OncoLog se despide
Septiembre 2017
El informe del MD Anderson Cancer Center, impreso y en línea, para médicos, sobre los últimos avances en el tratamiento y la investigación sobre el cáncer
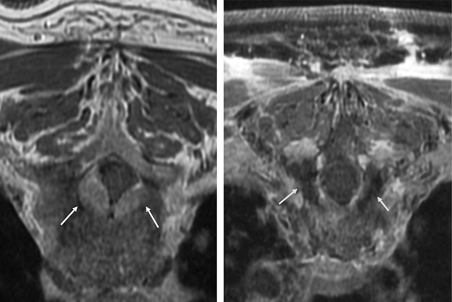
Termoterapia intersticial inducida por láser para metástasis vertebrales
La técnica láser puede ser una alternativa a la cirugía abierta antes de la radioterapia estereotáctica para metástasis adyacentes a la médula espinal
Inmunoterapia más terapia dirigida para el cáncer anaplásico de tiroides
Un ensayo combina atezolizumab con agentes dirigidos o agentes citotóxicos para pacientes con cáncer anaplásico o indiferenciado de tiroides
Una nueva era en el linfoma folicular
Los fármacos de reciente aprobación y los ensayos clínicos representan un cambio de agentes citotóxicos por agentes dirigidos y inmunoterapéuticos
Visita a domicilio: Comprender los ensayos clínicos
Los ensayos ofrecen acceso a nuevos tratamientos oncológicos
Edicións anteriores
Ver archivos
Julio 2018
Inhibición del FGFR para el cáncer de vejiga
Mayo-Junio 2018
Tratamiento para el cáncer de mama sin cirugía
Abril 2018
El “Entrenamiento del hambre” ayuda a controlar el peso y puede reducir el riesgo de cáncer
Marzo 2018
Terapia local consolidativa más inmunoterapia o agentes dirigidos para el NSCLC
Febrero 2018
Radioterapia para el cáncer de hígado
Enero 2018
Inmunoterapia para cánceres genitourinarios
Noviembre-Diciembre 2017
Tratamiento de la neuropatía inducida por la quimioterapia
Octubre 2017
Terapia con preservación de órganos para el cáncer de esófago
Agosto 2017
Inmunoterapia para el mieloma indolente
Julio 2017
Las mutaciones del RAS y las metástasis en el hígado por cáncer colorrectal
Mayo-Junio 2017
Células asesinas naturales dirigidas con receptores de antígenos quiméricos para tratar neoplasias de células B
Abril 2017
Adelantos en el tratamiento quirúrgico del linfedema
Marzo 2017
Inmunoterapia para el glioblastoma
Febrero 2017
La extirpación de las trompas de Falopio puede reducir el riesgo del cáncer de ovario
Enero 2017
Inmunoterapia neoadyuvante para el melanoma
Noviembre-Diciembre 2016
Cáncer de mama triple negativo
Octubre 2016
Prevención de infecciones urinarias
Septiembre 2016
Oncofísica del transporte y cáncer pancreático
Agosto 2016
Carcinoma paratiroideo