Combination immunotherapy treatment effective before lung cancer surgery
Combination immunotherapy with the anti-PD-L1 monoclonal antibody durvalumab and other novel agents outperforms durvalumab alone in the neoadjuvant (pre-surgical) setting for early-stage non-small-cell lung cancer (NSCLC), according to researchers from The University of Texas MD Anderson Cancer Center.
The findings, published today in Cancer Discovery, were first presented at the American Association for Cancer Research...
MD Anderson and Community Health Network announce partnership to create fully integrated cancer program
The University of Texas MD Anderson Cancer Center and Indianapolis-based Community Health Network today announced a partnership agreement...
MD Anderson receives over $10 million from Break Through Cancer to support collaborative research with leading cancer centers
The University of Texas MD Anderson Cancer Center was awarded more than $10 million in grants to support collaborative research teams working...
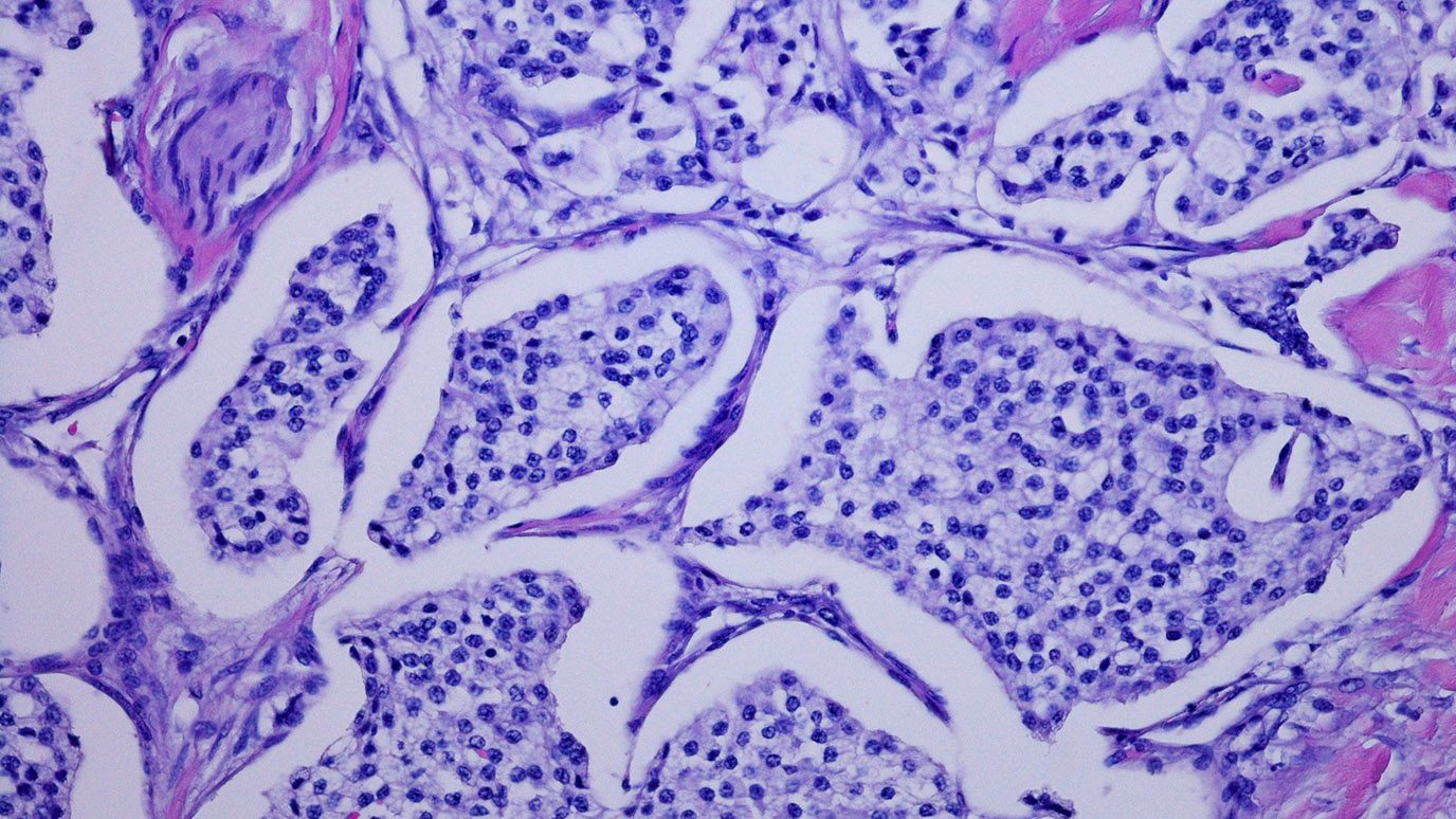
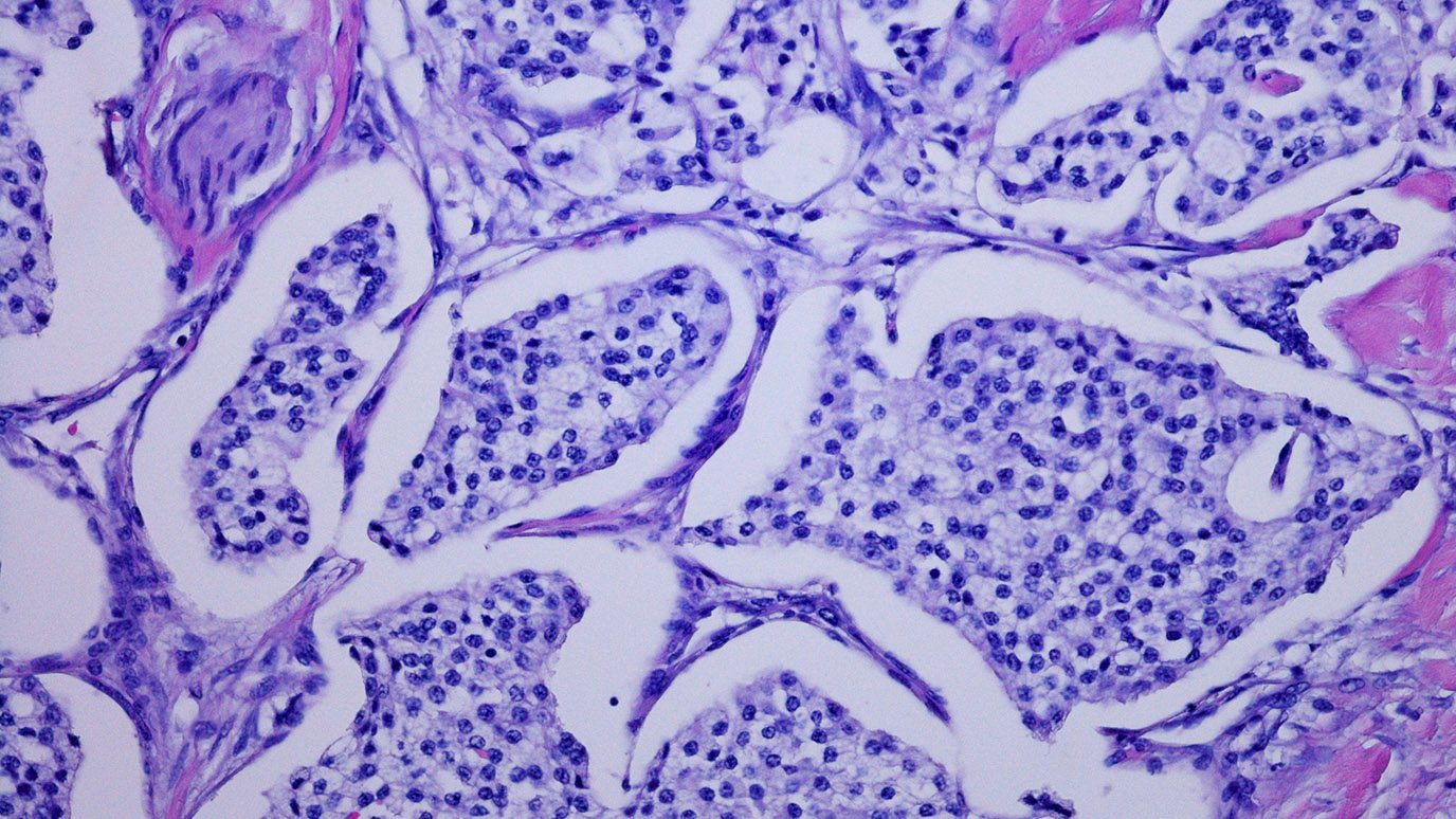
Vitamin E can boost immunotherapy responses by reinvigorating dendritic cells
Combining a retrospective analysis of clinical records with in-depth laboratory studies, researchers at The University of Texas MD Anderson Cancer Center have discovered that vitamin E can enhance immunotherapy responses by stimulating the activity of dendritic cells in the tumor. The findings were published today in Cancer Discovery.
The researchers demonstrated that vitamin E directly binds and blocks the activity of the SHP1...
MD Anderson Research Highlights for April 13, 2022
The University of Texas MD Anderson Cancer Center’s Research Highlights provides a glimpse into recently published studies in basic, translational...
New platform optimizes selection of combination cancer therapies
Abstract: LB119
Researchers at The University of Texas MD Anderson Cancer Center have developed a new bioinformatics platform that...
Therapies targeting DNA damage response show promising antitumor activity
NEW ORLEANS ― Results from early-stage clinical trials show two drugs that target the DNA damage response (DDR) pathway in cancers — ATR inhibitor...
NK cells combined with bispecific antibody showed strong response for patients with lymphoma
Abstract: CT003
Researchers from The University of Texas MD Anderson Cancer Center showed that natural killer (NK) cells derived from...
MD Anderson Research Highlights: AACR 2022 Special Edition
The University of Texas MD Anderson Cancer Center’s Research Highlights provides a glimpse into recent basic, translational and clinical cancer...
Lee Ellis honored by AACR for contributions to education and training in cancer research
The American Association for Cancer Research (AACR) has honored Lee Ellis, M.D., professor of Colon and Rectal Surgery at The University of...