Allison Institute’s third annual scientific symposium highlighted by panel discussion with five Nobel laureates
Sessions focused on the latest advances in cancer vaccines, immunotherapy and immunology research
Symposium featured a panel discussion with five Nobel laureates, moderated by TIME Senior Health Correspondent Alice Park
The James P. Allison Institute™ at The University of Texas MD Anderson Cancer Center hosted its third annual scientific symposium, “The Multiverse of Mechanistic Processes Impacting Immunity,” on Oct. 24 at the TMC3 ...
Leading cancer research centers reinforce importance of safe and effective HPV vaccination to prevent cancer
62 NCI-designated cancer centers, leading national organizations and the University of Puerto Rico Comprehensive Cancer Center jointly endorse...
MD Anderson and Phoenix SENOLYTIX announce strategic cross-licensing agreement to enhance inducible switch technologies for cell and gene therapies
Agreement focuses on rimiducid, an agent used to activate certain safety switch technologies in cell therapies
Phoenix receives a supply of...
Novel tool helps identify key targets to strengthen CAR NK cell therapies
Researchers developed the first genome-wide CRISPR screening tool for primary human natural killer (NK) cells
Study revealed critical regulators of NK cell activity that can be targeted to improve chimeric antigen receptor (CAR) NK cell therapies
Findings open new avenues for developing more effective CAR NK cell therapies for many cancers
HOUSTON, AUGUST 21, 2025 ― Natural killer (NK) cells became markedly better at killing cancer...
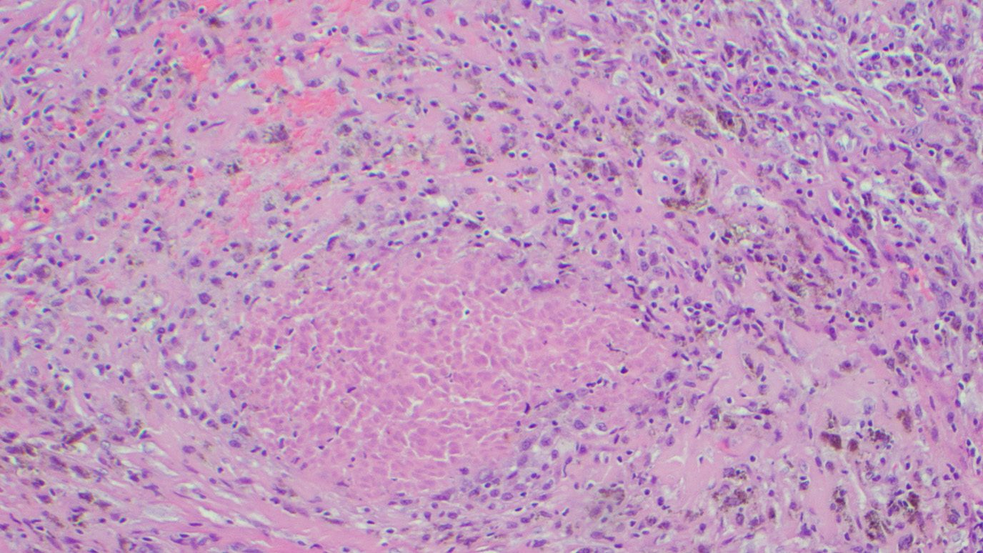
Cancer-associated nerve injury leads to chronic inflammation and immunotherapy resistance
Study finds cancer cells break down protective nerve coverings, leading to nerve injury and chronic inflammation
These nerve injuries drive...
MD Anderson and TOPPAN Holdings announce strategic alliance to co-develop organoid technology for evaluating cancer treatments
3D cell culture technology may allow researchers to rapidly test a variety of treatments directly on patient biopsies
Teams will evaluate technology...
MD Anderson ranked No. 1 in the nation for cancer care
Top ranking maintained for 11 years
National rankings in multiple subspecialties and high performing ratings for several procedures and...
Most patients with advanced melanoma who received pre-surgical immunotherapy remain alive and disease free four years later
Patients with stage III melanoma were treated with nivolumab (anti-PD1) and relatlimab (anti-LAG-3) before surgery
87% of patients remained...
New genetic marker linked to improved survival with immunotherapy in ovarian and other cancers
Ovarian clear cell carcinoma is difficult to treat, and treatment options are limited
Patients with specific PPP2R1A mutations...
MD Anderson achieves sixth Magnet designation in recognition of nursing excellence
The American Nurses Credentialing Center (ANCC) Magnet Recognition Program is the highest honor of excellence in nursing
MD Anderson achieved...