Stage IV oral cancer survivor: How MD Anderson helped me reclaim my faith
As an International Coaching Federation Master Certified Coach, National Board for Health and Wellness Coaching-certified coach and behavioral science expert, I’m normally someone that other people come to when they don’t know what to do. So, you’d think I’d be one of the last people on Earth to suffer a crisis of faith.
You’d be wrong.
Because when I was diagnosed with squamous cell carcinoma of the oral cavity in July...
Is soy safe for patients with breast cancer?
Soybeans are nutritious and versatile. They are used to make products ranging from tofu to soy milk, and contain protein, fiber, potassium...
How to stick with your New Year’s resolutions
Ready to get your health back on track after a busy holiday season? It’s possible to make your New Year’s resolutions stick if you approach...
Cervical cancer survivor: Why I’m thankful for MD Anderson
I’ve had abnormal Pap tests my whole life — starting when I first began getting them around age 18. Since then, I’ve had at least one abnormal Pap test every year. So, getting retested frequently to rule out the possibility of cervical cancer was nothing new to me.
I only started to worry when I didn’t stop bleeding months after my third child was born in 2020. Once I decided to seek medical attention, I wanted answers fast. But...
A champion for keeping our cancer patients safe
While many people may not know her name, those who have received or provided care at MD Anderson in recent years are likely familiar with...
Cancer diagnosis in family drives career shift for patient services coordinator
Seventeen years ago, a phone call changed the course of Fayleta Lawrence’s life. It was her mother, breaking the news that she had just been...
22 research highlights from the past year
From unlocking the secrets of the tumor microenvironment to advancing new therapies to FDA approval, MD Anderson researchers are driven by...
Germ cell tumor survivor: MD Anderson helped me get back to doing what I love
I’ve been teaching some form of band since I graduated from high school in 2015. By the end of that same year, I was already instructing some...
Compassionate care drives throat cancer caregiver to become champion for MD Anderson
As Commissioner of the Port of Houston Authority and a leader on corporate and charitable boards, Cheryl Creuzot is highly sought after for...
7 hacks for a healthier holiday
If you’re facing holiday temptations and wondering how you’ll keep your blood sugar where you need it to be or how you’ll stick with your...
How MD Anderson has built its blood supply for cancer patients
Last updated Feb. 9, 2023
Allie Moreno has a simple yet powerful message for people who donate blood at MD Anderson: “Thank you. Your...
What does mouth cancer look like?
From eating and drinking to talking and breathing, you use your mouth constantly. With all that movement, you probably notice when something...
Driven to prevent cervical cancer worldwide
Kathleen Schmeler, M.D., has been focused on bringing high-quality cancer prevention, diagnosis and treatment programs to women in underserved...
Helping cancer patients navigate CAR T cell therapy
Jeremiah Bergeron pays close attention to detail. As a nurse caring for hospital patients receiving CAR T cell therapy, Bergeron monitors...
What is a double mastectomy?
When cancer is found in both breasts or there’s a high risk of developing breast cancer, a double mastectomy may be an option to treat or...
Chondrosarcoma survivor returns to hiking after internal hemipelvectomy, physical therapy
Steve Olejniczak had been dealing with pain in his right hip for years before he saw a doctor in late 2019. When he did, doctors said he had...
Sarcoma relapse survivor: MD Anderson gave me a second chance to savor new motherhood
My husband, Wes, and I moved to The Woodlands — a suburb of Houston about 30 miles north of downtown — in September 2019. We made that decision...
What do cancerous breast lumps feel like?
A lump in your breast can sometimes be a sign of breast cancer. It could also be a harmless cyst, or a temporary change in breast tissue caused...
LAG-3 inhibitors: A new type of immunotherapy
Immunotherapy harnesses the natural power of the immune system and enhances its response to cancer. Immune checkpoint inhibitors are the most...
Pancreatic cancer treatment at MD Anderson gave me hope
I have always enjoyed an active lifestyle, playing pickleball and taking long walks with my husband, Bill. But in April 2019, I started experiencing...
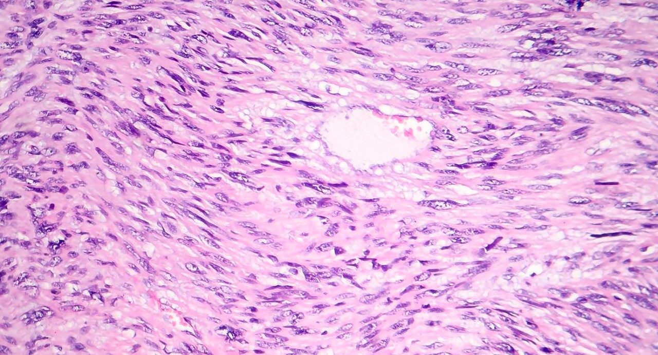
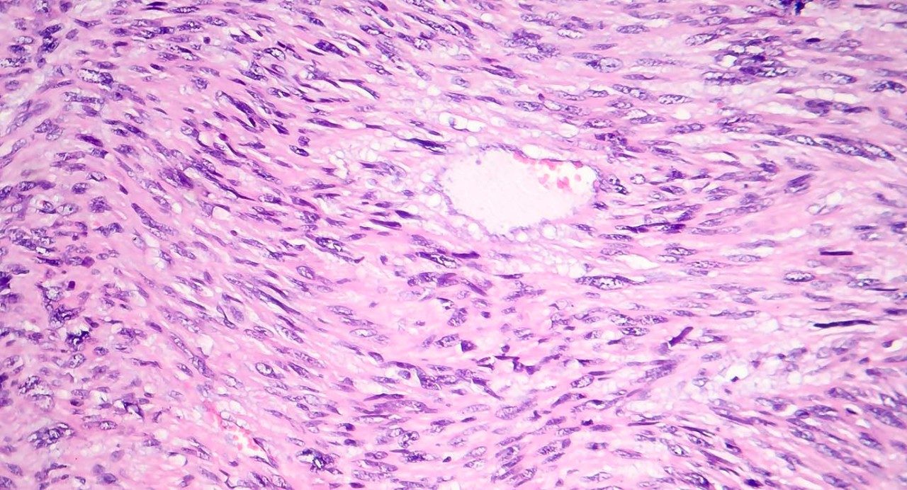
Squamous cell carcinomas: 8 things to know about the ‘cancer of the surfaces’
Much like adenocarcinomas, squamous cell carcinomas can develop in many locations, including the skin, lungs and cervix.
Unlike...
Caring for a parent with cancer? Follow this advice
Taking care of a loved one with cancer can be hard, no matter your relationship. For adult children of cancer patients, the changing role...
How to weather the tripledemic: When COVID-19, flu and RSV collide
You might know that flu season got off to an earlier start than usual this year or that the respiratory syncytial virus (RSV) is making a...
Pediatric leukemia caregivers: Why we’re grateful for MD Anderson
When Arav Patil was diagnosed with acute myeloid leukemia (AML) in the spring of 2019, his parents, Komal and Rahul, were dumbfounded....
Finding care and compassion at MD Anderson through multiple cancer diagnoses
I always thought my husband would be the last one to receive a cancer diagnosis.
Bill had always been very athletic and proactive...
Need an omentectomy? Here’s what to expect
If you need an omentectomy as a part of your cancer treatment, you probably have a lot of questions.
To learn more about who needs...
7 unexpected benefits to having an ostomy
The first few years after my stage II colorectal cancer diagnosis were pretty rough. I was in and out of the hospital with infections...
Cervical cancer symptoms: What to look for and when to see a doctor
Like many women diagnosed with cervical cancer, Linda Ryan didn’t initially have any symptoms. So, she didn’t know she had the disease until...
RET inhibitors: A treatment for any RET-altered cancer
Cancer research is advancing rapidly, and patients are benefitting from new therapies faster than ever. One example is a type of targeted...
7 questions about chemo ports, answered
Throughout cancer treatment, patients may go through many blood draws, infusions and injections. All these needle sticks can be uncomfortable...
‘My first symptoms of ovarian cancer’: Signs to look for and when to see a doctor
Bloating, diarrhea and abdominal pain are three of the most common symptoms of ovarian cancer. They’re also some of the easiest to overlook...
6 things we’ve learned about CAR T cell therapy
Since MD Anderson’s first CAR T cell therapy clinical trial launched in 2015, we’ve cared for hundreds of patients undergoing CAR T cell therapy...
What is neoadjuvant immunotherapy for skin cancer?
Neoadjuvant immunotherapy is an immunotherapy that’s started before surgery. It is almost always followed with additional doses of adjuvant...
What causes cervical cancer? 6 questions, answered
About 10,000 people are diagnosed with cervical cancer each year. The vast majority of cases are due to the human papillomavirus (HPV).
MD Anderson offers hope to patient with stage IV triple-negative breast cancer
In October 2020, Archna Chainani was diagnosed with stage IV triple-negative breast cancer (TNBC), one of the most aggressive forms of breast...
Immunotherapy combination enables melanoma survivor to sail through retirement
A cancer diagnosis is never good news, but Paul McKinney knows that his stage III melanoma diagnosis at least came at a “good” time in terms...
CAR T cell therapy puts smoldering and multiple myeloma survivor in remission
Until she came to MD Anderson, 82-year-old Myrna Youmans had never heard the words “smoldering myeloma.” So, she didn’t know that they described...
Heart cancer: Insights on diagnosis, treatment and research
The heart pumps blood to send vital oxygen throughout the body. It’s a maze of four chambers: two on the left and two on the right. Blood...
Germinoma caregiver: Why I wrote an open thank you note to MD Anderson
My mother was diagnosed with breast cancer when she was 94. My mother-in-law had it when she was in her 40s. But to my knowledge, there’s...
Ovarian cancer stages: How they are determined
When doctors diagnose a patient with ovarian cancer, a gynecologic oncologist will need to determine what stage it is. If you or a loved one...
6 fitness questions, answered
Some people make exercise look so easy. They’re at the gym several times a week, posting running times from their fitness app. It’s like they...
‘How I knew I had lung cancer’: Three survivors share their symptoms
Chest pain, shortness of breath and a persistent cough can all be symptoms of lung cancer.
But they can also be signs of other conditions...
7 tips for reducing household toxins
It’s easy to feel overwhelmed by toxins that may increase cancer risk. After all, household products have so many unrecognizable ingredients...
Hodgkin lymphoma, leukemia survivor: Targeted therapy clinical trial put me in remission
By the time I got to MD Anderson in March 2021, I’d already been through two cancer diagnoses, three relapses, six types of chemotherapy and...
Innovative surgery approach helps young colon cancer patient and mom beat the odds
Cassie McKee mistook her first colon cancer symptoms for food poisoning in 2017. When the active mom’s sudden nausea didn’t subside, she feared...
What is a urostomy?
A urostomy is a surgical procedure that can be a part of bladder cancer treatment. You may also need a urostomy if your bladder isn’t functional...
How to support cancer patients during mental health struggles
Cancer can bring a wide range of emotions for patients, both after a diagnosis and during treatment. Coping with side effects and a changing...
Papillary thyroid cancer: 8 questions, answered
Papillary thyroid cancer is the most common form of thyroid cancer. It is normally a slow-growing cancer and makes up roughly 80% to 85% of...
Prostate cancer survivor: I’m grateful for treatment at MD Anderson
My dad had prostate cancer when he was 66, so I never miss my annual physical and routine bloodwork.
In August 2021, when my prostate-specific...
3 facts about Pancoast tumors
Lung cancer can form in any part of the lungs. When lung tumors grow in the upper portion of the lung, above the first rib, they’re called...
Retired oncologist: Four things I’ve learned as a six-time cancer survivor
As a retired physician, I have several advantages over the average layperson. First, I can understand the medical jargon used by other doctors...
Nodular melanoma: 5 questions, answered
Nodular melanoma is a type of skin cancer that can mimic benign conditions, including blood blisters and acne. It’s also one of the more invasive...
Fecal transplants help lung cancer patient keep colitis in remission
Six years ago, Suzanne Singletary traveled to central Florida to spend Christmas with her family.
She had a small cough, so she stopped...
Breast cancer survivor fundraises to advance cancer research
Twenty-three years ago, Brenda Petru made a promise to her best friend, Sue, that she would continue fundraising for cancer research — no...
6 things to know about Retin-A
Choosing skin care products can be overwhelming. There are so many ingredients and so many claims of benefits.
But there is one ingredient...
Managing rheumatoid arthritis and cancer: 5 insights
Rheumatoid arthritis is an autoimmune disease that causes inflammation and swelling in the joints. It’s caused when the immune system mistakenly...
CAR T cell therapy put me into complete remission after a non-Hodgkin lymphoma diagnosis
I’m a nurse, so when I started experiencing pain and swelling in my lower abdomen, I suspected inflammatory bowel disease, or even worse,...
Cancer of the unknown primary survivor: Why I joined a clinical trial at MD Anderson
In March 2015, I was diagnosed with cancer of the unknown primary (CUP). That means the original cancer site could not be identified....
4 questions about COVID-19 vaccines and bivalent boosters, answered
Last updated on Oct. 13, 2022
You’ve been vaccinated for COVID-19, but is it time for your next booster? Which type of booster should...
Pancreatic cyst and cancer survivor: Why I’m glad I went to MD Anderson
Before I went to MD Anderson, I didn’t even know I had pancreatic cancer. All I knew was that I had a huge pancreatic cyst. And I only found...
Amelanotic melanoma: 7 questions, answered
Most melanomas tend to appear as irregular black or dark brown splotches on the skin. But amelanotic melanoma is an outlier: it doesn’t share...
What is CRISPR?
There are over 6 billion letters, or nucleotides, of DNA in the genome. These contain all the information needed to create an individual organism...
Breast cysts and breast cancer: How can you tell the difference?
Many women will experience a breast cyst at some point in their lives. Though they tend to be more common among women between the ages of...
HER2 positive breast cancer survivor gains new perspective
Over the last few years, I’ve learned a lot about what makes MD Anderson No. 1 in the nation for cancer care. As a quality and compliance...
Flu and COVID-19 vaccines: What to know in 2022
The start of a new flu season often brings questions, such as: “When should I get my shot?” And, “Is it OK to get my flu shot and another...
Acral lentiginous melanoma: 8 questions about this rare skin cancer
Many skin cancers — including cutaneous melanoma — are associated with UV exposure. Yet acral lentiginous melanoma develops only on areas...
Canker sore vs. oral cancer: How can you tell the difference?
Most people experience a canker sore at some point in their lives. These small, often painful lesions can appear on any moist, fleshy surface...
New mom faces three cancer diagnoses
Christine Routledge was three months pregnant with her second child when routine bloodwork revealed something in her blood levels was off....
Pancreatic cysts: What they are and how they’re treated
The pancreas is part of the digestive system which helps your body regulate blood sugar and digest food. Sometimes cysts can develop inside...
HER2 low breast cancer expert: Precise diagnosis can lead to personalized treatment
Updated Oct. 31, 2022
As part of a complete breast cancer diagnosis, patients will learn their HER2 status. The human growth receptor...
How Gardner syndrome leads to colon cancer, skin bumps, extra teeth and more
Gardner syndrome is a rare, inherited condition where people develop hundreds and sometimes thousands of abnormal growths in their large and...
New research offers a path forward with treating leptomeningeal disease in melanoma patients
When cancer cells enter the leptomeninges, which are part of the membrane that covers the brain and spinal cord, it can turn into a type of...
What are the benefits of drinking kombucha?
Kombucha is a fermented drink made from tea, yeast, bacteria and sugar. It has grown in popularity, and some believe it has many health benefits...
COVID-19’s bivalent boosters: 9 questions, answered
Last updated on Oct. 13, 2022
You may have heard that the Food and Drug Administration (FDA) has granted emergency use authorization...
From a small village in China to MD Anderson: Genomic medicine researcher looks to the future of big data in cancer care
As an associate professor in Genomic Medicine, Linghua Wang, M.D., Ph.D., studies how normal cells become cancerous and how cancer cells develop...
Angiosarcoma survivor aspires to become an oncologist
Michael Scott has always kept his support system in mind. That was true when he was diagnosed with angiosarcoma more than five years ago,...
Who’s at increased risk for skin cancer?
High exposure to ultraviolet rays can cause anyone to get skin cancer. But some people are more likely to develop skin cancer than others....
MD Anderson helps Major League Baseball broadcaster overcome head and neck cancer
When retired Major League Baseball player and Toronto Blue Jays broadcaster Buck Martinez was diagnosed with cancer, he knew exactly what...
Need an ostomy? Here’s what to expect
If you need an ostomy as a part of your cancer treatment, you probably have a lot of questions.
To learn more about who...
10-year multiple myeloma survivor: Why I joined a clinical trial at MD Anderson
When I was diagnosed with multiple myeloma at age 63, it actually didn’t bother me. I felt like whatever this was, God had a plan charted...
Cancer immunologist: MD Anderson provides culture of collaboration, not competition
I’ve always been interested in how to jump-start the immune system. My curiosity led me to train as a postdoc under Jim Allison, Ph.D., in...
HER2 positive breast cancer: What it is, diagnosis and treatment
The human epidermal growth factor 2 – also known as HER2 – is a protein that tells human cells when to grow and when not to grow. Sometimes...
10 mpox (monkeypox) myths you shouldn’t believe
Last updated on Dec. 1, 2022
Was mpox (formerly called monkeypox) created in a lab? Can you get it from going in a swimming pool...
Diagnosed with breast cancer after menopause? Aromatase inhibitors can help
The female hormone estrogen is “fuel” for about 80% of breast cancers in women who’ve gone through menopause.
“Menopause itself...
Melanoma and colorectal cancer survivor: I’m glad I went to MD Anderson
Unless you’re a patient, or know a friend or relative who has it, I can’t imagine most people think too much about cancer — much less where...
Cutaneous T cell lymphoma: When a rash is actually cancer
Did you know that lymphoma is an umbrella term that includes several subtypes? In general, lymphoma is a cancer that involves immune cells...
Cervical cancer survivor: Why I still have hope, even after six recurrences
Some survivors spend a lot of time worrying that their cancer might come back. That is totally understandable. But it’s also something I make...
Neutropenic diets: What cancer patients should know
Some cancer treatments can weaken the immune system, making you more susceptible to infections. This means that cancer patients can often...
How does hormone therapy for breast cancer work?
Hormones control nearly all of our bodily functions, from growth and development to emotions, sexual function and even sleep. But hormones...
How cancer patients can avoid identity theft
Sophisticated cyberattacks are more common than ever as thieves find new ways to steal people’s information and identity. Patients with cancer...
Teen appendix cancer diagnosis leads family back to MD Anderson
When Angie Levinthal’s husband, Jared was diagnosed with colon cancer in 2012, she was terrified that he might not be there to watch...
Understanding the types of leukemia
How many types of leukemia are there? What makes each one unique, and are they treated any differently?
We went to leukemia specialist...
Ampullary cancer: 9 insights on this rare digestive system cancer
Ampullary cancer is a rare type of gastrointestinal cancer with symptoms so similar to pancreatic cancer that it is sometimes mistaken...
Breast cancer survivor grateful for MD Anderson’s care
In August 2021, Dawn Patrick found a lump underneath her arm while in the shower. She immediately made an appointment with her primary care...
Stage IV neuroendocrine tumor survivor: Why I keep joining clinical trials at MD Anderson
My mother was diagnosed with colon cancer at age 45. She passed away just two years later. So, I started getting my colorectal cancer screenings...
Helping my daughter overcome childhood soft tissue sarcoma
When my 11-year-old daughter, Averi, fell at school, we didn’t think anything of it. But when the bruise didn’t go away after several weeks...
7 questions about follicular lymphoma, answered
Non-Hodgkin lymphoma is caused by abnormal white blood cells. While there are several types, non-Hodgkin lymphoma can be divided into slow-growing...
Breast cancer survivor: Don’t put off your mammogram
I did not expect anything to be wrong during my mammogram. I hadn’t felt any lumps or noticed any other breast cancer symptoms. So when the...
What is NUT carcinoma?
NUT carcinoma is a rare cancer that starts in the lungs or sinuses. Less than 200 cases are diagnosed in the U.S. each year. But it might...
5 questions about photodynamic therapy, answered
Developed in the 1900s, photodynamic therapy uses light to kill cancer cells and spare healthy tissue. It can be used in a variety of cancer...
Cancer and COVID-19: What protection do antiviral therapies provide?
Last updated Jan. 31, 2023
If you or someone you know has had COVID-19 recently, you may have heard of PAXLOVID. Maybe you’ve even...
Types of skin cancer: How they’re diagnosed and treated
What are the different types of skin cancer? How are they usually diagnosed? What do they look like? And how are they treated?
<...Medical laboratory scientist faces her own multiple myeloma diagnosis
As a senior medical laboratory scientist at MD Anderson, I work behind the scenes to analyze patients’ lab work. My findings play a crucial...
Breast cancer surgery recovery and follow-up screening
Most breast cancer patients undergo surgery of some kind. For some, this may include mastectomy; others may have breast conservation surgeries...
COVID-19’s BA.4 and BA.5 Omicron subvariants: 12 questions, answered
The Omicron subvariants BA.4 and BA.5 are behind an increase in COVID-19 infections and hospitalizations. We spoke with MD Anderson’s Chief...
What is synthetic nicotine?
Beating a nicotine addiction is one of the toughest things a person can do, but it can be one of the best things for your health. Nicotine...
Myelodysplastic syndrome researcher: Leaps of faith led to my career at MD Anderson
Growing up in Italy, I found my happy place with science. Even when dealing with a challenging home life, science offered an escape. But I...
4 myths about tattoos, sunscreen and sun safety
Whether you have a tattoo from radiation therapy or have a meaningful design you’ve worn for years, there are a few things you should know...
Blood donor: Why I give at MD Anderson
Growing up, Ross Robinson knew the type O-negative blood he and his family shared was special.
"I'm a universal...
Esophageal cancer survivor marks end of treatment with custom sculpture
Roberta Burns was diagnosed with esophageal cancer on her 64th birthday. She’d been dealing with dysphagia, or difficulty swallowing, for...
Stages of breast cancer: How they’ve changed over time
In the past, only the size of a tumor and the status of nearby lymph nodes were used to determine the stage of someone’s breast cancer. It...
In sickness and in health: Husband and wife face back-to-back cancer diagnoses
Carolyn Drone thought her days of coping with cancer were over. She’d finished leukemia treatment two years earlier and showed no signs of...
Mineral or chemical sunscreen: Which should you choose?
As we spend more time outside this summer, you may be wondering how best to protect yourself from the sun’s damaging UV rays and reduce your...
Mpox (monkeypox) 101: Insights for cancer patients and caregivers
Last updated Dec. 1, 2022.
If you’ve seen the headlines about mpox (formerly called monkeypox) and are wondering if you need to be...
7 self-soothing techniques to build emotional resilience
Has claustrophobia ever kept you from getting an MRI? Or a fear of needles made routine bloodwork or IV chemotherapy difficult? If so, then...
Breast cancer survivor: Treatment at MD Anderson is helping me get on with my life
In September 2021, I was in the process of moving to San Antonio and finishing up some coursework for a teaching certification. Then, I got...
Hair loss after chemotherapy: 10 things to know
If you need chemotherapy as a part of your cancer treatment, you might have some concerns about losing your hair. But does every chemotherapy...
Childhood melanoma patient returns to the rodeo after surgery
Rebekah Thibodeaux didn’t expect to see her daughter 13-year-old daughter, Lane, back in the saddle so soon. When Lane was diagnosed with...
Surgical lymphedema treatment: 8 things to know
Lymphedema is a side effect of cancer treatment that can cause swelling in the arms and legs. It happens when lymphatic fluid doesn’t drain...
33-year leukemia survivor: Why I’ll keep going to MD Anderson for my care
When I was first diagnosed with Philadelphia-positive chronic myeloid leukemia in 1989, there weren’t that many treatment options available...
Why my wife had an awake craniotomy to treat glioblastoma
By the time my wife, Priscilla, was diagnosed with an aggressive brain tumor called glioblastoma, her condition was so serious that she needed...
Autologous stem cell transplants: What to expect
Since they were first introduced more than 60 years ago, stem cell transplants have cured or extended the lives of millions diagnosed with...
Throat cancer survivor: Why I’m an HPV vaccine advocate and a myCancerConnection volunteer
By the time I was diagnosed with HPV-related throat cancer in the summer of 2014, I’d been working as a senior systems analyst at MD Anderson...
What happens to your lungs from smoking? 3 things to know
Roughly 85% of all lung cancer diagnoses are caused by smoking. But what does smoking actually do to your lungs?
Does the lung...
Could gold nanoparticles help treat cancer?
Gold nanoparticles are minuscule particles made of gold. From drug and gene delivery to photothermal and photodynamic therapies to screening...
Colorectal cancer symptoms in women: 5 things to know
What are the symptoms of colorectal cancer in women? Are they any different from the symptoms that men normally experience? And is it possible...
9 cancer treatment tips from survivors
When you want to know what to expect from cancer treatment, it can help to talk to someone who has gone through it. Each patient’s experience...
Tonsil cancer survivor travels from New York to Houston for treatment
My personal goal has always been to run the New York City Marathon. As New York residents, my family and I have volunteered at the event for...
Biliary tract cancer survivor: Come to MD Anderson first
John Davis is one of the many regular gym-goers who was forced to reimagine his workout routine at the start of the COVID-19 pandemic. ...
Lung cancer staging: Why it is important and how it works
When you’re diagnosed with lung cancer, one of the most important things you’ll learn is your cancer’s stage. Staging is a way of describing...
Bispecifics antibodies: The next big thing in lymphoma treatment
CD20-targeting monoclonal antibodies and immune checkpoint inhibitors started a revolution in cancer treatment by using immune cells to treat...
What to expect from an endometrial biopsy
If you’ve been told you need an endometrial biopsy, you probably have some questions. Why has it been ordered? What will it involve? And,...
8 insights on lobular breast cancer
Historically, two breast cancer subtypes known as invasive lobular carcinoma and ductal carcinoma have been grouped together. They’ve been...
Gift ideas for cancer patients: 14 survivors share their favorites
A bag of simple peppermint candies can provide welcome relief from the nausea that sometimes accompanies chemotherapy. And a tube of high-quality...
High-grade neuroendocrine carcinoma survivor defies the odds
Last updated Feb. 14, 2023
Curtis Crump is serious about staying in shape. With his job, he has to be.
“I’m an airplane and...
Paraplegic bladder cancer survivor: ‘I wouldn’t trade my life for anyone else’s’
I am a licensed clinical social worker. So, I’m a really good person to have around in a crisis. Usually, I approach those situations like...
Occupational therapy for cancer patients: What is it, and who needs it?
Cancer and its treatments, such as chemotherapy and surgery, can sometimes affect a patient’s physical and cognitive functions. This can affect...
Donors bring fun and comfort to childhood cancer patients
MD Anderson donors can make a big impact for programs that ultimately support some of our youngest cancer patients like 5-year-old Giovanni...
Melatonin for cancer patients: Is it safe?
If you’ve ever struggled with insomnia, you’ve likely heard of melatonin. This nutritional supplement has been widely available in drug stores...
How to ensure you’re getting high-quality cancer treatment
Deciding where to receive treatment is one of the most critical decisions you can make after a cancer diagnosis.
So, how do you ensure...
Survivor: Why I’m on a mission to help others prevent colorectal cancer
The running joke in my family is that I’m always at the doctor’s office. I’ve never missed a checkup since I was in my early 20s. And I go...
Dense breast tissue: What it is, and what to do if you have it
Breasts come in all shapes and sizes, but did you know they can also vary in density? Breasts are composed of fat and glandular breast tissue...
Heart-healthy diet: What is it, what can you eat and what should you avoid?
If you’re newly diagnosed with cancer and preparing to start treatment, heart health might be the last thing on your mind. But it shouldn’...
Childhood rhabdomyosarcoma: 6 facts
Rhabdomyosarcoma is the most common soft tissue sarcoma in children and adolescents. This type of sarcoma grows in the muscles attached to...
Can the Budwig diet prevent cancer?
In the 1950s, German biochemist Johanna Budwig developed a diet that she believed kept unhealthy cells from growing. Known as the Budwig diet...
Hairy cell leukemia: 6 questions, answered
Hairy cell leukemia is a rare blood cancer diagnosed in only about 1,000 people each year in the United States. Usually slow-growing, it’s...
COVID-19 and summer travel: Advice for cancer patients
Last updated May 31, 2022
Figuring out how to travel safely has never been more confusing — especially for cancer patients and their...
Young adult chondrosarcoma survivor: MD Anderson helped me avoid amputation
At age 21, most people are still discovering who they are. But I was being treated at MD Anderson for osteochondroma-associated de-differentiated...
Pain management for pancreatic cancer patients
One of the earliest and most common side effects of pancreatic cancer is pain. The pancreas sits below your sternum in your mid-abdomen and...
Non-Hodgkin lymphoma survivor: Why I traveled more than 7,000 miles from Jordan for cancer treatment
I had symptoms of non-Hodgkin lymphoma in the spring of 2008, though I didn’t recognize them at the time. The first was a severe headache,...
How to improve your gut health
Your gut health impacts your immune system, your mental health and your overall well-being.
When you have a healthy gut, your...
Anxiety 101: Why you feel anxious and what you can do about it
Anxiety is a normal reaction to a perceived threat or stressful situation. It can range from mild nervousness to a full-blown panic attack...
5 common myths about hormone imbalances
Your thyroid, the butterfly-shaped gland at the base of your neck, regulates several of the body’s hormones. These hormones control your metabolism...
Researchers explore new possibilities for ovarian cancer treatment
Researchers have made progress in treating ovarian cancer through surgery and chemotherapy. Yet the disease remains tough to treat because...
Radiation treatment for blood cancers
Blood cancers like lymphoma and multiple myeloma begin in blood-forming tissue, such as bone marrow or in cells of the...
After rectal cancer diagnosis, horse trainer is back in the saddle again
As a horse trainer, Trey Bullinger spends hours in the saddle every day. That’s why he blamed hemorrhoids when he noticed blood in his...
Prosthetic ear helps new mom find closure after adenoid cystic carcinoma treatment
In June 2021, Georgie Dehnert was finally able to truly hear her 1-year-old daughter’s sweet giggle for the first time. Seven months into...
Robotic surgery gets teen adrenal tumor patient back to sports
Mazen Nadim wasn’t interested in robotic surgery to remove his adrenal tumor at first. No scar, no deal, the 15-year-old insisted. After all...
Clinical trial explores drug repurposing for non-small cell lung cancer treatment
Over the last decade, the three-year survival rate for lung cancer has increased dramatically. That means more people are living longer after...
5 questions about stomach polyps, answered
When you hear the word “polyp,” you may think of the colon. But that’s not the only place in your body where they can develop. In fact, you...
20-year-old patient: You’re never too young to get colorectal cancer
I was just coming off of my first year playing college basketball in August 2021 when I was diagnosed with stage IV colorectal cancer. ...
Myelodysplastic syndrome survivor: Why I joined a clinical trial
I’d never heard of myelodysplastic syndrome (MDS) before I was diagnosed with it in November 2019. So, I didn’t know it was a bone marrow...
Who needs a second COVID-19 vaccine booster shot?
You may have heard talk recently about a second COVID-19 vaccine booster shot. But if you’re confused about whether you need one — and what...
Breast cancer survivor: MD Anderson helped me overcome my fears
My mom died of breast cancer when she was just 51. A lot of other people in my family have been diagnosed with cancer, too. So, I always kind...
Stem cell transplant wipes out all signs of cancer in acute myeloid leukemia survivor
I’m a statistics guy, so when my doctor explained that a stem cell transplant offered me the greatest odds for surviving acute myeloid leukemia...
Can a vaccine help prevent Lynch syndrome-related cancers?
An estimated one in every 288 people has Lynch syndrome. “It’s about 1 million people in the United States,” says Eduardo Vilar-Sanchez, M.D...
Head and neck cancer survivor sings the praises of music therapy
Arik Mayer had just graduated from high school and was eagerly anticipating his new life as a college student. But during his first year at...
6 facts about smoldering myeloma
Sometimes, routine health exams like blood tests can uncover health issues you didn’t even know you had. That’s often the case with a rare...
Three-time cancer survivor: Why I joined a clinical trial
I’ve been treated for three different types of cancer at MD Anderson. The first one was a rare skull base tumor called mucoepidermoid carcinoma...
Nine-time cancer survivor: ‘Actually, I feel kind of lucky’
Cancer has been a part of my life practically from Day 1.
I had to have my left kidney removed when I was just 4 months old,...
Immunotherapy clinical trial puts bladder cancer survivor on road to renewed health
After Ron Speidel retired, he and his wife, Brenda, ventured around the U.S. in their RV for nine years.
“Then I got the big C,” says...
Nasopharyngeal cancer survivor faces the same cancer diagnosis as three family members
Growing up with a family history of cancer, Jonathan Ting knew the importance of regular checkups. If anything were to happen, he wanted to...
What is the future of immunotherapy?
Immunotherapy represents a new paradigm in cancer care. It’s really an entirely new mechanism for treating cancer. We're not targeting...
Triathlete: Tongue cancer treatment was my race course
I ran my first triathlon in the summer of 2015. Even with the 100-degree Texas heat, I fell in love with the sport. I started training several...
Inflammatory breast cancer survivor: I’m glad I went to MD Anderson
On Oct. 13, 2014, I received the news that I had inflammatory breast cancer. Everything my local doctor said right after that sounded like...
How to choose the best spring produce
The arrival of spring often inspires change, like spring cleaning. It can also be a great time to add more seasonal, healthy foods to your...
How retzius-sparing prostatectomy helped a prostate cancer patient
Just six weeks after his prostate cancer surgery, Alejandro Ayestaran ran a 10K.
His recovery was speedy thanks to rehabilitation exercises...
How I quit smoking and gained a new life
I was just 11 when I started smoking in the 1980s. Finding cigarettes was easy. My mom was a smoker, and when she reached the end of a pack...
What are ultra-processed foods?
There’s a new term floating around the food world. It’s designed to help you identify the processed foods it’s OK to eat, and the ones to...
Solitary plasmacytoma survivor finds relief in MD Anderson’s expertise
Around his 31st birthday in April 2021, Brian Hertz scratched the side of his head and felt something strange.
“It’s hard to describe...
Nurse finds insight in her breast cancer diagnosis
During the aftermath of Hurricane Harvey in 2017, my doctor told me that my inflammatory markers were sky high. She also was concerned about...
Multiple cancer diagnoses inspire visionary gift
Whether designing computer systems as a management consultant in the oil-and-gas industry or earning an MBA at Rice University, Charlotte...
Stage IV mantle cell lymphoma survivor: ‘Cancer patients have hope’
It all started in October 2018 during a trip to Mexico. I consumed a fruit that caused me to become ill. Upon my return to the U.S., my doctor...
Anaplastic thyroid cancer survivor: I wish I’d gone to MD Anderson first
Everything I have today, I owe to my voice. God granted me a wonderful singing voice at a very young age, and it served me well until I was...
‘How I knew I had colorectal cancer’: Six survivors share their symptoms
Constipation, diarrhea, and abdominal pain can all be symptoms of colorectal cancer.
But they can also be signs of other conditions...
What is the best donation for your blood type?
Cancer patients often need blood and platelet transfusions during their cancer treatment, and MD Anderson depends on our generous blood and...
6 things to know about breastfeeding and your cancer risk
Moms-to-be get asked a lot of questions. How are you feeling? Have you picked a name yet? How long to go? And then the questions about the...
5 facts about acrylamide and cancer risk
French fries. Potato chips. Processed cereals. You probably know these aren’t the best foods for you because of the calories and saturated...
Colon polyps: 10 things to know
If you’re age 45 or older, your doctor may have already talked to you about the need to start getting a colonoscopy to check for polyps. ...
Prostate cancer researcher finds rewards in mentoring
Daniel Frigo, Ph.D., developed a passion for science at a young age, inspired by his mechanical engineer dad and physician mom.
“I...
Acute myeloid leukemia survivor shows no signs of cancer after clinical trial
Connor Johnson was eager to return to his job as a licensed electrician after recovering from COVID-19 last spring. But his enthusiasm was...
What do your lab test results mean?
Ever logged into MyChart to check on some lab test results, then just stared blankly at the screen once you saw them? You’re not alone. ...
Common thyroid cancer symptoms to look for
The thyroid is a butterfly-shaped gland in your lower neck. It produces hormones that help regulate your metabolism, temperature and energy...
Multiple myeloma survivor and employee: ‘MD Anderson really is the best’
When I was diagnosed with multiple myeloma in October 2009, I knew exactly where I wanted to go for my cancer treatment.
Because with...
New approaches to managing familial adenomatous polyposis (FAP)
Polyps are clusters of cells that can develop in the entire gastrointestinal tract, but they’re more likely seen in the small intestine, colon...
Medical physicist: Why I get my cancer screenings at MD Anderson
I’ve never been diagnosed with cancer, but I still get screened at MD Anderson for both breast cancer and skin cancer every year. And I tell...
Metastatic melanoma survivor grateful for immunotherapy clinical trial
Last updated March 18, 2022.
When Bob Seibert reflects on the nearly one and half years since his stage IV melanoma diagnosis...
Glioma vs. glioblastoma: What’s the difference?
Glioma and glioblastoma might sound similar, but there are differences between these two types of brain tumor diagnoses.
Here, neuro-oncologist...
What is cancer?
A cancer diagnosis can stir up fear – fear of the loss of life, as well as fear of changes to quality of life.
But it can also cause...
6 ways a social work counselor can help during cancer treatment
Last updated Sept. 21, 2022
A cancer diagnosis brings many challenges. But from physical and emotional changes, to scheduling ...
Multiple myeloma cancer researcher strikes balance between the lab and her family ranch
Michelle Hildebrandt, Ph.D., left the Midwest 14 years ago for a two-year postdoctoral fellowship at MD Anderson that focused on cancer prevention...
4 tips to avoid sugar spikes
Last updated Oct. 4, 2023.
Your body works hard to keep the sugar in your blood at a safe level. As soon as you eat that cookie or...
Pediatric rhabdomyosarcoma caregiver supports son through treatment
The summer after six-year-old Christian completed kindergarten, he started complaining that his ear hurt. His mom, Marisa Garcia, thought...
Is pancreatic cancer hereditary? 9 things to know
Many cancers have been linked to genetic mutations, whether they’re inherited or occur spontaneously.
Certain BRCA mutations, for instance...
7 anxiety hacks: How to manage stress and worry in the moment
Many people already know that activities like yoga, exercise, meditation and talk therapy can help reduce anxiety. But what do you do when...
Triple-negative breast cancer survivor participates in research studies to give back
Michelene Holmes was diagnosed with stage IIIA triple-negative breast cancer in January 2014 at 45 years old after she noticed a tightening...
Pancreatic cancer and sarcoma survivor grateful for treatment at MD Anderson
When retired Florida physician Bob Wagar, M.D., was diagnosed with pancreatic cancer and sarcoma, he knew he would've felt comfortable...
Blood donation and COVID-19: 3 things to know
If you’re confused about how your COVID-19 status might affect your eligibility to donate blood or platelets, you’re not alone. ...
Inflammatory breast cancer survivor: Why I chose MD Anderson for my treatment
I was 41 when I found out I had breast cancer.
One day, I was carting around two teenagers and a preschooler, running our small...
Cancer immunologist: Research at MD Anderson is my calling
I'm an immunologist and a T cell biologist. My work pushes our understanding of how the immune system recognizes and destroys tumors....
How to find trustworthy cancer information online
If you’re reading this blog post, you’re among the three-quarters of all Americans who search for health information online.
The good...
Cancer glossary: 13 terms to know about your diagnosis
If you or a loved one have recently been diagnosed with cancer, you may be hearing a lot of terms like stage, grade, prognosis or minimal...
8 tips for getting the best results from at-home COVID-19 antigen tests
At-home COVID-19 antigen tests can be very convenient. A positive result can confirm a COVID-19 infection in minutes and help you protect...
Mucosal melanoma survivor: Why I chose MD Anderson for my skull base tumor treatment
I am a three-opinion type of guy. Any time I need a job done, I always try to get three bids before making a decision. So, when I was diagnosed...
A stroke of good luck: How an accidental liver cancer diagnosis saved one man’s life
Jerry Achan describes the day he collapsed from a stroke as “the luckiest day of my life.”
Without that stroke, doctors would never...
Stage IV Hodgkin lymphoma survivor: An immunotherapy clinical trial put me in remission
Cancer doesn’t run in my family, so when I noticed a small swelling on my collar bone in March 2020, I just shrugged it off. I travel a lot...
Leiomyosarcoma: 7 facts about this rare soft tissue cancer
Soft tissue sarcoma begins in the soft – or connective – tissues of the body, such as muscle, fat and blood vessels. There are dozens of ...
What does throat cancer look like?
Most people who are diagnosed with throat cancer won’t see anything unusual if they look in the mirror, open their mouths and say, “Ahhhh....
COVID-19 treatment options for cancer patients: 7 things to know
Last updated on Aug. 9, 2022.
When the COVID-19 pandemic began two years ago, so little was known about the SARS-CoV-2 virus that all...
How to cook meat and keep your cancer risk low
Red meat is any meat from a mammal, including beef, pork, mutton, lamb and goat. These meats should only be eaten in small or moderate amounts...
A community-based approach to cancer prevention and wellness
“Every community is unique,” says Ruth Rechis, Ph.D., director of Be Well Communities™, MD Anderson’s place-based strategy...
Leukemia survivor: How I found confidence in my treatment plan
In January 2017, I was 24 years old and had just started working in a hospital in the northeast. Mere days after starting my new job, my dad...
A blueprint to end cancer
Unforeseen challenges and obstacles often bring about reinvigorated passion and determination to move forward to the next chapter. This was...
KRAS clinical trial gives lung cancer patient more time
Dane Clark is still a lung cancer patient, but it doesn’t interfere with his daily life anymore.
“It’s about as simple as it can be...
‘Flurona’: when flu and COVID-19 collide
If you’ve heard the word “flurona” recently, but aren’t quite sure what it means, you’re not alone. Many people have expressed confusion about...
How MD Anderson is powering breakthroughs in cancer research
Scientific discoveries are essential to driving advances in cancer care. From better screening and diagnostic techniques to innovative new...
Putting people first: How MD Anderson supports its employees
One day before severe winter storms swept through Texas in February 2021, Ronald Abraham and his family left their Houston...
Benign tumors: 5 common questions
Tumor forms when cells start to multiply and produce an abnormal growth. Malignant cells can invade nearby tissue and spread to other parts...
Intuitive eating: 4 tips to get started
Wouldn’t it be nice to let go of all the rules about healthy eating and simply follow your body’s signals when you eat? That’s the promise...
Secondary cancers: Why they occur and how to catch them early
Though it happens very infrequently, sometimes people develop a second type of cancer in addition to the first. This could be due to a number...
At-home COVID-19 testing for the omicron variant: 7 insights
With the rise of the omicron variant, a mild cough can have you fearing that you’ve got COVID-19.
And whether it’s a PCR test that...
Getting to know Chief Data Officer Caroline Chung, M.D.
In October 2021, radiation oncologist Caroline Chung, M.D., became MD Anderson’s first-ever chief data officer.
Her charge? To shape...
How interventional radiology is used to manage cancer-related bone pain
Many types of cancers can spread to the bone, leading to areas of damage called lesions. 80% of patients with metastatic prostate cancer develop...
Meditation: 7 things to know
Meditation used to be a fringe practice, but now it’s regularly recommended by health care providers to help with symptoms ranging from stress...