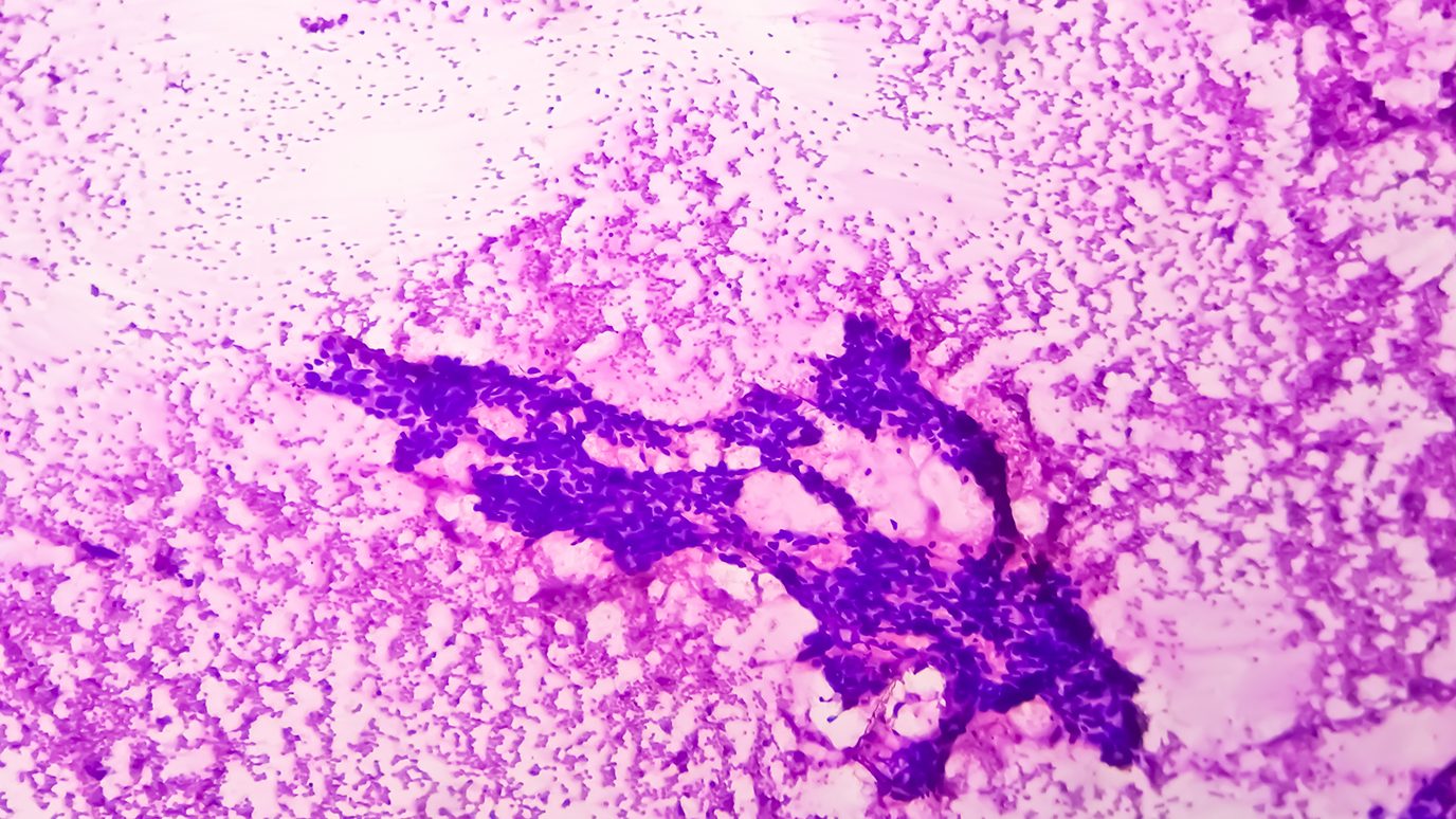
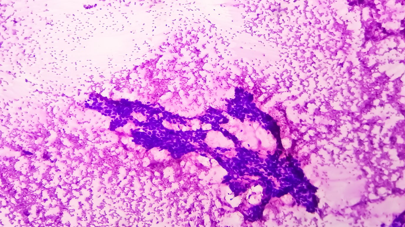
MD Anderson and Replay announce FDA clearance of IND application for first-in-class PRAME-targeted TCR NK cell therapy for hematological malignancies
The University of Texas MD Anderson Cancer Center and Replay today announced that the Food & Drug Administration (FDA) has issued a ‘safe to proceed’ for the Investigational New Drug (IND) application for PRAME TCR/IL-15 NK (SY-307), an engineered T cell receptor natural killer (TCR NK) cell therapy for relapsed/refractory myeloid malignancies. MD Anderson is the IND sponsor.
PRAME TCR/IL-15 NK (SY-307) is being developed...
Cancer screening rates are significantly lower in U.S. Federally Qualified Health Centers
A national study led by researchers at The University of Texas MD Anderson Cancer Center and The University of New Mexico (UNM) Comprehensive...
MD Anderson and RUSH Unveil RUSH MD Anderson Cancer Center
The University of Texas MD Anderson Cancer Center and RUSH University System for Health today announced a partnership to create RUSH MD Anderson...
MD Anderson Research Highlights for April 24, 2024
The University of Texas MD Anderson Cancer Center’s Research Highlights showcases the latest breakthroughs in cancer care, research and prevention. These advances are made possible through seamless collaboration between MD Anderson’s world-leading clinicians and scientists, bringing discoveries from the lab to the clinic and back.
Recent developments at MD Anderson offer insights into a novel targeted therapy for rare cancers,...
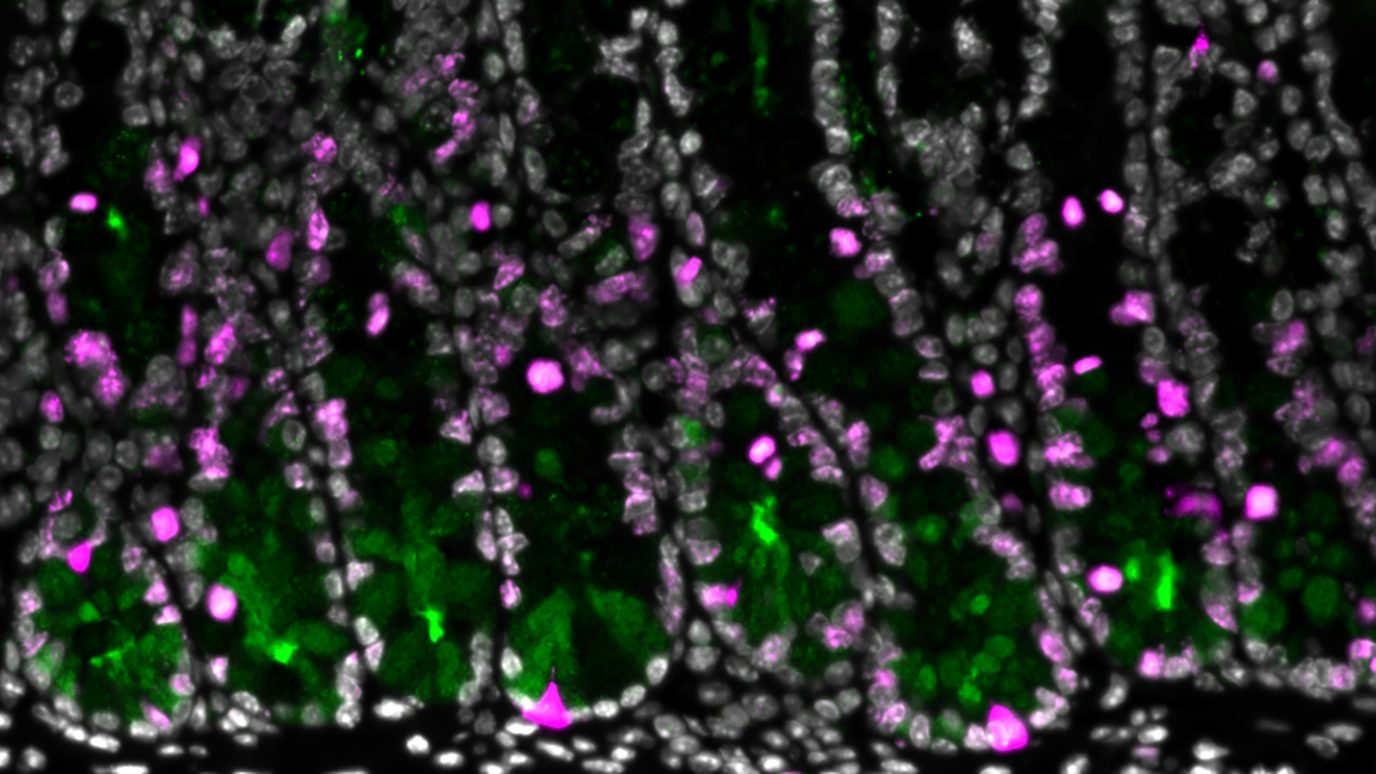
Study opens new avenue for immunotherapy drug development
In a new study published today in Nature Biomedical Engineering, researchers at The University of Texas MD Anderson Cancer Center have designed...
Four MD Anderson researchers elected AAAS Fellows
HOUSTON ― In recognition of their significant achievements in the realm of cancer care and research, four researchers at The University of...
MD Anderson and CureVac enter strategic collaboration to develop novel cancer vaccines
The University of Texas MD Anderson Cancer Center and CureVac N.V. today announced a co-development and licensing agreement to develop novel...
MD Anderson Research Highlights for April 12, 2024
The University of Texas MD Anderson Cancer Center’s Research Highlights showcases the latest breakthroughs in cancer care, research and prevention...
AACR: Trio of studies highlights promising early results with new cancer therapies and targets
ABSTRACTS CT037, CT038, CT042
Three early-phase clinical studies presented by researchers from The University of Texas MD Anderson...
AACR: PARP1-selective inhibitor demonstrates early efficacy in breast cancers with DNA repair defects
The first-in-class PARP1-selective inhibitor saruparib demonstrated encouraging early efficacy and a favorable safety profile in patients...
AACR: Combination treatment is well-tolerated, shows antitumor effects in KRAS G12C-mutated metastatic colorectal cancer
Combining the KRAS G12C inhibitor adagrasib with the anti-EGFR antibody cetuximab demonstrated promising anti-tumor effects in patients with...
AACR: Novel immunotherapies show promise for patients with kidney cancer and for solid organ transplant recipients with skin cancer
Researchers from The University of Texas MD Anderson Cancer Center presented encouraging findings today from two clinical trials in a plenary...
MD Anderson Research Highlights AACR 2024 Special Edition
ABSTRACTS: 1212, 1227, 1244, 1283, CT030, 3893, 3922, 3930, 3942, 6620
The University of Texas MD Anderson Cancer Center’s Research...
Radiation before mastectomy cuts time delays for reconstructive surgery in breast cancer patients
Researchers at The University of Texas MD Anderson Cancer Center showed that altering the sequence of breast cancer treatment to administer...
AACR: MD Anderson’s Scott Kopetz and Elizabeth Travis honored with 2024 Scientific Achievement Awards
Two researchers from The University of Texas MD Anderson Cancer Center will be honored with Scientific Achievement Awards at the American...
AACR: MD Anderson's Padmanee Sharma elected Fellow of the AACR Academy
Padmanee Sharma, M.D., Ph.D., associate vice president of Immunobiology, professor of Genitourinary Medical Oncology and Immunology, and director...