MD Anderson Research Highlights for June 30, 2021
The University of Texas MD Anderson Cancer Center’s Research Highlights provides a glimpse into recently published studies in basic, translational and clinical cancer research from MD Anderson experts. Current advances include expanded use of a targeted therapy for a new group of patients with leukemia, molecular studies yielding novel cancer therapeutic targets, insights into radiation...
Engineered NK cells can eliminate glioblastoma stem cells
Preclinical research from The University of Texas MD Anderson Cancer Center finds that although glioblastoma stem cells (GSCs) can be targeted...
MD Anderson Research Highlights for June 16, 2021
The University of Texas MD Anderson Cancer Center’s Research Highlights provides a glimpse into recently published studies in basic, translational...
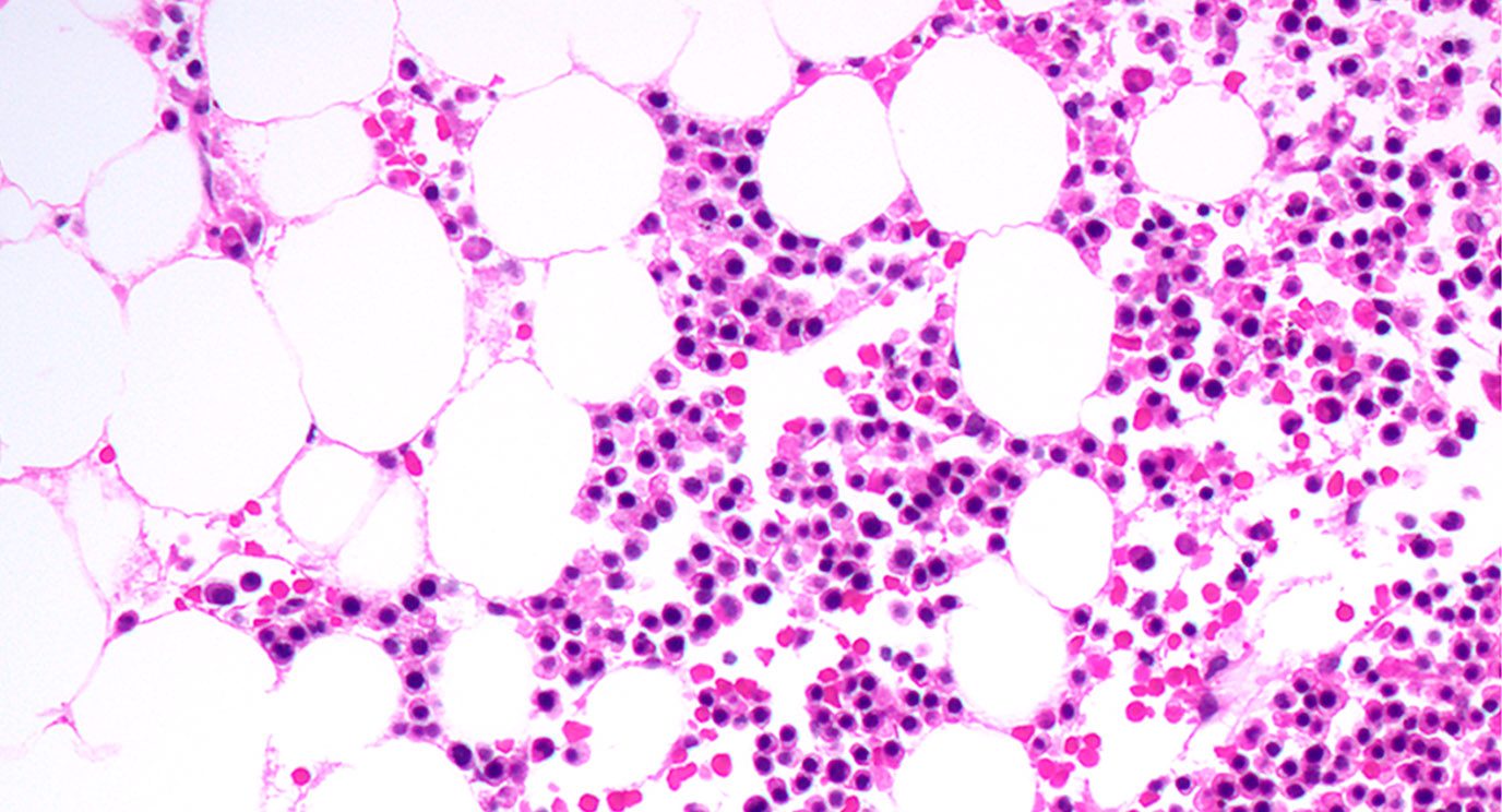
Combination targeted therapy provides durable remission for patients with chronic lymphocytic leukemia
A combination of ibrutinib and venetoclax was found to provide lasting disease remission in patients with newly diagnosed chronic lymphocytic leukemia (CLL), according to researchers at The University of Texas MD Anderson Cancer Center. Findings from the single-institution Phase II study were published today in JAMA Oncology and provide the longest follow-up data on patients treated with this drug regimen.
Lead researchers included...
Targeted therapy pralsetinib safely and effectively treats lung and thyroid cancers with RET alterations
Results from the multi-cohort Phase I/II ARROW clinical trial, conducted by The University of Texas MD Anderson Cancer Center researchers,...
Newly approved targeted therapy sotorasib prolongs survival in KRAS G12C-mutated lung cancer
ABSTRACT #9003
Results from the Phase II cohort of the CodeBreaK 100 study showed that treatment with the KRAS G12C inhibitor sotorasib...