Tissue Biospecimen and Pathology Resource (TBPR)
Scott D. Jewell, Ph.D.
Director
Elena Bogatenkova, M.D.
Director, Institutional Tissue Bank
Gabriela Raso, M.D.
Director, Research Histology Core Laboratory
- Research Resources
- Core Facilities and Services
- Tissue Biospecimen and Pathology Resource
Overview
The Tissue Biospecimen and Pathology Resource (TBPR) includes the Institutional Tissue Bank (ITB) and the Research Histology Core Laboratory (RHCL).
The ITB at UT MD Anderson is a College of American Pathologists (CAP)-accredited and Clinical Laboratory Improvement Amendments (CLIA)-certified research biospecimen repository, developed for the purpose of collection, processing, storage and distribution of patient tissue samples, fluids, and related clinical data across UT MD Anderson to research investigators and beyond on behalf of the institutional protocols.
The RHCL was created to support basic and clinical research, allowing researchers to utilize their grant funds on their projects and thus eliminate the expense of hiring technical personnel or purchasing costly instruments. The RHCL provides histological and molecular expertise, technical support and consultation to research investigators, which in turn produces positive outcomes for their research protocols.
Go to the About page to learn more.
Getting Started
Institutional Tissue Bank:
- Step 1: Register by submitting a request for registration form. If you need a copy of this form, please email us.
- Step 2: Set up initial consultation by email or telephone from 7 a.m. to 7 p.m. Monday through Friday.
- Step 3: ITB accepts services requests via UT MD Anderson Biospecimen Information Management System (BIMS)
For more instructions on how to request samples and use BIMS, see the Resources page.
Research Histology Core Laboratory:
All users can request RHCL services through iLab (Sign in or register).
Internal first-time users will need the following information:
- Principal Investigator's Name
- Valid Chartfield String (notify your financial manager for access)
External first-time users will need the following information:
- Principal Investigator's Name
- Billing Contact and information
- Contact the lab for a quote
Impact
The focus of Institutional Tissue Bank is to provide efficient and cost-effective biospecimen services to investigators and help their teams save time and funds that then can be applied to further aspects of their projects.
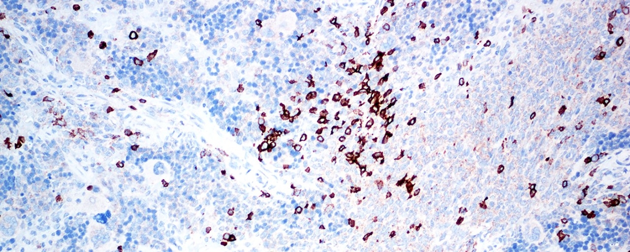
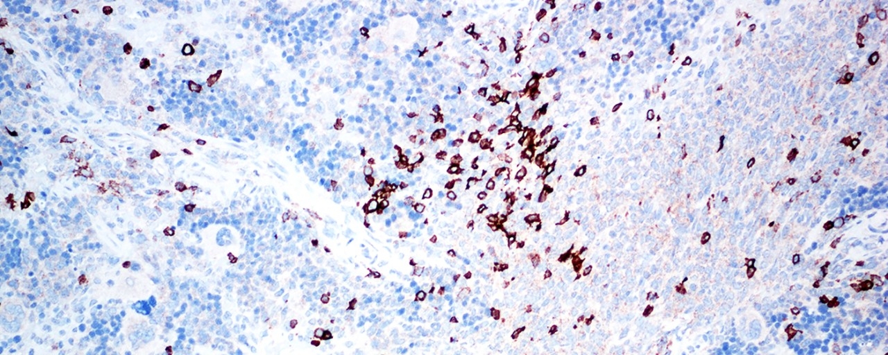
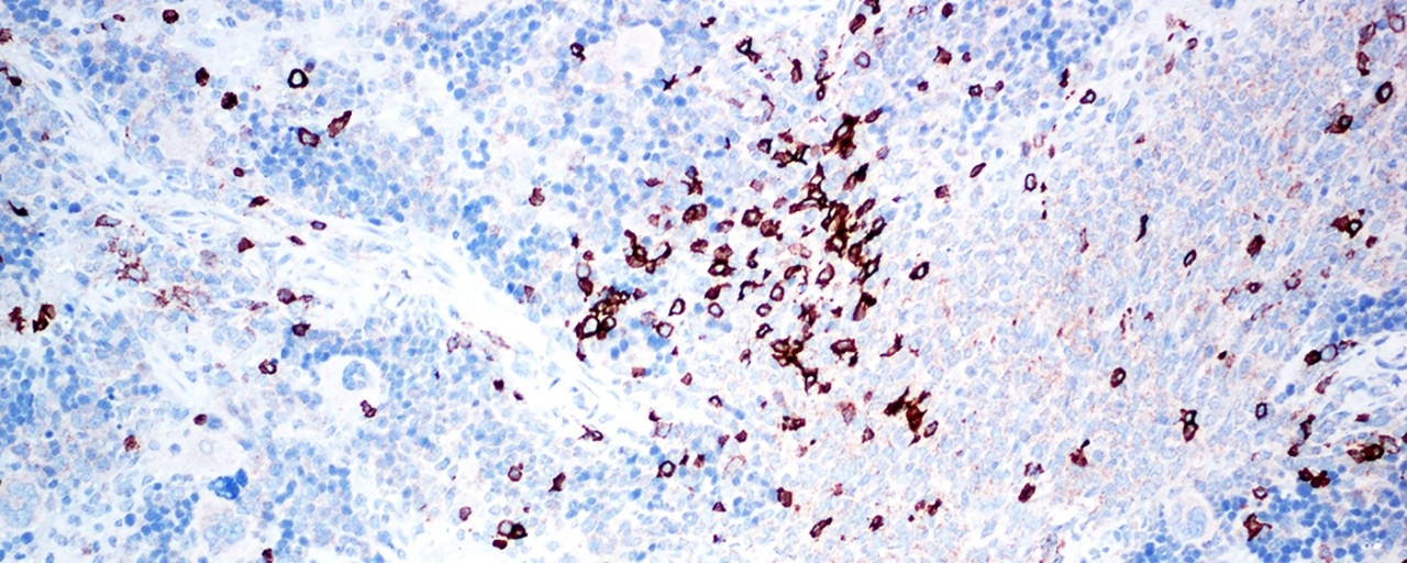
The RHCL is a long-standing and highly functional CCSG-supported shared resource. As an advanced research histology core facility, the RHCL supports the entire spectrum of research studies, including biomarker assays as well as basic and pre-clinical animal model research. The Research Histology Core Laboratory is led by Dr. Gabriela Raso, assistant professor and RHCL pathologist, and Dawn Samuels, laboratory manager. RHCL provides high-quality histological, molecular and consultation services for basic science and translational medicine research and exercises stringent quality control throughout the lab. The services are performed by American Society of Clinical Pathology (ASCP) certified histologists with expertise in routine histology and other specialty services such as whole slide scanning, image and digital analysis (ImageScope and HALO), pathology services, immunohistochemistry (IHC), tissue sectioning for spatial proteomics, tissue microarray (TMA), Visium preparations and RNAscope single and co-detection assays.
Contact
ITB:
1515 W. Holcombe Boulevard, G1.3586
Phone: 713-745-7047
Fax: 713-745 7046 Email: tissuebank@mdanderson.org and ITBteam@mdanderson.org
RHCL:
1515 Holcombe Blvd. Y7.5821
Lab Hours: Monday–Friday 8 a.m. to 4 p.m. (We can accept samples via walk-up and courier until 3 p.m.)
Phone: 713-792-3119
Email: RHFCoreLab@mdanderson.org
RHCL Satellite Location:
SCRB2 Room: 2.3157
Hours: 8:30 AM-11:30
Phone: 346-723-9678
Services: Walk-in informational help
RHCL sample pick-up & drop-off hours
8 a.m. to 3 p.m.
Give Now
Research Areas
Find out about the four types of research taking place at UT MD Anderson.