What is a contrast-enhanced mammogram?
October 02, 2024
Medically Reviewed | Last reviewed by Olena Weaver, M.D., on October 02, 2024
Starting at age 40, women at average risk for breast cancer should get yearly mammograms to screen for breast cancer.
2D digital mammography and 3D digital breast tomosynthesis are the main imaging technologies used for breast cancer diagnosis and screening. However, for some women this may not be enough. If that’s the case for you, your doctor might recommend another kind of mammogram called a contrast-enhanced mammogram.
As a diagnostic radiologist, I study which groups could benefit from contrast-enhanced mammograms. Here, I’ll share more about this option, when it is used and how it differs from a traditional mammogram.
What is a contrast-enhanced mammogram?
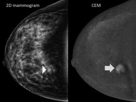
A contrast-enhanced mammogram (CEM) is just like a regular mammogram, but with an additional step. Before receiving a mammogram, you get an IV injection of iodine-based dye. The dye highlights abnormal blood vessels and hyperactive tissues that can happen when cancers develop. Contrast-enhanced mammograms can evaluate the functional state of breast tissues much like breast MRI can. This enables us to detect breast cancer early.
When are contrast-enhanced mammograms used?
Contrast-enhanced mammograms are approved by the Food and Drug Administration (FDA) as a diagnostic imaging tool. They can be used:
- To evaluate suspicious findings after a conventional mammogram
- To determine how much a cancer has spread within the breast
- Instead of a regular mammogram for patients whose breasts have noticeable lumps, nipple discharge or skin dimpling
- Instead of breast MRI for patients who are allergic to MRI contrast, are claustrophobic or have MRI-incompatible implanted devices
While contrast-enhanced mammograms aren’t FDA-approved as a screening tool, some professional societies do recommend using them instead of standard mammograms to screen women who:
- Are at high risk for breast cancer and cannot have a screening MRI
- Have dense breast tissue and are at increased risk for breast cancer
- Have a personal history of breast cancer and were treated with breast-conserving surgery that left post-surgical scars (especially in women with dense breasts)
Contrast-enhanced mammograms aren’t the right choice for everyone. Talk to your doctor about what type of imaging is right for you. Together, you can determine the right screening or diagnostic option.
What are the benefits of contrast-enhanced mammograms?
Here are some reasons your doctor might recommend a contrast-enhanced mammogram.
They are less affected by breast density.
Dense breast tissue and cancer can be hard to tell apart with traditional mammograms. Dense tissues can hide small masses and make it difficult to detect breast cancers early. Contrast-enhanced mammograms are much less affected by breast density than conventional mammography. This makes them a valuable imaging tool for women with dense breasts.
They can be done in women who cannot tolerate a breast MRI.
Contrast-enhanced mammograms and MRI achieve the same goal of examining breast tissue and detecting breast cancers early in different ways. Contrast-enhanced mammograms use X-ray while MRI uses strong magnetic fields. Contrast-enhanced mammograms and MRI also use different types of IV contrast. That is why some women who need breast MRI but cannot tolerate it due to body type, claustrophobia or allergies to MRI contrast can safely undergo contrast-enhanced mammograms.
They are faster and less expensive than an MRI.
Breast MRI is commonly used in addition to a conventional mammogram to screen women at high risk for breast cancer or to evaluate breast problems, such as suspicious findings on imaging, new breast symptoms, or for breast cancer staging. But not every woman can tolerate MRI, and sometimes there is limited availability and a longer wait time for MRI exams.
Compared to MRI, contrast-enhanced mammograms have several benefits. The process is faster, less expensive and generally better tolerated than an MRI. Contrast-enhanced mammograms can also provide patients with a definitive answer on the day of their visit compared to the days or weeks you may have to wait for MRI results.
How is a contrast-enhanced mammogram appointment different from a standard mammogram appointment?
Your contrast-enhanced mammogram appointment will take about 30 minutes longer than a regular mammogram. This is because your care team will first confirm that it is safe for you to get IV contrast.
You will have an IV placed and contrast injected. You may need a short period of observation to make sure that you don’t react to the contrast.
The imaging process feels no different than a regular mammogram. The breast is compressed, and your provider will take the same views they would for a regular mammogram. This part of the process takes approximately the same amount of time as a regular mammogram.
Contrast-enhanced mammograms requires 30% to 50% more radiation than conventional mammography, but it remains within safe regulatory limits for screening mammography.
How are MD Anderson researchers working to improve screening mammograms?
Researchers are working to improve breast cancer screenings and personalize them to each woman's risk and tissue type. At MD Anderson, we have several ongoing research trials specifically designed to address these topics.
They include:
- MERIT: This trial is studying whether blood tests, detailed history and different imaging techniques can be used alongside conventional screening mammograms to detect breast cancer earlier.
- C-MERIT: As part of the larger MERIT trial, this study explores the use of contrast-enhanced mammograms for breast cancer screening in women with dense breasts.
- CMIST: This national trial is comparing contrast-enhanced mammograms with another type of breast cancer screening called digital breast tomosynthesis, or 3D mammography, for women with dense breasts.
Why do you encourage people to get breast cancer screening?
We know that screening mammography saves lives. It helps find breast cancer early. When cancer is found at an early stage, the prognosis is better, treatment is less complex and surgery has better cosmetic outcomes.
So, even though mammograms have some limitations, getting a screening mammogram is a relatively easy step that every woman can take to ensure her wellbeing as a part of her annual self-care routine.
Talk to your doctor if you learn that conventional mammography may not be sufficient for you either because you have dense breasts or you are at increased risk of breast cancer. Your doctor can talk to you about additional breast cancer screening options that may be available for you.
Olena Weaver, M.D., is Breast Imaging Director of MD Anderson’s Contrast-Enhanced Mammography program.
Schedule your mammogram appointment at MD Anderson online or call 1-844-240-7092.
Talk to your doctor about what type of mammogram is right for you.
Olena Weaver, M.D.
Physician