Can dark-skinned people get a sunburn?
You might think you don’t need sunscreen if you have Black or brown skin. After all, the extra melanin that creates darker skin tones does provide some extra protection. But it’s still important to protect your skin from the sun’s UV rays.
“If you have dark skin, you’ve been gifted some natural protection, but that has limits,” says Saira George, M.D., a dermatologist at MD Anderson in Sugar Land.
Here are her skin safety...
Mammogram vs. breast ultrasound: What’s the difference?
Regular breast cancer screenings can detect breast cancer early when it’s easier to treat. While mammograms are considered the gold standard...
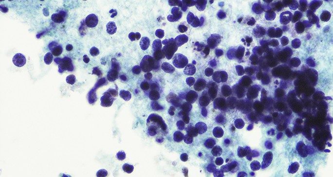
Advances in small cell lung cancer classification
Most patients with lung cancer have non-small cell lung cancer. However, around 15% of patients have a less-common type called small cell...
Easy ways to add more fiber this holiday season
It’s officially the holiday season! That means it’s time to catch up with loved ones, break out the matching pajamas and ugly sweaters, and fill your plate with fiber!
OK, maybe the last one hasn’t caught on as a holiday tradition quite yet, but that doesn’t mean it isn’t a good way to celebrate the season.
Dietary fiber is a carbohydrate found in food groups including vegetables, fruits, nuts, seeds, legumes and whole...
Exploring pancreatic cancer vaccines: What’s next?
When most people think of a vaccine, they think of the prevention of a disease. For pancreatic cancer vaccines, though, it’s a little bit...
MD Anderson helps survivor through three cancer diagnoses
Diane White had bronchitis off and on for most of her adult life. But one case in late 2019 was hard to shake.
So, she saw her family...
Need a stem cell transplant? 4 tips to make your life easier
Cancer patients usually have to make some lifestyle adjustments to accommodate their treatment. That could mean anything from taking time...
6 pap smear questions, answered
It's a procedure that goes by many names: Pap smear, Papanicolaou test, Pap test, cytology or simply a ‘Pap.’
At MD Anderson, we refer...
Craniotomy vs. craniectomy: What’s the difference?
A craniotomy and a craniectomy are surgical procedures used to treat conditions in the brain. They are both performed by neurosurgeons.
Proton therapy saved my ability to taste during treatment for tongue cancer
For Carlos Morera, the only symptom of oral cancer was a small lump beneath his jaw when shaving.
With a history of cancer, he knew...
4 things to know about kidney biopsies
At MD Anderson, our dedicated interventional radiologists perform around 500 kidney biopsies a year. Nearly all of them are guided by advanced...
Mastectomy recovery: What to expect after breast removal surgery
Mastectomy is the scientific term for the surgical removal of the breast. It is frequently used to treat and prevent breast cancer. It can...
Weight loss injections and cancer: 6 questions, answered
Most people know that losing weight has numerous benefits, but making major lifestyle changes can be extremely difficult. For example, obese...
What is the future of cell therapy in cancer treatment?
Cell therapies, often described as ‘living therapies,’ are a form of immunotherapy created using immune cells from a patient or healthy donor...
How beautiful images can advance immunotherapy
They say a picture is worth 1,000 words.
In the case of MD Anderson’s immunotherapy platform, part of the James P. Allison Institute...
Domestic violence and cancer treatment: 5 things to know
Domestic violence can happen to anyone. It affects all races, ages, educational levels, socioeconomic classes, genders and sexual orientations...
Bugs as drugs: What is microbial cell therapy?
When it comes to cancer therapies, the use of bacteria may sound unusual, but it’s a rapidly developing field with exciting potential....
6 things to know about scar massage
Scar massage is used to improve the appearance and/or long-term healing prospects of scar tissue after cancer treatment.
This...
What is chemoradiation?
Chemoradiation describes the process of using chemotherapy in tandem with radiation therapy to treat cancer.
But how does chemoradiation...
6 myths about tanning safety
There can be a lot of misunderstandings about how safe it is to get a tan.
As a dermatologist, I love to debunk tanning myths....