Zheng Laboratory
Ye Zheng, Ph.D.
Principal Investigator
- Departments, Labs and Institutes
- Labs
- Zheng Laboratory
Areas of Research
- Bioinformatics
- Cancer Biology
- Chromatin
- Computational Biology
- Epigenetics
- Proteomics
- Single-Cell Genomics
- Transcriptional Regulation
The Zheng Laboratory is a dynamic hybrid research team combining computational and experimental approaches. Our computational dry lab specializes in addressing biologically and clinically significant challenges through innovative statistical models, traditional and modern computational methods and integrative multiomics data analysis. Our research spans diverse topics leveraging rich multimodal data, including epigenomics, 3D genomics, proteomics and their applications in cancer studies and other disease systems. The wet lab focuses on epigenomic profiling of formalin-fixed, paraffin-embedded (FFPE) samples, unraveling gene regulation mechanisms across human cancers.
Our Research in the News
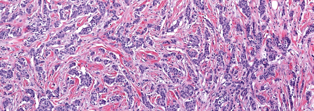
Scientists find new biomarker that predicts cancer aggressiveness
Using a new technology and computational method, researchers from Fred Hutch Cancer Center and The University of Texas MD Anderson Cancer Center have uncovered a biomarker capable of accurately predicting outcomes in meningioma brain tumors and breast cancers.
In the study, published today in Science, the researchers discovered that the amount of a specific enzyme, RNA Polymerase II (RNAPII), found on histone genes was associated with tumor aggressiveness and recurrence. The hyper-elevated levels of RNAPII on these histone genes indicate cancer over-proliferation and potentially contribute to chromosomal changes. These findings point to the use of a new genomic technology as a potential cancer diagnostic and prognostic tool, which could improve precision oncology approaches.
“It has been overlooked that histone genes could be a rate-limiting factor in cell replication and, hence, as a strong indicator of tumor cell over-proliferation,” said Ye Zheng, Ph.D., co-first author and assistant professor of Bioinformatics and Computational Biology at MD Anderson. “This is because current RNA sequencing methods are unable to detect histone RNAs due to their unique structure, meaning these libraries have vastly underestimated their presence. Our novel approach, combining a new experimental technology and computational pipeline establishes a comprehensive ecosystem that can leverage biopsy samples from multiple cancer types to enhance tumor diagnosis and prognosis.”
New technology produces better quality data from samples stored over decades
The results of the study were made possible by a new profiling technology developed in the lab of Steven Henikoff, Ph.D., co-first author and professor in the Basic Sciences Division at Fred Hutch, which enables researchers to better study gene expression using formalin-fixed, paraffin-embedded (FFPE) samples.
Tissue biopsies are commonly stored for long-term use as FFPE samples, but the sample RNA becomes increasingly unstable over time due to degradation, leading to potentially lower quality gene expression data.
The new technology – Cleavage Under Targeted Accessible Chromatin (CUTAC) – focuses on small, fragmented DNA non-coding sequences where RNAPII bind located on the same chromosome as the gene they regulate, allowing scientists to directly measure gene transcription activity from the DNA.
When examining clinical samples using CUTAC technology across various cancer types, the researchers found that the expression of histone genes was consistently significantly higher in tumor samples compared to normal tissue samples.
Histone proteins provide essential structural support for DNA in chromosomes, acting as spools around which DNA strands wrap. These proteins have been well studied, but most current tools to study gene expression rely on RNA sequencing. Histone RNA is unique in that its structure prevents them from being detected by current methods.
Thus, the expression of histone genes may be significantly underestimated in tumor samples. The researchers hypothesized that the increased proliferation of cancer cells leads to hypertranscription, or very elevated expression, of histones to meet the added demands of cell replication and division.
RNAPII expression correlates with and predicts cancer aggressiveness
To test their hypothesis, the researchers used CUTAC profiling to examine and map RNAPII, which transcribes DNA into precursors of messenger RNA. They studied 36 FFPE samples from patients with meningioma - a common and benign brain tumor - and used a novel computational approach to integrate this data with nearly 1,300 publicly available clinical data samples and corresponding clinical outcomes.
In tumor samples, the RNAPII enzyme signals found on histone genes was reliably able to distinguish between cancer and normal samples.
RNAPII signals on histone genes also correlated with clinical grades in meningiomas, accurately predicting rapid recurrence as well as the tendency of whole-arm chromosome losses. Using this technology on breast tumor FFPE samples from 13 patients with invasive breast cancer also predicted cancer aggressiveness.
“The technique we developed to examine preserved tumor samples now reveals a previously overlooked mechanism of cancer aggressiveness,” said Henikoff, who is also a Howard Hughes Medical Institute investigator. “Identifying this mechanism suggests it could be a new test to diagnose cancers and possibly treat them.”
Zheng and colleagues plan to use this technology on FFPE samples from multiple cancer types for further validation.
This research was supported by the Howard Hughes Medical Institute, the National Institutes of Health (HG012797), and the National Cancer Institute (T32CA009515). A full list of collaborating authors and their disclosures can be found here.
Funding
Our research is supported by:
Pathway to Independence Award (K99/R00)
August 2023–August 2024, $237,438 (K99 Phase)
September 2024–August 2027, $747,000 (R00 Phase)
PI: Ye Zheng, Ph.D.
Title: Bridging the gap: joint modeling of single-cell 1D and 3D genomics
Sponsoring agency: NIH/NHGRI
New Faculty Award (P01)
January 2026–June 2026, $50,000
PI: Ye Zheng, Ph.D.
Sponsoring agency: NCI
UT System Rising STARs Award
September 2024–December 2025, $125,000
PI: Ye Zheng, Ph.D.
Sponsoring agency: The University of Texas
Recent Publications
Henikoff S*, Zheng Y*, Paranal R, Xu Y, Greene J, Henikoff J, Russell Z, Szulzewsky F, Thirimanne H, Kugel S, Holland E, Ahmad K. RNA polymerase II at histone genes predicts outcome in human cancer. Science. 2025 Jan 2;387(6735):737-743. doi: 10.1126/science.ads2169. Epub 2025 Feb 13. PMID: 39946483; PMCID: PMC12184985.
Zheng Y*, Caron D*, Kim J, Jun S, Tian Y, Florian M, Stuart K, Sims P, Gottardo R. ADTnorm: robust integration of single-cell protein measurement across CITE-seq datasets. Nat Commun. 2025 Jul 1;16(1):5852. doi: 10.1038/s41467-025-61023-6. PMID: 40595741; PMCID: PMC12218154.
Fiorenza S*, Zheng Y*, Purushe J, Bock T, Sarthy J, Janssens D, Sheih A, Kimble E, Kirchmeier D, Phi T, Gauthier J, Hirayama A, Riddell S, Wu Q, Gottardo R, Maloney D, Yang J, Henikoff S, Turtle C. Histone marks identify novel transcription factors that parse CAR-T subset-of-origin, clinical potential and expansion. Nat Commun. 2024 Sep 27;15(1):8309. doi: 10.1038/s41467-024-52503-2. PMID: 39333103; PMCID: PMC11436946.
Zheng Y*, Shen S*, Keleş S. Normalization and de-noising of single-cell Hi-C data with BandNorm and scVI-3D. Genome Biol. 2022 Oct 17;23(1):222. doi: 10.1186/s13059-022-02774-z. PMID: 36253828; PMCID: PMC9575231.
Zheng Y, Keleş S. FreeHi-C simulates high-fidelity Hi-C data for benchmarking and data augmentation. Nat Methods. 2020 Jan;17(1):37-40. doi: 10.1038/s41592-019-0624-3. Epub 2019 Nov 11. PMID: 31712779; PMCID: PMC8136837.
Zheng Lab Publications
Give Now
Research Areas
Find out about the four types of research taking place at UT MD Anderson.