LAG-3 inhibitors: A new type of immunotherapy
Immunotherapy harnesses the natural power of the immune system and enhances its response to cancer. Immune checkpoint inhibitors are the most commonly used type of immunotherapy. There are several types, and they all work by interfering with mechanisms on a cancer cell or on a type of immune cell called T cells.
Recently, a new type of immune checkpoint inhibitor called a LAG-3 inhibitor was approved by the Food and Drug Administration...
Pancreatic cancer treatment at MD Anderson gave me hope
I have always enjoyed an active lifestyle, playing pickleball and taking long walks with my husband, Bill. But in April 2019, I started experiencing...
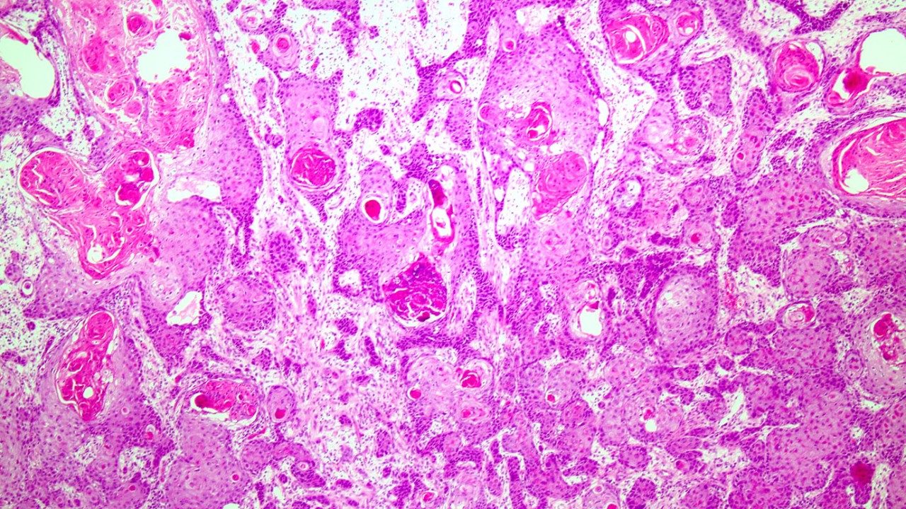
Squamous cell carcinomas: 8 things to know about the ‘cancer of the surfaces’
Much like adenocarcinomas, squamous cell carcinomas can develop in many locations, including the skin, lungs and cervix.
Unlike...
Caring for a parent with cancer? Follow this advice
Taking care of a loved one with cancer can be hard, no matter your relationship. For adult children of cancer patients, the changing role from child to caregiver can bring a unique set of challenges.
A cancer diagnosis may be the first time your parent needs so much help from you. This shift in roles can take some getting used to. “Remember your parent is still an individual,” says Vinh Nguyen, M.D.
He shares four...
How to weather the tripledemic: When COVID-19, flu and RSV collide
You might know that flu season got off to an earlier start than usual this year or that the respiratory syncytial virus (RSV) is making a...
Pediatric leukemia caregivers: Why we’re grateful for MD Anderson
When Arav Patil was diagnosed with acute myeloid leukemia (AML) in the spring of 2019, his parents, Komal and Rahul, were dumbfounded....
Finding care and compassion at MD Anderson through multiple cancer diagnoses
I always thought my husband would be the last one to receive a cancer diagnosis.
Bill had always been very athletic and proactive...
Need an omentectomy? Here’s what to expect
If you need an omentectomy as a part of your cancer treatment, you probably have a lot of questions.
To learn more about who needs...
7 unexpected benefits to having an ostomy
The first few years after my stage II colorectal cancer diagnosis were pretty rough. I was in and out of the hospital with infections...
Cervical cancer symptoms: What to look for and when to see a doctor
Like many women diagnosed with cervical cancer, Linda Ryan didn’t initially have any symptoms. So, she didn’t know she had the disease until...
RET inhibitors: A treatment for any RET-altered cancer
Cancer research is advancing rapidly, and patients are benefitting from new therapies faster than ever. One example is a type of targeted...
7 questions about chemo ports, answered
Throughout cancer treatment, patients may go through many blood draws, infusions and injections. All these needle sticks can be uncomfortable...
‘My first symptoms of ovarian cancer’: Signs to look for and when to see a doctor
Bloating, diarrhea and abdominal pain are three of the most common symptoms of ovarian cancer. They’re also some of the easiest to overlook...
6 things we’ve learned about CAR T cell therapy
Since MD Anderson’s first CAR T cell therapy clinical trial launched in 2015, we’ve cared for hundreds of patients undergoing CAR T cell therapy...