Researchers identify immune-suppressing target in glioblastoma
Researchers at The University of Texas MD Anderson Cancer Center have identified a tenacious subset of immune macrophages that thwart treatment of glioblastoma with anti-PD-1 checkpoint blockade, elevating a new potential target for treating the almost uniformly lethal brain tumor.
Their findings, reported in Nature Medicine, identify macrophages that express high levels of CD73, a surface enzyme that’s a vital piece of an immunosuppressive...
Minimum age to purchase tobacco products in US raised to 21
HOUSTON ― The University of Texas MD Anderson Cancer Center applauds the bipartisan legislation approved today raising the legal age...
Breast biopsies after neoadjuvant chemotherapy accurately predict presence of residual breast cancer
Abstract: GS5-04
Researchers from The University of Texas MD Anderson Cancer Center have identified a standardized protocol that uses...
Residual cancer burden after neoadjuvant therapy can accurately predict breast cancer survival
Abstract: GS5-01
Researchers from The University of Texas MD Anderson Cancer Center today reported results from a pooled analysis of more than 5,100 breast cancer patients that found residual cancer burden (RCB) continuous index and classification were independently and strongly prognostic for all breast cancer phenotypes.
The study’s results were presented by W. Fraser Symmans, M.D., professor of Pathology, during the 2019...
Statement regarding the confirmation of Stephen Hahn, M.D., as United States Commissioner of Food and Drugs
The faculty and staff at The University of Texas MD Anderson Cancer Center congratulate Stephen Hahn, M.D., on his confirmation as United...
Adding tucatinib to drug combination extends survival for advanced HER2+ breast cancer patients
Abstract: GS1-01
Researchers from The University of Texas MD Anderson Cancer Center today reported study results showing the addition...
Combination therapy results in 98% response rate for some newly diagnosed leukemia patients
A study led by The University of Texas MD Anderson Cancer Center showed that treatment combining lower doses of chemotherapy with the monoclonal...
CAR T-cell therapy effective for relapsed mantle cell lymphoma patients
A one-year follow-up study led by The University of Texas MD Anderson Cancer Center revealed a majority of patients with mantle cell lymphoma...
Combination therapy more effective than chemotherapy alone for many newly diagnosed leukemia patients
A multi-institutional, Phase II study led by The University of Texas MD Anderson Cancer Center showed that pairing standard chemotherapy azacitidine...
MD Anderson-convened consortium provides first universal recommendations for pediatric patients with sinusoidal obstructive syndrome
The University of Texas MD Anderson Cancer Center convened an international panel of multidisciplinary experts earlier this year to evaluate...
Acupuncture reduces radiation-induced dry mouth for cancer patients
After receiving acupuncture treatment three days a week during the course of radiation treatment, head and neck cancer patients experienced...
MD Anderson clinical trial expert Lee earns election as AAAS Fellow
J. Jack Lee, Ph.D., associate vice president of Quantitative Sciences and Biostatistics at The University of Texas MD Anderson Cancer Center...
Researchers find protein promotes cancer, suppresses anti-tumor immunity
Researchers at The University of Texas MD Anderson Cancer Center have found that a protein involved in immune response to microbes also can...
A Conversation With a Living Legend to honor Houston Astros’ Jim Crane
The University of Texas MD Anderson Cancer Center will honor business entrepreneur and philanthropist Jim Crane, owner and chairman of the...
Receiving care in a multidisciplinary prostate cancer clinic increases discussion about treatment options and adherence to national guidelines
Newly diagnosed prostate cancer patients have multiple standard-of-care treatment options available, but many are not fully informed of their...
San Antonio luncheon to honor former U.S. Sec. of State Rex Tillerson
The University of Texas MD Anderson Cancer Center marks the 10th year of A Conversation With a Living Legend® in San Antonio with a luncheon...
Prostate cancer bone metastases thwart immunotherapy by producing TGF-β
Prostate cancer that spreads to the bone triggers the destruction of bone tissue that, in turn, thwarts the effectiveness of immune checkpoint...
Study shows secondary surgery does not improve overall survival for recurrent ovarian cancer patients
Researchers from The University of Texas MD Anderson Cancer Center reported that secondary tumor-reduction, or cytoreduction, surgery followed...
Kim Carstens receives Brown Foundation Award for Excellence in Oncology Nursing
Kim Carstens, B.S.N., R.N., O.C.N., is the recipient of the 2019 Brown Foundation Award for Excellence in Oncology Nursing at The University...
MD Anderson, Artios Pharma and ShangPharma announce in-licensing agreement for DNA damage response inhibitor
The University of Texas MD Anderson Cancer Center, Artios Pharma Limited and ShangPharma Innovation today announce the in-licensing by Artios...
MD Anderson and Takeda Announce Collaboration to Accelerate the Development of Clinical-Stage, Off-The-Shelf CAR NK-Cell Therapy Platform
The University of Texas MD Anderson Cancer Center and Takeda Pharmaceutical Company Limited today announced an exclusive license agreement...
MD Anderson statement regarding an assessment by the Centers for Medicare and Medicaid Services
For nearly 80 years, The University of Texas MD Anderson Cancer Center has been a global leader in the fight to end cancer. Our patients trust...
MD Anderson presents fourth annual Boot Walk to End Cancer®
On Saturday, Nov. 9, The University of Texas MD Anderson Cancer Center will welcome thousands of cancer survivors and supporters to the Texas...
Allyson Kinzel, J.D., Named Senior Vice President and Chief Legal Officer
The University of Texas MD Anderson Cancer Center has named Allyson Hancock Kinzel, J.D., as senior vice president and chief legal officer...
MD Anderson and University of Puerto Rico receive $13 million grant renewal
The University of Texas MD Anderson Cancer Center and the University of Puerto Rico received a competitive renewal of their Comprehensive...
Ziopharm Oncology and MD Anderson Cancer Center Announce New R&D Agreement to Expand TCR-T Program
Ziopharm Oncology, Inc., and The University of Texas MD Anderson Cancer Center today announced a new research and development agreement relating...
Seven volunteers named to MD Anderson Cancer Center Board of Visitors
The University of Texas MD Anderson Cancer Center Board of Visitors (BOV), a nonfiduciary, appointed volunteer advisory board, welcomes seven...
MD Anderson and Varian partner to optimize radiation oncology treatment
The University of Texas MD Anderson Cancer Center and Varian today announced a new strategic collaboration to develop an integrated software...
A Conversation With a Living Legend in Dallas to honor LA Dodgers pitcher Clayton Kershaw
The North Texas A Conversation With a Living Legend® will honor Los Angeles Dodgers starting pitcher Clayton Kershaw in an interview with...
MD Anderson expanding its presence in The Woodlands
The University of Texas MD Anderson Cancer Center today opened its newest free-standing facility in The Woodlands. Serving patients in The...
Triplet-targeted therapy improves survival for patients with advanced colorectal cancer and BRAF mutations
Abstract: LBA32
The three-drug combination of encorafenib, binimetinib and cetuximab significantly improved overall survival (OS) in...
Targeted therapy erdafitinib effective for patients with advanced bladder cancer and specific gene mutations
Treatment with the FGFR inhibitor erdafitinib in patients with metastatic bladder cancers marked by mutations in the FGFR3 gene resulted in...
PARP inhibitor plus chemotherapy improves progression-free survival for advanced ovarian cancer patients
Abstract: LBA3
Researchers from The University of Texas MD Anderson Cancer Center reported study results showing that initial treatment...
Study shows nearly half of cancer patients who enter a comprehensive tobacco treatment program quit smoking
In the largest smoking cessation study of cancer patients to date, researchers from The University of Texas MD Anderson Cancer Center...
Investigational drug with immunotherapy may provide new therapeutic opportunity for patients previously treated for kidney and lung cancer
Pegilodecakin, a first-in-class drug currently in clinical trials, has shown positive safety results and may offer a potential new treatment...
Rogers Award honors Sheryl Harris, C.N.A., for excellence in patient care
The University of Texas MD Anderson Cancer Center has awarded Sheryl Harris, C.N.A., the Julie and Ben Rogers Award for Excellence in Patient...
MD Anderson and Houston Dynamo unite to kick childhood cancer
The University of Texas MD Anderson Cancer Center goes gold for Kick Childhood Cancer Awareness Night at BBVA Stadium, Saturday, Sept. 21...
In Memory of T. Boone Pickens
The University of Texas MD Anderson Cancer Center extends deepest sympathy to family and friends of philanthropist and energy...
MD Anderson study confirms protein as potential cause of most common type of pancreatic cancer
Researchers at The University of Texas MD Anderson Cancer Center have confirmed a protein as an oncogene responsible for the most common and...
MD Anderson response to FDA and CDC statements on e-cigarettes
The University of Texas MD Anderson Cancer Center supports efforts by the Food and Drug Administration and the Centers for Disease Control...
MD Anderson receives $55 million over five years in comprehensive cancer center status renewal
The University of Texas MD Anderson Cancer Center received a notice of renewal from the National Cancer Institute (NCI) to extend its status...
MD Anderson receives more than $19 million in CPRIT funding
The University of Texas MD Anderson Cancer Center today was awarded more than $19 million from the Cancer Prevention and Research Institute...
MD Anderson Cancer Center, First Tee team up to educate students nationwide on dangers of tobacco and e-cigarettes
The University of Texas MD Anderson Cancer Center, the official cancer center of the PGA TOUR, will attend the TOUR Championship for the fifth...
Boehringer Ingelheim and MD Anderson form unique virtual research and development center to rapidly advance new cancer therapies
Boehringer Ingelheim and The University of Texas MD Anderson Cancer Center today announced a new multi-year partnership to conduct collaborative...
Bacteria on tumors influences immune response and survival of patients with pancreatic cancer
A key difference between the few pancreatic cancer patients who survive long-term and the many whose disease overcomes...
MD Anderson to expand Proton Therapy Center
The University of Texas MD Anderson Cancer Center unveiled plans to expand its Proton Therapy Center during a groundbreaking ceremony. The...
MD Anderson honored to rank as nation’s best hospital for cancer care in annual survey
The University of Texas MD Anderson Cancer Center is honored to be ranked No. 1 in cancer care in the U.S. News & World Report’s annual...
Discovery shows how difficult-to-treat prostate cancer evades immune system
Researchers at The University of Texas MD Anderson Cancer Center have discovered how an aggressive form of prostate cancer called double-negative...
New biomarker-guided strategy has potential for liver cancer treatment
A study at The University of Texas MD Anderson Cancer Center discovered a cellular pathway tied to cancer that may be beneficial in reducing...
Fewer than half of U.S. adults exposed to court-ordered anti-smoking advertisements
The tobacco industry’s court-ordered anti-smoking advertisements reached just 40.6% of U.S. adults and 50.5% of current smokers in 2018, according...
Joel Dahmen named MD Anderson's official PGA TOUR ambassador
The University of Texas MD Anderson Cancer Center, the official cancer center of the PGA TOUR, today announced its partnership with Joel Dahmen...
Statement from MD Anderson regarding response to surveys from the Centers for Medicare and Medicaid Services
More than 140,000 people from around the world turned to our experts last year for their cancer care. Their trust in MD Anderson pushes us...
Darrow Zeidenstein, Ph.D., Named Chief Development Officer
The University of Texas MD Anderson Cancer Center today named Darrow Zeidenstein, Ph.D., as chief development officer. With more than 25 years...
Statement regarding surveys by the Centers for Medicare and Medicaid Services
The University of Texas MD Anderson Cancer Center has cooperated fully in two surveys conducted by the Centers for Medicare and Medicaid Services...
Study finds macrophages’ pathway to nurture PTEN-deficient glioblastoma
A common genetic deficiency empowers glioblastoma to broadcast a molecular message to the wrong type of immune cell, summoning macrophages...
Lymphoma trial finds combination targeted therapy effective prior to chemotherapy
ABSTRACT #7508
Results of a Phase II clinical trial conducted at The University of Texas MD Anderson Cancer Center revealed that combination...
Combination checkpoint blockade effective in pre-surgical setting for early-stage lung cancers
ABSTRACT 8504
Neoadjuvant, or pre-surgical, treatment with nivolumab plus ipilimumab resulted in an overall major pathologic response...
Ribociclib plus hormone therapy extends survival for patients with premenopausal advanced hormone receptor-positive breast cancer
ABSTRACT LBA1008
Adding the targeted therapy ribociclib to hormone therapy significantly improved overall survival (OS) in premenopausal...
Study reports ibrutinib and venetoclax combo effective as front-line therapy for select chronic lymphocytic leukemia patients
Ibrutinib and venetoclax, two FDA-approved drugs for treating chronic lymphocytic leukemia (CLL), have been shown to be effective when given...
Texas raises tobacco sales age to 21 to limit youth exposure and protect health
The University of Texas MD Anderson Cancer Center applauds the Texas Legislature today for passing Senate Bill 21, which raises the minimum...
David Jaffray, Ph.D., Named Chief Technology and Digital Officer
The University of Texas MD Anderson Cancer Center today named David Jaffray, Ph.D., as its first-ever chief technology and digital officer...
Polo on the Prairie raises $775,000 for cancer research, patient care
Despite a Saturday morning storm that wreaked havoc on plans for this year’s Polo on the Prairie, May 18 at the Musselman Brothers’ Lazy 3...
Ipilimumab and nivolumab immunotherapy combination produces high response rate in metastatic bladder cancer
An immunotherapy combination with a higher dose of ipilimumab produced a 38 percent overall response rate for patients with metastatic bladder...
MD Anderson applauds Texas Legislature for authorizing continuation of CPRIT to support cancer research, education and prevention
The University of Texas MD Anderson Cancer Center applauds the 86th Texas Legislature today for voting to approve a constitutional amendment...
MD Anderson leadership development program receives first-of-its-kind accreditation
The University of Texas MD Anderson Cancer Center has received full accreditation by the American Association for Physician Leadership...
Study shows MD Anderson-developed drug effective in overcoming ibrutinib resistance in mantle cell lymphoma
A study at The University of Texas MD Anderson Cancer Center demonstrated how a small molecule drug discovered...
2019 Andrew Sabin Family Fellows share passion for Making Cancer History
The University of Texas MD Anderson Cancer Center has named eight researchers to the fourth annual class of Andrew Sabin Family Fellows. Each...
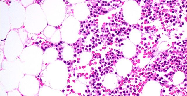
New cancer therapy target found in mitochondria for potential treatment of blood cancers
A study at The University of Texas MD Anderson Cancer Center identified a new therapeutic target in cancer cells and explains how new anti-cancer...
Study of tagraxofusp reports 90 percent response rate for deadly blood cancer with no prior available therapies
An open-label, multi-cohort Phase II trial, led by investigators at The University of Texas MD Anderson Cancer Center, reports that treatment...
Teen cancer patients prepare for an exciting night at annual Prom Party Palooza
HOUSTON – The University of Texas MD Anderson Children’s Cancer Hospital joins Peli Peli Restaurants, the National Association for Catering...
MD Anderson addresses national threat of foreign influence
The impact of foreign influence across multiple sectors of the United States economy continues to be a national concern. Specific to academia...
Triple negative breast cancers can adopt reversible state that is resistant to chemotherapy
Researchers at The University of Texas MD Anderson Cancer Center have discovered that triple negative breast cancer (TNBC) cells can develop...
MD Anderson and Houston Dynamo to host End Cancer Night April 27
The University of Texas MD Anderson Cancer Center proudly presents End Cancer Night at BBVA Compass Stadium Saturday, April 27 at 7 p.m. as...
Single agent umbralisib effective for relapsed slow-growing lymphoma
A study at The University of Texas MD Anderson Cancer Center revealed the investigational drug umbralisib as an effective treatment for patients...
New potential therapeutic target for pancreatic cancer discovered
Cancer cells demand enormous amounts of molecular “food” to survive and grow, and a study published March 27 online in Nature by researchers...
Study may explain why immunotherapy not effective for some patients with metastatic melanoma and kidney cancer
White blood cells known as B cells have been shown to be effective for predicting which cancer patients will respond to immune checkpoint...
Study points to new strategy for boosting immunotherapy effectiveness in advanced colorectal cancer
Researchers at The University of Texas MD Anderson Cancer Center revealed the common oncogene KRAS as a possible explanation for why many...
MD Anderson's Making Cancer History Seminar heads to New Orleans
The University of Texas MD Anderson Cancer Center presents its Making Cancer History® Seminar, 11:30 a.m.-1:30 p.m. March 25 at the Hotel...
New report finds states must do more to ensure people at high risk can be screened for lung cancer
Lung cancer is the leading cancer killer, yet coverage of screenings for individuals at high risk for lung cancer varies across state Medicaid...
ZEB1 throttles therapeutic target, protecting KRAS-mutant lung cancer
A cellular identity switch protects a cancer-promoting genetic pathway from targeted therapy, researchers at The University of Texas MD Anderson...
MD Anderson to present Making Cancer History Seminar in Palm Beach
The University of Texas MD Anderson Cancer Center returns to Palm Beach with its Making Cancer History® Seminar, 9-11 a.m. March 18 at The...
Giulio Draetta named Chief Scientific Officer
The University of Texas MD Anderson Cancer Center has named Giulio Draetta, M.D., Ph. D. as chief scientific officer (CSO), a new position...
Liquid biopsy as effective as tissue biopsy for non-small cell lung cancer according to study
A multi-center study led by researchers at The University of Texas MD Anderson Cancer Center revealed that a liquid biopsy test...
Nearly $20 million awarded by CPRIT to MD Anderson
The University of Texas MD Anderson Cancer Center today was awarded $19.6 million from the Cancer Prevention and Research Institute of Texas...
Study finds melanoma brain metastases are immunosuppressive with treatment-resistant metabolism
Melanoma tumors that have spread to the brain are equipped to thwart immunotherapies and targeted therapies that succeed against tumors growing...
Small cell lung cancer may respond to combination of immunotherapy and DNA damage repair inhibitors
Researchers at The University of Texas MD Anderson Cancer Center have discovered that a combination of immune checkpoint blockade and targeted...
Immunotherapy combination generates responses against castration-resistant metastatic prostate cancer
Some patients with metastatic prostate cancer respond to a combination of immune checkpoint inhibitors after hormonal therapy and chemotherapy...
New therapeutic target found for aggressive pediatric cancers with few treatment options
Researchers at The University of Texas MD Anderson Cancer Center have discovered that malignant rhabdoid tumors (MRT), a rare pediatric cancer...
MD Anderson supports World Cancer Day call for action to end cancer
As an institution devoted to eliminating cancer for patients in Texas, the nation and around the world, The University of Texas MD Anderson...
MD Anderson study shows FGL2 protein may be an effective target for glioblastoma
Researchers at The University of Texas MD Anderson Cancer Center have discovered an immune regulator that appears to dictate glioblastoma...
Rosanna Morris Joins MD Anderson as Chief Operating Officer from Beaumont Health
The University of Texas MD Anderson Cancer Center today named Rosanna Morris, RN, MBA, as chief operating officer (COO). With more than 20...
MD Anderson Cancer Center and Dragonfly Therapeutics announce strategic collaboration to take new immunotherapy candidates into clinical trials
The University of Texas MD Anderson Cancer Center and Dragonfly Therapeutics, Inc., today announced a strategic collaboration to bring Dragonfly...
Complication rates and costs of invasive lung cancer diagnostic tests may be higher than anticipated
Complication rates following invasive diagnostic procedures for lung abnormalities were twice as high in the community setting compared to...
VISTA checkpoint implicated in pancreatic cancer immunotherapy resistance
Researchers have identified a new potential immunotherapy target in pancreatic cancer, which so far has been notoriously resistant to treatment...
Novel biomarker appears predictive of outcome in patients with HPV-related head and neck cancers
By analyzing variations in the level of human papillomavirus (HPV) in head and neck cancers, researchers at The University of Texas MD Anderson...
John Mendelsohn, MD Anderson President Emeritus, Passes Away
John Mendelsohn, M.D., president emeritus of The University of Texas MD Anderson Cancer Center and an internationally acclaimed leader in...
MD Anderson Cancer Center and Nanobiotix announce a large-scale, comprehensive clinical collaboration on NBTXR3
The University of Texas MD Anderson Cancer Center and Nanobiotix today announced a large-scale, comprehensive clinical research collaboration...
MD Anderson Cancer Center and Ascentage Pharma announce strategic alliance in cancer drug development
The University of Texas MD Anderson Cancer Center and Ascentage Pharma Group, Inc. today announced a five-year strategic collaboration agreement...
MD Anderson Cancer Center and 4D pharma collaborate to evaluate live biotherapeutics in solid tumors
The University of Texas MD Anderson Cancer Center and 4D pharma today announced a strategic collaboration to evaluate 4D’s live biotherapeutic...
MD Anderson notes passing of Waun Ki Hong – innovator, mentor, colleague
Waun Ki Hong, M.D., a trail-blazing physician-scientist and mentor whose clinical research innovations led to successful organ-sparing cancer...