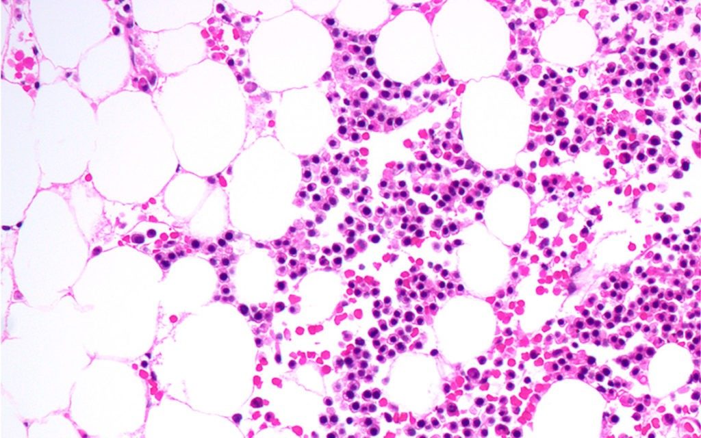
AML study reports high response rates with combination targeted therapy
Initial findings from a multi-national open-label phase Ib study of inhibitory drug therapy for relapsed or refractory acute myeloid leukemia (AML) have demonstrated a complete response in up to 50 percent patients say researchers at The University of Texas MD Anderson Cancer Center .
The patients, age 60 years or older, received therapy with venetoclax in combination with cobimetinib or idasanutlin. The clinical trial followed...
Phase 2 CAR-T study reports significant remission rates at 15-month follow up
A study involving the recently approved CD19-targeting chimeric antigen receptor (CAR) T cell therapy shows that 42 percent of patients with...
PARP inhibitor improves progression-free survival in patients with advanced breast cancers and BRCA mutations
In a randomized, Phase III trial led by researchers at The University of Texas MD Anderson Cancer Center, the PARP inhibitor talazoparib extended...
Novel regulation of gene expression in brain tumors identified
Study results revealed previously unknown interplay between two key enzymes and a novel understanding of how brain cancer tumors form and spread, according to researchers at The University of Texas MD Anderson Cancer Center.
The study, led by Zhimin Lu, M.D., Ph.D., professor of Neuro-Oncology, identified a previously unreported linkage between two enzymes known as Gcn5 and alpha-ketoglutarate dehydrogenase (alpha-KGDH), providing...
Ribociclib extends progression-free survival in pre-menopausal patients with metastatic hormone receptor-positive breast cancer
The addition of ribociclib, an inhibitor of the cell cycle, to standard hormone therapy significantly improved progression-free survival (...
MD Anderson to present key drug study findings for multiple blood cancers at ASH annual meeting
Researchers at The University of Texas MD Anderson Cancer Center will present their latest findings involving drug treatments for blood cancers...
Peter WT Pisters, M.D., begins tenure as president of MD Anderson
The University of Texas MD Anderson Cancer Center today welcomes Peter WT Pisters, M.D., as its fifth full-time president in the institution...