Combination treatment benefits patients with advanced breast cancer that has spread to brain
Leptomeningeal metastasis occurs when cancer spreads to the thin layers of tissue and fluid that surround the brain and spinal cord
Treatment for leptomeningeal metastasis is limited, and the disease often has poor outcomes
Targeted therapy plus chemotherapy regime is found to be safe and effective in Phase II trial
HOUSTON...
Americans prefer to screen for cervical cancer in-clinic vs. at home
Immune-targeting vaccine shows promise intercepting cancer in patients with Lynch Syndrome
Higher bacteria levels inside tumors can promote immunotherapy resistance in head and neck cancer
Researchers found that the amount, and not the type, of bacteria inside tumors can predict response to treatment in lab models of head and neck cancer
Higher amounts of bacteria create an immunosuppressive tumor microenvironment
This understanding could identify patients more likely to benefit from immunotherapy and guide clinicians to ...
Immunotherapy before and after surgery improved outcomes in lung cancer patients with lymph node metastases
Perioperative nivolumab plus neoadjuvant chemotherapy improved outcomes for patients regardless of...
SABCS 2025: Diagnostic breast MRI may be unnecessary for some patients with early-stage breast cancer
Study finds pre-surgical MRI does not improve five-year rates of local regional free survival over mammograms alone in patients with stage...
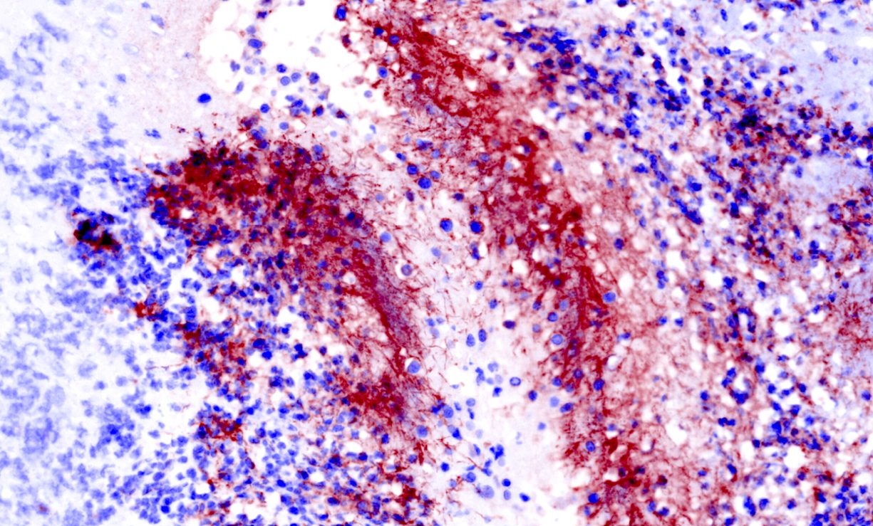
Traces of bacteria inside brain tumors may affect tumor behavior
Researchers found bacterial genetic and cellular elements inside brain tumor cells that appear biologically active and may influence tumor...
Americans have widespread misbeliefs about the cancer risks of alcohol, study finds
More than half of American adults misunderstand or underestimate the link between alcohol consumption and cancer ...
ESMO 2025: Oral drug demonstrates promising anti-tumor activity in patients with advanced lung cancer
Lung cancer is the leading cause of cancer-related death worldwide, with up to 4% of non-small cell lung cancer cases having a HER2 gene...
ESMO 2025: Targeted therapy plus radiation or surgery improves outcomes in patients with advanced lung cancer
Lung cancer is the leading cause of cancer-related death worldwide, with non-small cell lung cancer (NSCLC) the most common form
Study reveals how bacteria in tumors drive treatment resistance in cancer
Researchers uncovered a previously unknown way for microbes within tumors to contribute to treatment resistance in certain cancers...
WCLC 2025: Combination therapy achieves durable response in advanced lung cancer patients
KRAS G12C mutations are among the most common drivers of non-small cell lung cancer (NSCLC), yet first-line targeted therapy options...
WCLC 2025: Bispecific antibody dose shows promising potential for extensive-stage SCLC
Pumitamig is a novel bispecific antibody targeting both the PD-L1 checkpoint and VEGF, a driver of angiogenesis, being studied in patients...
WCLC 2025: Brigatinib with local therapy can potentially improve outcomes for advanced NSCLC
Almost all patients with ALK-rearranged non-small cell lung cancer (NSCLC) end up with an incomplete response to targeted therapy with tyrosine...
WCLC 2025: Innovative ADC therapy shows promise in hard-to-treat small cell lung cancer
Small cell lung cancer (SCLC) remains one of the most aggressive and difficult-to-treat forms of lung cancer, with few effective therapies...