Papillary thyroid cancer: 8 questions, answered
October 07, 2022
Medically Reviewed | Last reviewed by an MD Anderson Cancer Center medical professional on October 07, 2022
Papillary thyroid cancer is the most common form of thyroid cancer. It is normally a slow-growing cancer and makes up roughly 80% to 85% of all thyroid cancer cases.
How is papillary thyroid cancer diagnosed? Does it have any symptoms? And how is it typically treated?
For answers to these questions and more, we reached out to endocrinologist Priyanka Iyer, M.B.B.S., who specializes in endocrine neoplasia and hormonal disorders.
How is a “papillary” thyroid cancer diagnosis made?
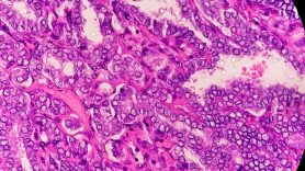
We classify thyroid cancer as “papillary” based on the way the tumor cells look under a microscope, rather than the way they appear on scans or to the naked eye during surgery. Papillary thyroid cancer cells have tiny papillae, which are finger-like projections.
What is papillary microcarcinoma?
This term just means that papillary thyroid cancer measures less than one centimeter across, or about the width of a staple. Tumors smaller than that are measured in millimeters. They are usually considered very low risk.
It’s important to note that all thyroid cancers start as microcarcinomas. Then, they grow to whatever size they are at the time of diagnosis.
What is metastatic papillary thyroid cancer?
Metastatic just means cancer has spread from its original location. About 30% of people have metastatic thyroid cancer at the time of their diagnosis.
What are the symptoms of papillary thyroid cancer?
Most people have no symptoms of papillary thyroid cancer, especially when the disease is in its earliest stages. There’s no routine blood test to check for it, either, so most people only find out they have it by chance.
In some cases, a doctor may detect a lump or a nodule on the thyroid by feeling around a patient’s neck during an annual exam. Other times, papillary thyroid cancer may be found when someone gets a CT scan or an MRI done for a different reason.
In its later stages, patients might notice a change in their voice or even weight loss, because they’re having trouble swallowing. In very advanced cases, someone might have trouble breathing because the tumor has already spread to the lungs or wrapped around their windpipe. But those scenarios are very, very rare.
How is papillary thyroid cancer typically treated?
About 80% to 85% of papillary thyroid cancers can be removed surgically. But if a tumor is small enough and of a slow-growing variety that makes it low-risk, we might just recommend observation.
The types of surgery used typically include either:
- a lobectomy/partial thyroidectomy removes only the lobe affected by the tumor
- a total thyroidectomy removes both lobes — the entire thyroid gland
Patients may also be prescribed radioactive iodine treatment if cancer has spread to adjacent tissues or lymph nodes.
What are the latest advances in the diagnosis or treatment of papillary thyroid cancer?
In just the last 10 years, nine different targeted therapy agents have been approved by the Food and Drug Administration (FDA) to treat thyroid cancer. Seven of these can be used for papillary thyroid cancer.
Three of them are considered anti-angiogenics, which target the tumor’s blood supply. Those are:
- Sorafenib
- Lenvatininib
- Cabozantinib
Others target specific genetic mutations, such as:
- Selpercatinib, (RET mutation and fusion gene)
- Pralsetinib (RET mutations)
- Larotrectinib (NTRK-fusion)
- Entrectinib (NTRK-fusion)
How do these new drugs benefit papillary thyroid cancer patients?
Systemic treatments like these are a good option when papillary thyroid cancer is at an advanced stage or is still spreading, despite surgery and radioactive iodine treatment. They work by slowing down a tumor’s growth. So, patients may be able to enjoy a longer life without further disease progression.
These drugs can be used for patients with tumors that can’t be removed surgically, whether due to their size or the fact that they’re wrapped around critical structures. They’re also being used to reduce the overall size of a tumor or the amount of metastatic thyroid cancer in someone’s body.
Newer drugs in this group tend to be very well-tolerated, but some of the older ones can have fairly significant side effects that affect patients’ quality of life. So, it’s important to discuss the risks and benefits of these — or any drugs — with your care team before deciding whether to take them.
What type of research is being done right now for papillary thyroid cancer?
As of now, no immunotherapy agent has been approved by the FDA for the treatment of any kind of thyroid cancer. So, it’s still considered experimental. But at MD Anderson, Mark Zafereo, M.D., is leading a clinical trial combining immunotherapy with two different targeted therapies to see if this combination can shrink down large, inoperable thyroid tumors small enough to make surgery an option.
Two of the drugs involved — dabrafenib and trametinib — have already been approved by the FDA to treat anaplastic thyroid cancer. But we also use them in clinical trials in cases of advanced papillary thyroid cancer, because sometimes, it can turn into anaplastic thyroid cancer.
What’s the one thing you want people to know about papillary thyroid cancer?
Papillary thyroid cancer is usually very slow-growing. But it’s still a good idea to ask for molecular testing before starting your treatment because some mutations can make thyroid cancers less responsive to radioactive iodine. If that turns out to be the case for you, then we can consider other therapies.
Request an appointment at MD Anderson online or by calling 1-877-632-6789.
Papillary thyroid cancer is usually very slow-growing.
Priyanka Iyer, M.B.B.S.
Physician