Subcellular Imaging: Advanced Light and Electron Microscopy Resource (SIMR)
- Research Resources
- Core Facilities and Services
- Subcellular Imaging Resource
Overview
The goal of the Subcellular Imaging Resource (SIMR) is to provide high-quality optical and electron microscopy services at an affordable price to research investigators at UT MD Anderson. SIMR personnel are available to provide research support for investigators who are interested in optical and electron microscopy. Go to the About page to learn more about the resource.
Getting Started
For Electron Microscopy Services:
Investigators should contact Kenneth Dunner Jr. by phone at 713-792-8109, or by email at kdunnerj@mdanderson.org, to discuss feasibility of study.
Request services through iLab.
For Optical Microscopy Services:
Equipment reservations are available on iLab.
Appointment instructions for assisted imaging or training:
- Begin on the Schedule Equipment tab
- Click on the "View Schedule" button for the equipment of interest
- Click and drag the desired time frame
- Select training or assisted imaging
- Core staff will approve your reservation, or will contact you to reschedule
- Contact staff for specimen hand-over and physical access.
Equipment booking instructions for approved trained users:
- Begin on the Schedule Equipment tab
- Click on the View Schedule button for the equipment of interest
- Click and drag the desired time frame and confirm your Self Use appointment
For assistance, training and access please contact:
- 3SCR: Dr. Collene Jeter or Han Yang
- 2SCR: Anna Zal
Approved trained users may use equipment 24/7, subject to booking.
- Cancellations made within 24 hours of a scheduled appointment, or appointments where actual usage is less than 50% of the reserved time, will be charged at 50% of the scheduled appointment cost.
- No-shows or cancellations made within one hour of the scheduled appointment will be charged at 100% of the reserved time cost.
Impact
The SIMR has significantly impacted the research community by providing unparalleled access to advanced optical and electron microscopy tools. As the home to the only scanning electron microscope and the only transmission electron microscope dedicated to research applications on campus, SIMR has enabled researchers to conduct high-resolution imaging and analysis critical for cutting-edge scientific investigations. The resource services to more than 30 departments at UT MD Anderson, comprising thousands of hours of high-resolution and multispectral fluorescence microscopy annually for users from divisions including Discovery Science, Cancer Medicine, Diagnostic Imaging, Surgery, Internal Medicine, Pediatrics and Radiation Oncology, among others.
In 2024, the facility delivered 1,300 hours of EM services to 44 investigators and 3,240 hours optical microscopy services to 80 investigators, thereby supporting a wide array of research projects. The facility's contributions have led to numerous high-impact publications in journals such as Nature, Cell, Cancer Cell, Nature Immunology, JCI and Nature Cell Biology, among others. This underscores the quality and significance of the research facilitated by SIMR and enhances the institution's reputation in the scientific community. Additionally, the high ranking in user satisfaction surveys highlights the facility's commitment to excellence and its pivotal role in advancing scientific knowledge and innovation.
Acknowledgment
Please use the following text in the acknowledgments section:
“Data were generated in part through the use of the Subcellular Imaging Resource (SIMR) [and list other Cancer Center Support Grant shared resources if used], which receives partial support from the National Cancer Institute under grant P30CA016672 to UT MD Anderson. The research reported in this [publication/press release] was not directly funded through the grant P30CA016672 to UT MD Anderson and is not within the scope of such grant.”
Include this text for any work done at the Advanced Microscopy Core after May 31, 2026.
Contact
Locations
Electron Microscopy
Smith Research Building, Room SRB1.660
7777 Knight Road
Houston, Texas 77030
Optical Microscopy
South Campus Research Building 2:
7455 Fannin St, Rooms 3130 and 3203
Houston, TX 77054
South Campus Research Building 3:
1881 East Rd, Rooms 3210 and 3413
Houston, TX 77054
Electron Microscopy Laboratory Manager
Kenneth Dunner Jr., B.S. (EM certification, Microscopy Society of America)
Phone: 713-792-8109
Email: kdunnerj@mdanderson.org
Optical Microscopy Technical Leader/Co-Director
Collene Jeter, Ph.D.
Email: cjeter@mdanderson.org
Optical Microscopy Laboratory Manager
M. Anna Zal, M.Sc.
Office Phone: 713-563-7306
Email: mazal@mdanderson.org
Leica Stellaris Tau-STED XTend
Call for S10 Instrumentation Grant User Group Participants!
Multispectral live super-resolution imaging (~50 nm)
Stimulated Emission Depletion (STED)
Spatial metabolomics via Fluorescence Lifetime Microscopy (FLIM)
Near infrared imaging up to 790 nm ex/850 nm em
Contact Collene Jeter (cjeter@mdanderson.org) for more information!
Imaging: Collene Jeter, Anna Zal
Sample: SIMR Core
Microscope: Leica Tau-STED Xtend
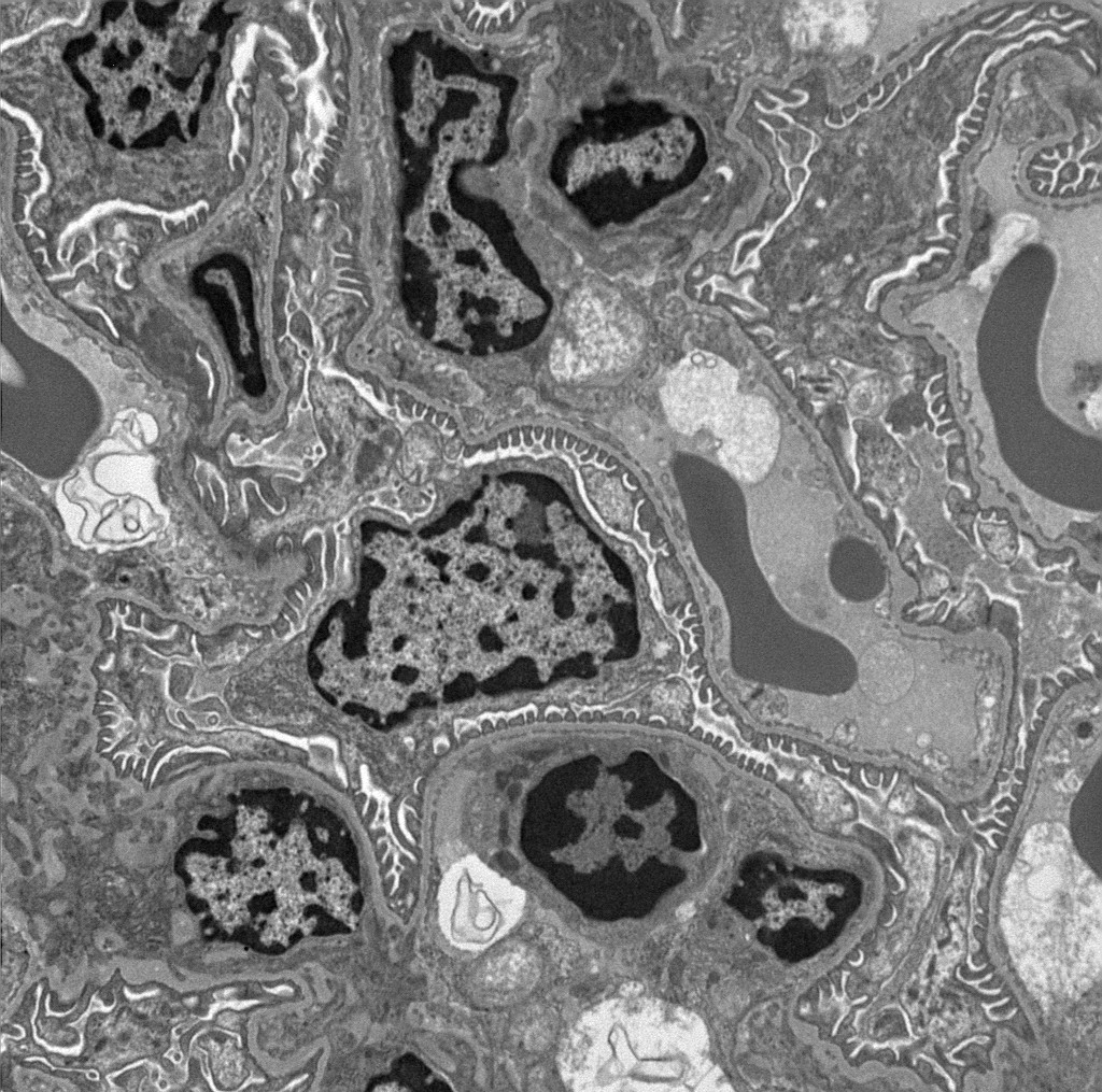
JOEL JEM-1010 Transmission Electron Microscope
Transmission Electron Microscopy of PDAC cells showing autophagic structures and mitochondria.
Viale et al., Nature, 2014.
Zeiss LSM880 Laser Scanning Confocal Microscope with Airyscan Detector
Analysis of actin cytoskeleton. Phalloidin-AF488 staining of the actin (green) and DAPI staining of cell nuclei (blue).
Amelie Albrecht/Snow Shen
Leica Confocal Laser Scanning Microscope
Peyer's patch in mouse intestine, fresh tissue, 3D projection. Treg cells (GFP, green), tissue surface (Cy5, red).
M. Anna Zal/Tomasz Zal
OMX Blaze V4 SIM Super-Resolution Microscope
T cells interacting with VCAM-1 on glass coverslip; actin (green), integrin α4β1 (blue), B-Raf (red).
Brown et al., JBC, 2014
Give Now
Research Areas
Find out about the four types of research taking place at UT MD Anderson.