Researchers identify Rb1 as a predictive biomarker for a new therapeutic strategy in some breast cancers
Novel targeted therapy regimens show promise in aggressive AML subtype
MECOM-rearranged acute myeloid leukemia (AML) is an aggressive and hard-to-treat leukemia
Researchers combined three inhibitors...
Promising target improves antitumor response in preclinical models of pancreatic cancer
Inhibiting GFER along with...
Proton therapy shows survival benefit in Phase III trial for patients with head and neck cancers
A new study published today in...
SABCS 2025: Diagnostic breast MRI may be unnecessary for some patients with early-stage breast cancer
Study finds pre-surgical MRI does not improve five-year rates of local regional free survival over mammograms alone in patients with stage...
ASH 2025: New data highlights promise of pivekimab sunirine in two aggressive blood cancers
Two clinical studies demonstrate high response rates by patients with two hard-to-treat and aggressive blood cancers
Pivekimab...
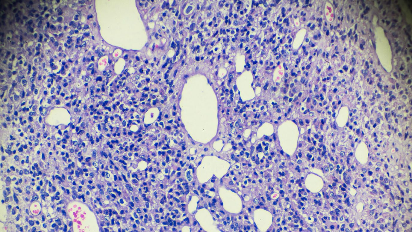
ASH 2025: Researchers identify CD40 as potential biomarker for a type of nodal T cell lymphoma
Researchers characterized the microenvironment of a nodal T cell lymphoma that is difficult to diagnose and treat
The study...
ASH 2025: Shorter azacitidine regimen safely improves outcomes in lower-risk MDS patients
Azacitidine is a type of targeted therapy known as a hypomethylating agent, commonly used in treating myelodysplastic syndromes (MDS)...
ASH 2025: Results show long-lasting benefits of CAR T cell therapy for hard-to-treat lymphoma
Lisocabtagene maraleucel (liso-cel), a CAR T cell therapy, achieved an overall response rate of 97% in the TRANSCEND FL study
Durable...
ASH 2025: New MD Anderson-developed antibody boosts immune response against blood cancers and solid cancers
New investigational therapy 77A is an antibody that converts a cancer survival protein (HSP70) into an immune system trigger
Targeting...
ASH 2025: CAR T cell therapy shows promising Phase II trial results in multiple myeloma
Anito-cel is an experimental CAR T cell therapy for relapsed/refractory multiple myeloma patients
In updated Phase II trial results...
Researchers identify target to overcome treatment resistance in preclinical models of KRAS-mutant cancers
Study provides comprehensive insights into DNA language models
Study identifies target for disease hyper progression after immunotherapy in kidney cancer
HER2-targeted therapy shows promising results in rare bile duct cancers
DNA shape and rigidity regulate key players of gene expression
Researchers identify rare mutation that predicts strong immunotherapy response in colorectal cancer
Study uncovers hidden class of BRCA1 mutations and a potential way to target them
Traces of bacteria inside brain tumors may affect tumor behavior
Researchers found bacterial genetic and cellular elements inside brain tumor cells that appear biologically active and may influence tumor...
MD Anderson experts spotlight key immunotherapy advances at 2025 SITC Annual Meeting
Inflammation may be responsible for driving earliest stages of lung cancer
Americans have widespread misbeliefs about the cancer risks of alcohol, study finds
More than half of American adults misunderstand or underestimate the link between alcohol consumption and cancer ...
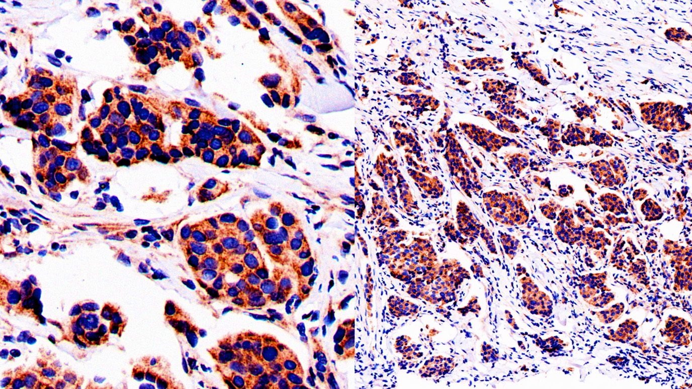
Comprehensive molecular profiling of renal medullary carcinoma identifies TROP2 as a promising therapeutic target
Researchers at The University of Texas MD Anderson Cancer Center, in collaboration with BostonGene, conducted the largest and most comprehensive...
New oral therapy shows early signs of safety and effectiveness in patients with advanced, treatment-resistant prostate cancer
Study shows protein relieves pain hypersensitivity in preclinical models
Spatial analysis finds immune-rich pockets in diffuse large B-cell lymphoma tumors with clear treatment potential
Study identified seven distinct and unique microenvironments within diffuse large B-cell lymphoma (DLBCL)
Immune-privileged DLBCLs...
ESMO 2025: VT3989 continues to show promising early results in patients with advanced mesothelioma
ESMO 2025: mRNA-based COVID vaccines generate improved responses to immunotherapy
ESMO 2025: Dual targeted therapy shows promise in previously treated advanced kidney cancer patients
ESMO 2025: Trial results show belzutifan shrinks rare neuroendocrine tumors and improves symptoms in patients
ESMO 2025: Oral drug demonstrates promising anti-tumor activity in patients with advanced lung cancer
Lung cancer is the leading cause of cancer-related death worldwide, with up to 4% of non-small cell lung cancer cases having a HER2 gene...
ESMO 2025: Targeted therapy plus radiation or surgery improves outcomes in patients with advanced lung cancer
Lung cancer is the leading cause of cancer-related death worldwide, with non-small cell lung cancer (NSCLC) the most common form
Study reveals how bacteria in tumors drive treatment resistance in cancer
Researchers uncovered a previously unknown way for microbes within tumors to contribute to treatment resistance in certain cancers...
Researchers find new biomarker for improved immunotherapy response in solid tumors
Researchers identify genetic markers that affect treatment outcomes in patients with large B-cell lymphoma
Multiple genetic markers play a key role in the treatment outcomes of patients with large B-cell lymphoma (LBCL) who received chimeric antigen...
Stem cell transplant achieves positive outcomes in second remission for adolescents and young adults with ALL
A new study from The University of Texas MD Anderson Cancer Center and Dana-Farber Cancer Institute, published in American Journal of Hematology...
New computational method improves ability to detect precancerous tissues
ASTRO 2025: At 10 years, SBRT comparable to surgery for early-stage lung cancer
Patients receiving anti-cancer treatment near end of life experience higher rates of hospitalization, ED and ICU use, and less utilization of hospice
Patients who receive systemic anti-cancer treatment near end of life are more likely to be hospitalized, go to the intensive care unit or...
Researchers identify enzyme involved in driving neuron differentiation
A new study from The University of Texas MD Anderson Cancer Center identified an important role for the KMT2D protein in controlling the development...
MD Anderson experts highlight top trends ahead of 2025 ASTRO meeting
Sugary drinks may increase risk of metastasis in advanced colorectal cancer
Digital twin model shows promise for predicting bone metastasis treatment response in prostate and renal cancers
A new study, published in Cancer Research, highlights the development of advanced digital twin models designed to more accurately reflect...
WCLC 2025: Combination therapy achieves durable response in advanced lung cancer patients
KRAS G12C mutations are among the most common drivers of non-small cell lung cancer (NSCLC), yet first-line targeted therapy options...
WCLC 2025: Bispecific antibody dose shows promising potential for extensive-stage SCLC
Pumitamig is a novel bispecific antibody targeting both the PD-L1 checkpoint and VEGF, a driver of angiogenesis, being studied in patients...
WCLC 2025: Brigatinib with local therapy can potentially improve outcomes for advanced NSCLC
Almost all patients with ALK-rearranged non-small cell lung cancer (NSCLC) end up with an incomplete response to targeted therapy with tyrosine...
WCLC 2025: Innovative ADC therapy shows promise in hard-to-treat small cell lung cancer
Small cell lung cancer (SCLC) remains one of the most aggressive and difficult-to-treat forms of lung cancer, with few effective therapies...
Novel sequencing technology links DNA and RNA to provide molecular insights into breast cancer progression
Breast cancer often starts in the epithelial cells lining the milk ducts and lobules, but there are many subtypes that make it challenging...
Targeted radiation helps patients with kidney cancer delay systemic therapy
Some patients with clear cell renal cell carcinoma (ccRCC) – the most common type of kidney cancer in adults – experience oligometastatic...
Researchers identify predictive biomarkers for oral cancer metastasis
Most oral cancers start in squamous cells lining the mouth and tongue, and frequently metastasize to the lymph nodes. To identify potential...
First-in-class pan-KRAS inhibitor shows strong antitumor activity in preclinical models
KRAS is the most commonly mutated gene in cancer, but targeting the mutant protein is notoriously difficult because current therapies work...
High-dose chemotherapy improves outcomes for multiply relapsed and refractory germ-cell tumors
Testicular cancer is the most common malignancy in young men ages 15 to 35. Most patients respond well to cisplatin-based chemotherapy, with...
Triple combination therapy shows promise for treatment-resistant microsatellite stable BRAF V600E-mutant metastatic colorectal cancer
The BRAF V600E gene mutation makes colorectal cancers (CRCs) more aggressive, leading to poorer survival rates. While some CRCs with high...
Fluorescent tracer helps identify precancerous lesions in pancreatic cancer models
During surgical treatment for pancreatic cancer, pre-malignant pancreatic lesions – which can develop into pancreatic cancer – often go unnoticed...
Large-scale CRISPR screening in stomach organoids reveals gene-drug interactions
Scientists often use organoids – laboratory-grown human cell culture systems that closely mimic body organs – to gain deeper...
Final trial data from ELI-002 cancer immunotherapy vaccine reinforce promising results
In initial results from the AMPLIFY-201 trial, co-led by Shubham Pant, M.D., an immunotherapy vaccine targeting the lymph nodes showed potential...
Targeting brain-liver pathway with electronic wearables could prevent cancer-associated weight and muscle loss
Many patients with cancer develop a serious and currently incurable condition called cachexia, which is characterized by rapid weight and...
Novel drug confirms NSD2 protein as therapeutic target in lung and pancreatic cancers
Studies have shown that the NSD2 protein fuels cancer growth, particularly in difficult-to-treat cancers with KRAS mutations, suggesting it...
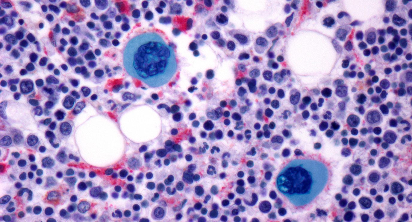
MDS subtype associated with poor outcomes after venetoclax-based therapy
Myelodysplastic syndromes (MDS) are a group of diseases in which the bone marrow does not produce enough healthy blood cells. The erythroid...
New biomarker and strategy identify and overcome resistance in HR+/HER2- breast cancer
CDK4/6 inhibitors are targeted therapies commonly used as first-line treatments for patients with hormone receptor-positive HER2-negative...
Study provides insights into advanced ovarian cancer tumors after treatment
Many patients with advanced ovarian cancer treated with frontline therapies still end up with clinically undetectable amounts of cancer cells...
Lorazepam significantly reduces agitation in patients with advanced cancer and delirium
Many patients with advanced cancer are significantly impacted by agitated delirium, but there are conflicting results on treating this condition...
Researchers identify new approach to overcome resistance to KRAS-targeted therapies
Many cancers with KRAS mutations, the most commonly mutated oncogene, develop rapid resistance to targeted therapy with KRAS inhibitors. A...
Machine learning model improves treatment selection in non-small cell lung cancer
A significant challenge in developing treatment plans for patients with metastatic non-small cell lung cancer (NSCLC) is deciding whether...
Combining immunotherapy with bacterial injection shows promise in treatment-refractory solid tumors
Solid tumors contain areas with low oxygen levels, known as hypoxic regions, that are associated with treatment resistance, aggressive growth...
Study uncovers target to overcome resistance in ARID1A-mutant cancers
Many ovarian clear cell carcinomas (OCCCs) have mutations that inactivate the ARID1A tumor suppressor and are associated with resistance to...
Novel agent restores p53 function in p53-mutated AML
Mutations of the TP53 gene are very common in leukemias and other cancers. They are predictors of poor response to therapies and are...
Specific co-mutations in KRAS-mutant NSCLC improve treatment response
Patients with KRAS-mutant non-small cell lung cancer (NSCLC) also often have co-mutations in KEAP1 and LKB1, which are associated with problems...
New-onset diabetes may serve as an early marker of pancreatic cancer
Pancreatic cancer screening is not recommended for the general population due to its low incidence, leading to later diagnoses after...
Study uncovers potential therapeutic targets for low platelet blood disorders
Thrombocytopenia is a blood disorder characterized by low levels of blood platelets. These tiny blood cells, which help with clotting, are...
Chemotherapy drives changes to the genome and clonal architecture of blood stem cells that may increase risk of secondary malignancies
Hematopoietic stem and progenitor cells (HSPCs) – a main source of blood cell production – can accumulate DNA mutations over time, which can...
Presurgical radiation therapy may offer alternative approach to treating brain metastases
Many patients with brain metastases receive stereotactic radiation therapy (SRT) – a targeted high dose of radiation – after surgery to remove...
Injectable immunotherapy yields high remission rates in patients with B-cell ALL
Some patients with relapsed or treatment-resistant B-cell acute lymphoblastic leukemia (B-ALL) are unable to receive chemotherapy and have...
Triplet combinations improve outcomes for elderly patients with IDH-mutant AML
New targeted therapies have improved treatment options for elderly patients with IDH-mutant acute myeloid leukemia (AML) who are not eligible...
Biomarker in pancreatic cysts could predict risk of cancer progression
Pancreatic cysts are fluid-filled growths that appear on or in the pancreas and have the potential to develop into pancreatic cancer...
Heated chemotherapy improves overall survival in some patients with colorectal cancer
Some patients with advanced colorectal cancer develop metastases in the lining of the abdominal cavity, known as peritoneal metastases...
Researchers identify driver of nervous system overactivity in hypertension
The hypothalamus is an area of the brain that controls the sympathetic nervous system – which regulates the fight or flight response – by...
Researchers identify novel target for high-risk multiple myeloma
High-risk multiple myeloma is an aggressive disease in which plasma cells grow uncontrollably. It is typically resistant to treatment...
Targeting cells that form blood vessels in glioblastoma could improve treatment
The formation of new, small blood vessels – known as microvascular proliferation (MVP) – is a hallmark of glioblastoma, the most common and...
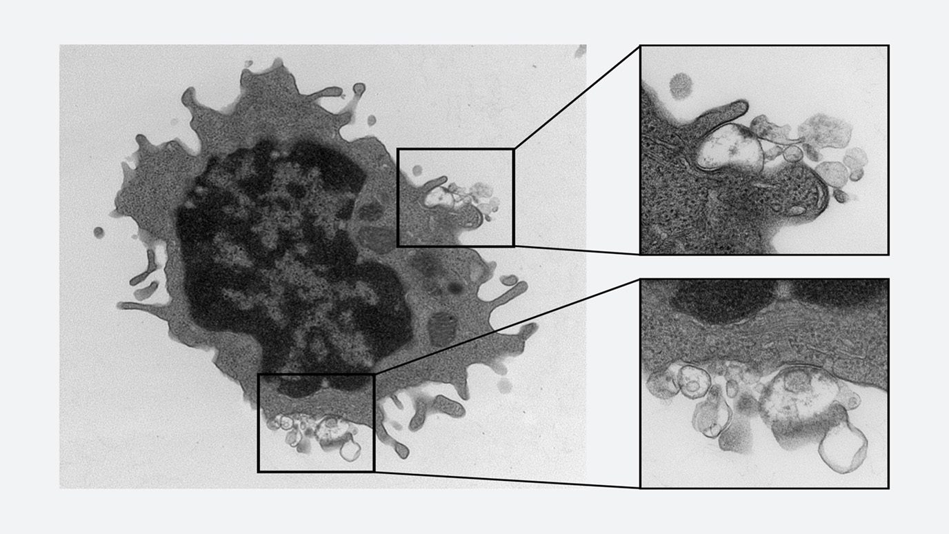
Researchers identify CREM as a critical regulator of CAR NK cell function
Chimeric antigen receptor (CAR) natural killer (NK) cells represent a promising experimental cell therapy, but the molecular mechanism regulating...
Study uncovers novel role for BRCA2, suggesting new therapeutic strategies
BRCA2, a key tumor suppressor that helps repair and protect DNA during replication, is often mutated in cancer cells. Normally, BRCA2 interacts...
Pre-surgical combination therapy shows promising results for NSCLC
Chemotherapy and immunotherapy combined with surgery is the standard treatment for patients with early-stage resectable non-small cell lung...
Study identifies a new driver and therapeutic vulnerability of bone metastasis
One of the most common sites for cancer to metastasize is the bone. Unfortunately, patients with bone metastases have a poor prognosis and...
Study uncovers epigenetic driver of bone metastasis in advanced prostate cancer
Nearly 80% of men with advanced prostate cancer develop bone metastases, leading to bone pain, fractures and a poor prognosis. Using laboratory...
Antibody treatment is safe for elderly patients with relapsed/refractory multiple myeloma
Treatment with teclistamab, a bispecific antibody, was recently approved for patients with relapsed/refractory multiple myeloma (RRMM) based...
Biomarker-guided combination therapy targets subtype of advanced prostate cancer
Castration-resistant prostate cancer (CRPC) remains one of the most lethal and treatment-resistant forms of prostate cancer, highlighting...
Sickle cell disease changes DNA structure of cells to suppress immunity
Sickle cell disease changes DNA structure of cells to suppress immunity
Patients with sickle cell disease, an inherited disorder that...
Mapping changes in lung precancer reveals TIM-3 as potential intervention target
Lung cancer is often diagnosed at late stages, making treatment challenging. To understand its early development, researchers led...
Self-advocacy may lead to less pain in older breast cancer survivors
Many older female breast cancer survivors experience persistent pain, but they are unsure how to gauge pain intensity and often have anxiety...
Novel combination provides more effective treatment option for mantle cell lymphoma
The latest treatment for mantle cell lymphoma (MCL) – an aggressive and incurable B-cell lymphoma – includes Bruton tyrosine kinase (BTK)...
Activating leukemia stem cells makes chemotherapy more effective in AML
Acute myeloid leukemia (AML) is a hard-to-treat cancer in which certain leukemia stem/progenitor cells (LSPCs) hide in the bone marrow...
Study identifies potential biomarker for treatment response in glioblastoma
Glioblastoma, the most common type of central nervous system tumor, is generally resistant to immune checkpoint blockade, highlighting a need...
Comprehensive spatial map provides insights into pancreatic cancer metastases
Pancreatic cancer is notoriously difficult to treat, resulting in a five-year survival rate of roughly 12%. Approximately half of patients...
Triplet regimen is well tolerated by patients with AML but does not improve survival outcomes
Patients with acute myeloid leukemia (AML) who have high-risk genetic changes and those with relapsed disease have poor outcomes with...
Gut microbiome impacts CAR T cell therapy responses, side effects in multiple myeloma
The gut microbiome has been linked to chimeric antigen receptor (CAR) T cell therapy response and related toxicities, but few researchers...
Pilot nursing study explores physical activity during and after hematopoietic stem cell transplantation
Hematopoietic stem cell transplantation (HSCT) is a vital treatment for blood cancers, but it is also an intense therapy with lengthy hospital...
CLL-derived exosomes alter body’s immune and hematopoietic systems in CLL patients
Immunosuppression, neutropenia and anemia can occur in patients with chronic lymphocytic leukemia (CLL) – a type of blood cancer that disrupts...
Agents that cause ‘copper overload’ can overcome radiotherapy resistance in preclinical models
Radiation therapy, or radiotherapy, can successfully treat multiple cancers, but some patients develop resistance to this treatment, known...
Novel blood-based biomarker identified in newly diagnosed acute myeloid leukemia
Inflammation in patients with acute myeloid leukemia (AML) can impact responses to certain treatments, underscoring a need for better methods...
Landmark study maps spatial organization of cancer-associated fibroblasts across cancers
Landmark study maps spatial organization of cancer-associated fibroblasts across cancers
Cancer-associated fibroblasts (CAFs) are essential...
Combination therapy shows no added survival benefit in patients with cervical cancer
Patients with intermediate-risk cervical cancer often receive chemotherapy with radiation therapy after surgery, but the added benefit of...
BCMA-directed CAR T cell therapy is safe in patients with relapsed or refractory multiple myeloma and CNS involvement
Due to the risk of associated neurotoxicities, some clinicians are hesitant to consider B-cell maturation antigen (BCMA)-directed chimeric...
Whole-slide imaging allows real-time remote diagnosis for breast cancer
Pathologists traditionally use light microscopy to evaluate stained frozen sections of lymph nodes obtained during surgery in patients...
Study provides genomic insights into treatment resistance in SMARCA4-mutant lung cancer
SMARCA4 – a gene that helps in chromatin remodeling – frequently is mutated in lung cancer, leading to immunotherapy resistance and a...
Phase II study identifies potential biomarkers in HPV-positive anal cancer
Cytotoxic chemotherapy is the standard of care for patients with unresectable and metastatic squamous cell carcinoma of the anal canal – a...
Bioinformatics chatbot can analyze large-scale cancer proteomics data
Comprehensive cancer omics initiatives like The Cancer Genome Atlas (TCGA) provide a wealth of DNA and RNA data, but little is known about...
Combination therapy yields strong long-term overall response rate in newly diagnosed acute myeloid leukemia patients
Intensive chemotherapy remains the standard treatment option for medically fit patients with newly diagnosed acute myeloid leukemia (AML)....
Study offers insights into evolutionary process driving pancreatic cancer aggressiveness
Pancreatic cancer is hard to treat because of its heterogeneity, a characteristic frequently sustained by the ability of cells to change states...
Researchers identify epigenetic biomarker for breast cancer metastatic relapse
Cancer cells that initiate metastasis at secondary sites often enter a dormant state, allowing them to evade treatment and later reawaken...
Surgery enhances immunotherapy in advanced kidney cancer
Patients with advanced solid tumors are usually ineligible for surgery. However, surgically removing the primary tumor in preclinical models...