MD Anderson Research Highlights for January 12, 2022

Featuring discoveries in cell therapy, targeted therapy, the tumor immune microenvironment, androgen deprivation and depression, and novel therapeutic targets for cancer and Alzheimer’s disease

The University of Texas MD Anderson Cancer Center’s Research Highlights provides a glimpse into recently published studies in basic, translational and clinical cancer research from MD Anderson experts. Current advances include an anti-CD19 chimeric antigen receptor (CAR) T cell therapy to treat follicular lymphoma, targeted therapies for urothelial cancers and advanced breast cancers, understanding the tumor microenvironment and immune landscape in pancreatic cancer, a link between depression risk and androgen deprivation for prostate cancer, and the discovery of new therapeutic targets for Alzheimer’s disease, liver cancer and aggressive breast cancer.

Tisagenlecleucel safe and effective against relapsed and refractory follicular lymphoma

While follicular lymphoma (FL), a type of non-Hodgkin lymphoma, is usually slow-growing, most patients relapse, and it is rarely curable. A research team led by Nathan Fowler, M.D., examined the use of tisagenlecleucel — an autologous anti-CD19 chimeric antigen receptor (CAR) T cell therapy — to treat patients with relapsed or refractory FL who had already undergone two or more treatment lines or had an autologous stem cell transplant. In an interim analysis of 94 patients treated on the Phase II international ELARA trial, the complete response rate was 69% and the overall response rate was 86%. The therapy was well tolerated by the majority of patients, with mild to moderate cytokine release syndrome, immune effector cell-associated neurotoxicity syndrome (ICANS) and neurological events, and no treatment-related deaths . These results suggest that tisagenlecleucel is a safe and effective option for treating patients with relapsed or refractory FL, including patients who have high-risk or advanced disease characteristics. Learn more in Nature Medicine.

Erdafitinib shows consistent results in follow-up of patients with urothelial cancer and FGFR mutations

Mutations in fibroblast growth factor receptor (FGFR) are present in approximately 15 to 20% of patients with metastatic bladder cancer and up to 35% of patients with other urothelial cancers of the renal pelvis or ureter. In the primary analysis, published in 2019, research led by Arlene Siefker-Radtke, M.D., showed that the FGFR inhibitor erdafitinib was effective after median 11 months follow-up. Those results led to approval of erdafitinib by the Food and Drug Administration, making it the first oral targeted therapy approved for advanced bladder cancer. In this final analysis, with a median follow-up of 24 months, the objective response rate was 40%. Responses lasted for a median of six months, while 31% of responses lasted for at least one year. Treatment benefit with erdafitinib was observed in patients regardless of previous chemotherapy or immunotherapy, and there were no new safety signals. Erdafitinib is currently being studied in other treatment settings. Learn more in Lancet Oncology.

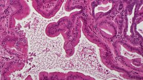
RNF43 mutations accelerate KRAS-driven pancreatic cancer, stimulate immune microenvironment remodeling

Roughly 5-10% of all pancreatic cancers have loss-of-function mutations in the ring finger protein 43 (RNF43) gene, and this is one of the most commonly mutated genes in pancreatic pre-cancerous cysts. Unfortunately, no effective targeted therapies are available to treat patients with RNF43 mutations. Using a genetically engineered mouse model, researchers led by Abdel Nasser Hosein, M.D., Sonja Woermann, M.D., and Anirban Maitra, M.B.B.S., studied RNF43 in the context of mutant KRAS. They discovered that RNF43 acts as a tumor suppressor and its deletion cooperates with mutant KRAS to accelerate the development pre-cancerous lesions and pancreatic cancers. Additionally, RNF43 loss resulted in a distinct tumor immune microenvironment marked by increased numbers of anti-tumor lymphocytes and fewer suppressive myeloid cells, suggesting these tumors may be susceptible to immune checkpoint inhibitors. The immune signaling protein CXCL5 was decreased in RNF43-deficient tumors, pointing to a possible target to mediate the unique immune landscape in these cancers. Learn more in Gastroenterology

Telomerase gene TERT identified as a novel therapeutic target for Alzheimer’s disease

Dysfunction in telomeres — the protective caps at the ends of chromosomes — can cause premature aging and neurodegeneration. The telomerase reverse transcriptase (TERT) gene is critical for maintaining telomeres. In a new study, researchers led by Hong Seok Shim, Ph.D., Y. Alan Wang, Ph.D., and Ronald A. DePinho, M.D., demonstrated that, independent of its role in telomere synthesis, TERT plays a key role in regulating gene networks central to the development of Alzheimer’s disease (AD). They discovered that epigenetic TERT repression is an early molecular event occurring before the development of AD. Experimental maintenance of physiological levels of TERT in mouse models and in neurons from AD patients alleviated toxic amyloid-β accumulation and blocked cognitive decline. Mechanistically, the researchers showed TERT interacts with β-catenin transcription complex to regulate genes governing neuron survival, amyloid clearance, learning and memory. The findings suggest that activating TERT therapeutically could be a novel strategy to slow or prevent AD progression. Learn more in Nature Aging.

Study identifies new therapeutic target to stimulate ferroptosis in liver cancer

Available systemic therapies for advanced hepatocellular carcinoma (HCC) provide only limited benefit, but evidence suggests that targeting ferroptosis — an iron-dependent form of controlled cell death — may have therapeutic potential. The liver cancer treatment sorafenib can stimulate ferroptosis, but many cancer cells are resistant. In a new study, researchers led by Fan Yao, Ph.D., Yalan Deng, Ph.D., and Li Ma, Ph.D., identified leukemia inhibitory factor receptor (LIFR) as a novel tumor suppressor and regulator of ferroptosis in HCC. Using genetically engineered mouse models and HCC patient-derived xenografts (PDXs), the researchers demonstrated that loss of LIFR activates the NF-kB signaling pathway to elevate levels of the iron-sequestering cytokine LCN2, leading to iron depletion and resistance to sorafenib-induced ferroptosis. In preclinical studies, an LCN2-neutralizing antibody enhanced sorafenib’s ability to induce ferroptosis and eliminate cancer cells in PDX tumors with low LIFR and high LCN2 levels. The findings suggest that anti-LCN2 therapy should be further explored to target ferroptosis and improve liver cancer treatment. Learn more in Nature Communications.

NDRG1 promotes brain metastasis in aggressive breast cancers

Up to 30% of patients with advanced breast cancer may develop brain metastases, which have limited treatment options and are associated with poorer outcomes. The stress response protein N-myc downstream regulated gene 1 (NDRG1) has a controversial role in metastasis, as it appears to block metastasis in certain cancer types while promoting it in others. Researchers led by Emilly Villodre, Ph.D., and Bisrat Debeb, D.V.M., Ph.D., discovered that NDRG1 drives tumor progression and brain metastasis in aggressive breast cancers. In laboratory models, cancer cells with high levels of NDRG1 were associated with a higher prevalence of brain metastases, greater tumor burden and reduced survival. In patient samples, high NDRG1 was associated with aggressiveness and served as an independent predictor of poor survival outcome. Blocking NDRG1 in preclinical studies slowed tumor growth and inhibited brain metastasis, suggesting this may be a novel therapeutic target for aggressive breast cancers. Learn more in the Journal of the National Cancer Institute.

Ribociclib and hormone therapy continue to demonstrate survival advantage in premenopausal advanced breast cancer patients 

Breast cancers in younger women are known to be more aggressive and typically have a poorer prognosis. In the only trial of its kind dedicated to premenopausal women, the Phase III MONALEESA-7 trial led by Debu Tripathy, M.D., evaluated the CDK4/6 inhibitor, ribociclib, plus hormone therapy versus placebo plus hormone therapy for advanced hormone receptor-positive (HR+) breast cancer. Initial results published in 2019 were the first to show an overall survival benefit with a CDK inhibitor, which was reported at 42 months of follow-up. This analysis at a median follow-up of 53.5 months revealed a median overall survival of 58.7 months for patients receiving ribociclib compared to 48 months in patients receiving hormone therapy plus placebo. These results confirm the benefit of ribociclib and hormone therapy in the first-line setting and were consistent across multiple subsets in premenopausal HR+/human epithelial growth factor 2 negative (HER2-) advanced breast cancer. Learn more in Clinical Cancer Research.

Second-generation antiandrogens associated with depression risk in men with prostate cancer

Hormone therapy, including androgen deprivation therapy, is an established prostate cancer treatment. Most men advance to castration-resistant disease and are treated with second-generation anti-androgens, which work by blocking androgen production or the androgen receptor. Although prior studies showed an association between androgen deprivation therapy and depression, it is unknown if the increased potency of second-generation therapies would also increase the risk of depression. Kevin Nead, M.D., led a retrospective cohort study of 30,069 men and found a statistically significant twofold increase in depression among patients treated with second-generation antiandrogens compared with traditional forms of hormone therapy and no hormone therapy. These results suggest that additional research is needed to better understand the relationship between newer antiandrogens and the increased risk of depression. Learn more in JAMA Network Open.

In case you missed it

Read below to catch up on recent MD Anderson press releases across the spectrum of cancer research.

Intraductal papillary mucinous neoplasms develop in a laboratory model with mutant KRAS and loss of Rnf43 function. These pancreatic cystic lesions are bona fide precursors to pancreatic cancer, and the model offers new opportunities for treatment and interception. Image courtesy of the Anirban Maitra laboratory.