neck cancer trial
ABSTRACT 6006
According to preliminary data from a multi-institution Phase III trial led by researchers at The University of...
ASCO: Novel targeted cancer therapies demonstrate activity and safety in metastatic solid tumors
ABSTRACTS: 3000 and 3005
Two early-phase clinical trials presented at the 2024 American Society of Clinical Oncology (ASCO) Annual...
ASCO: Novel CAR T therapy and shorter targeted therapy durations show promise for patients with leukemia
ABSTRACTS: 6504, 6507
Researchers from The University of Texas MD Anderson Cancer Center presented positive clinical results from two...
ASCO: MD Anderson’s Sharon Giordano and Richard Gorlick honored as 2024 Special Awards Recipients
In honor of their outstanding contributions to the field of oncology, two researchers from The University of MD Anderson Cancer Center will...
MD Anderson Research Highlights: ASCO 2024 Special Edition
The University of Texas MD Anderson Cancer Center’s Research Highlights showcases the latest breakthroughs in cancer care, research and prevention...
MD Anderson Research Highlights for May 21, 2024
The University of Texas MD Anderson Cancer Center’s Research Highlights showcases the latest breakthroughs in cancer care, research and prevention...
End-of-life systemic treatment for patients with advanced cancers does not improve survival
Patients with very advanced solid tumors saw no significant improvement in overall survival after receiving systemic therapy, according to...
MD Anderson Research Highlights for May 8, 2024
The University of Texas MD Anderson Cancer Center’s Research Highlights showcases the latest breakthroughs in cancer care, research and prevention...
Increasing doses of varenicline or nicotine replacement helps persistent smokers quit
For most smokers, quitting on the first attempt is likely to be unsuccessful, but a new study from The University of Texas MD Anderson Cancer...
MD Anderson researcher Sharon Dent elected to prestigious National Academy of Sciences
Sharon Dent, Ph.D., professor of Epigenetics and Molecular Carcinogenesis at The University of Texas MD Anderson Cancer Center, has been...
MD Anderson and Pan American Health Organization join forces to support cancer prevention and control in the Americas
The University of Texas MD Anderson Cancer Center and the Pan American Health Organization (PAHO) today announced the signing of an agreement...
MD Anderson and Replay announce FDA clearance of IND application for first-in-class PRAME-targeted TCR NK cell therapy for hematological malignancies
The University of Texas MD Anderson Cancer Center and Replay today announced that the Food & Drug Administration (FDA) has issued...
Cancer screening rates are significantly lower in U.S. Federally Qualified Health Centers
A national study led by researchers at The University of Texas MD Anderson Cancer Center and The University of New Mexico (UNM) Comprehensive...
MD Anderson and RUSH Unveil RUSH MD Anderson Cancer Center
The University of Texas MD Anderson Cancer Center and RUSH University System for Health today announced a partnership to create RUSH MD Anderson...
MD Anderson Research Highlights for April 24, 2024
The University of Texas MD Anderson Cancer Center’s Research Highlights showcases the latest breakthroughs in cancer care, research and prevention...
Study opens new avenue for immunotherapy drug development
In a new study published today in Nature Biomedical Engineering, researchers at The University of Texas MD Anderson Cancer Center have designed...
Four MD Anderson researchers elected AAAS Fellows
HOUSTON ― In recognition of their significant achievements in the realm of cancer care and research, four researchers at The University of...
MD Anderson and CureVac enter strategic collaboration to develop novel cancer vaccines
The University of Texas MD Anderson Cancer Center and CureVac N.V. today announced a co-development and licensing agreement to develop novel...
MD Anderson Research Highlights for April 12, 2024
The University of Texas MD Anderson Cancer Center’s Research Highlights showcases the latest breakthroughs in cancer care, research and prevention...
AACR: Trio of studies highlights promising early results with new cancer therapies and targets
ABSTRACTS CT037, CT038, CT042
Three early-phase clinical studies presented by researchers from The University of Texas MD Anderson...
AACR: PARP1-selective inhibitor demonstrates early efficacy in breast cancers with DNA repair defects
The first-in-class PARP1-selective inhibitor saruparib demonstrated encouraging early efficacy and a favorable safety profile in patients...
AACR: Combination treatment is well-tolerated, shows antitumor effects in KRAS G12C-mutated metastatic colorectal cancer
Combining the KRAS G12C inhibitor adagrasib with the anti-EGFR antibody cetuximab demonstrated promising anti-tumor effects in patients with...
AACR: Novel immunotherapies show promise for patients with kidney cancer and for solid organ transplant recipients with skin cancer
Researchers from The University of Texas MD Anderson Cancer Center presented encouraging findings today from two clinical trials in a plenary...
MD Anderson Research Highlights AACR 2024 Special Edition
ABSTRACTS: 1212, 1227, 1244, 1283, CT030, 3893, 3922, 3930, 3942, 6620
The University of Texas MD Anderson Cancer Center’s Research...
Radiation before mastectomy cuts time delays for reconstructive surgery in breast cancer patients
Researchers at The University of Texas MD Anderson Cancer Center showed that altering the sequence of breast cancer treatment to administer...
AACR: MD Anderson’s Scott Kopetz and Elizabeth Travis honored with 2024 Scientific Achievement Awards
Two researchers from The University of Texas MD Anderson Cancer Center will be honored with Scientific Achievement Awards at the American...
AACR: MD Anderson's Padmanee Sharma elected Fellow of the AACR Academy
Padmanee Sharma, M.D., Ph.D., associate vice president of Immunobiology, professor of Genitourinary Medical Oncology and Immunology, and director...
MD Anderson’s Institute for Data Science in Oncology announces appointment of inaugural IDSO Affiliates
The Institute for Data Science in Oncology (IDSO) at The University of Texas MD Anderson Cancer Center today announced the appointment...
MD Anderson Research Highlights for March 20, 2024
The University of Texas MD Anderson Cancer Center’s Research Highlights showcases the latest breakthroughs in cancer care, research and prevention...
MD Anderson Research Highlights for March 7, 2024
The University of Texas MD Anderson Cancer Center’s Research Highlights showcases the latest breakthroughs in cancer care, research and prevention...
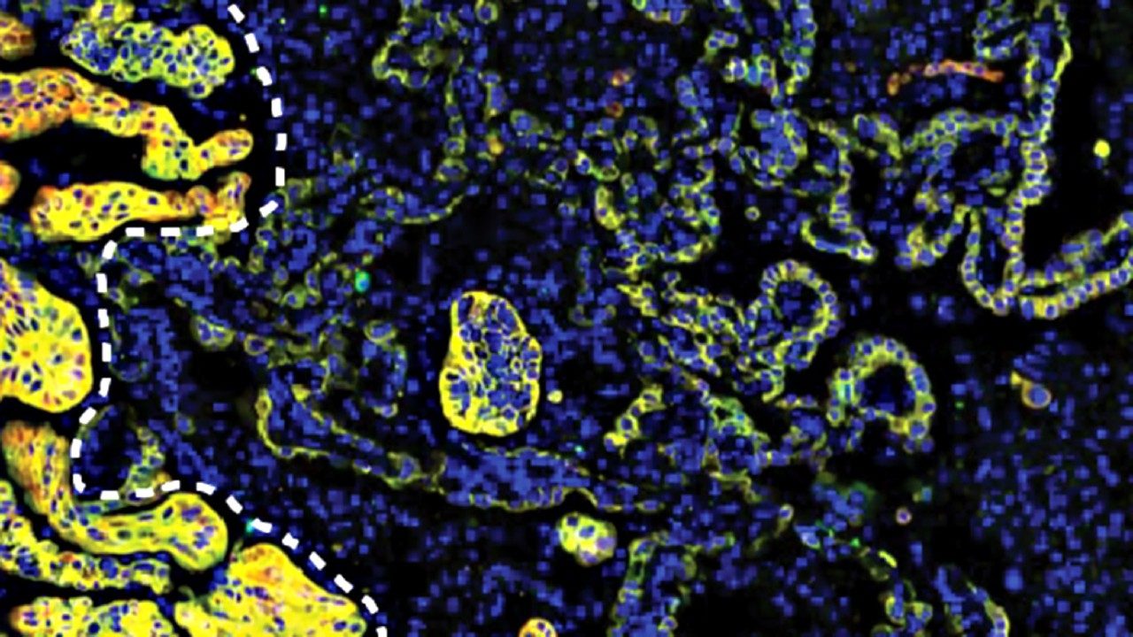
Study unravels the earliest cellular genesis of lung adenocarcinoma
Researchers at The University of Texas MD Anderson Cancer Center built a new atlas of lung cells, uncovering new cellular pathways and precursors...
MD Anderson acquires inducible switch technologies for cell therapy
The University of Texas MD Anderson Cancer Center today announced it has acquired certain assets from Bellicum Pharmaceuticals,...
MD Anderson researchers receive over $25.5 million in CPRIT funding
The University of Texas MD Anderson Cancer Center today was awarded 16 grants totaling over $25.5 million from the Cancer Prevention and Research...
MD Anderson Research Highlights for February 21, 2024
The University of Texas MD Anderson Cancer Center’s Research Highlights showcases the latest breakthroughs in cancer care, research and prevention...
Immunotherapy before surgery leads to promising long-term survival in sarcoma patients
Patients with soft-tissue sarcoma treated with neoadjuvant, or pre-surgical, immunotherapy had very little residual tumor at the time of surgery...
Biomarker-directed combination effective in immunotherapy-resistant lung cancer
A specific combination of targeted therapy and immunotherapy may better help patients with non-small cell lung cancer (NSCLC) overcome inherent...
MD Anderson and C-Biomex sign collaborative research agreement to co-develop CBT-001 radioligand therapy
The University of Texas MD Anderson Cancer Center and C-Biomex Ltd. today announced a strategic research collaboration agreement to co-develop...
MD Anderson Research Highlights for February 7, 2024
The University of Texas MD Anderson Cancer Center’s Research Highlights showcases the latest breakthroughs in cancer care, research and prevention...
MD Anderson designated IAEA Collaborating Centre to focus on improving radiation, radiology and nuclear medicine worldwide
The University of Texas MD Anderson Cancer Center today announced the signing of an agreement with the International Atomic Energy Agency...
MD Anderson Research Highlights for January 25, 2024
The University of Texas MD Anderson Cancer Center’s Research Highlights showcases the latest breakthroughs in cancer care, research and prevention...
Cervical cancer rates rising in low-income U.S. counties
Women in low-income areas of the U.S. face a stark rise in cervical cancer incidence and mortality, according to a new study led by researchers...
CD19-targeted CAR NK cell therapy achieves promising one-year results in patients with B-cell malignancies
Researchers from The University of Texas MD Anderson Cancer Center reported promising results in a Phase I/II trial of 37 patients with...
MD Anderson Research Highlights for January 10, 2024
The University of Texas MD Anderson Cancer Center’s Research Highlights showcases the latest breakthroughs in cancer care, research and prevention...
Vaccine demonstrates potential in delaying relapse of KRAS-mutated pancreatic and colorectal cancers
A vaccine showed potential to prevent relapse of KRAS-mutated pancreatic and colorectal cancers for patients who had previously undergone...