Blood biomarker points to increased risk of brain metastasis in patients with inflammatory breast cancer
Researchers at The University of Texas MD Anderson Cancer Center have identified a targetable...
Study reveals synergistic effect of CDK2 and CDK4/6 combination therapy
Engineered nanobodies improved respiratory defenses in preclinical study
Immune-targeting vaccine shows promise intercepting cancer in patients with Lynch Syndrome
HOUSTON, JANUARY 16th, 2026...
New treatment combination offers excellent results for early-stage Hodgkin lymphoma with less chemotherapy
More than 90% of patients had a complete response to novel treatment combination
After two years, 97% of patients remained...
Novel immunotherapy demonstrates early potential to overcome resistance to immune checkpoint therapy
Mutation predicts chemotherapy resistance and better responses to immunotherapy in advanced bladder cancer
Higher bacteria levels inside tumors can promote immunotherapy resistance in head and neck cancer
Researchers found that the amount, and not the type, of bacteria inside tumors can predict response to treatment in lab...
Dual-antigen targeting of large B-cell lymphoma shows promise in reducing relapse
Large B-cell lymphoma (LBCL) is an aggressive blood cancer with few treatment options
CAR T cell therapy targeting...
Immunotherapy before and after surgery improved outcomes in lung cancer patients with lymph node metastases
Perioperative nivolumab plus neoadjuvant chemotherapy improved outcomes for patients regardless of...
Immunotherapy combination does not improve outcomes for patients with advanced anal cancer
Researchers identify novel therapeutic target to improve recovery after nerve injury
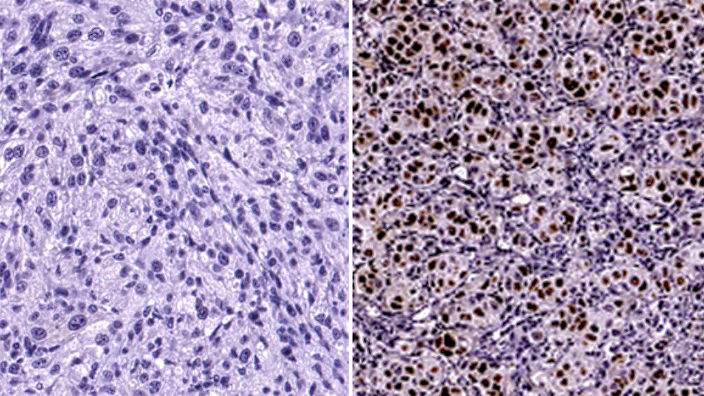
High levels of protein drive tumor immune suppression in head and neck cancer
Targeted therapy plus immunotherapy improved outcomes in advanced metastatic colorectal cancer