OncoLog se despide
Octubre 2016
El informe del MD Anderson Cancer Center, impreso y en línea, para médicos, sobre los últimos avances en el tratamiento y la investigación sobre el cáncer
Prevención de infecciones urinarias
Un programa reduce la tasa de infecciones postoperatorias en pacientes con cáncer
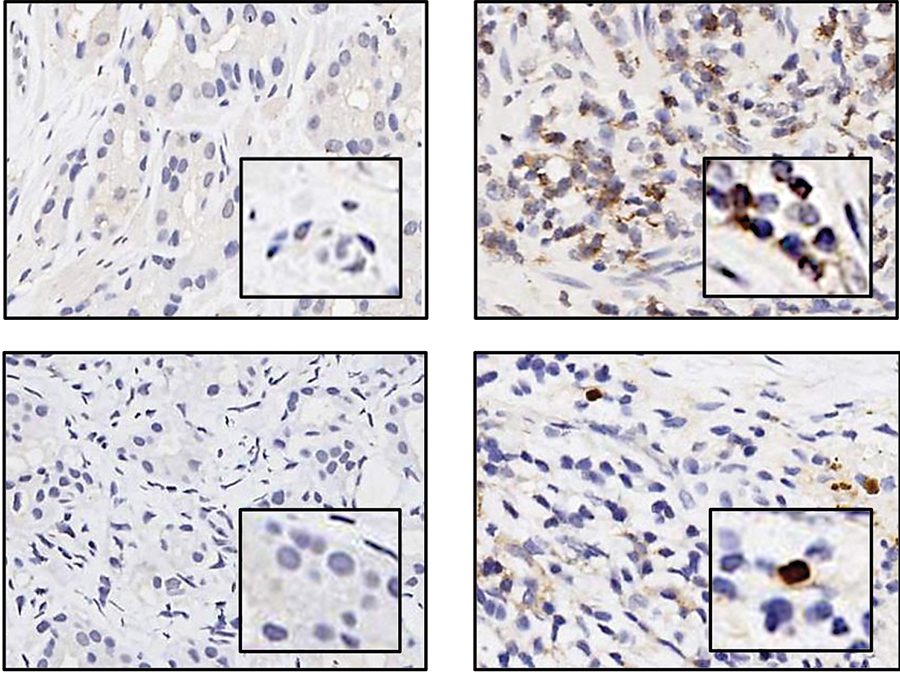
Reparación de desajuste de ADN deficiente en cáncer rectal
Un estudio ofrece un punto de partida para las pruebas de inmunoterapia en cáncer rectal
Cáncer colorrectal hereditario
Más de un tercio de los cánceres colorrectales en pacientes de 35 años de edad o menos son hereditarios
Células asesinas naturales para el tratamiento del meduloblastoma
La infusión de células asesinas naturales (NK) en el cerebro se muestra promisoria contra el meduloblastoma y otros tumores de la fosa posterior
Clínica del síndrome de cáncer gastrointestinal hereditario
La clínica ofrece atención experta para pacientes con síndrome de cáncer gastrointestinal hereditario y familiares en riesgo
Visita a domicilio: Vitamina D y prevención del cáncer
Las investigaciones son prometedoras pero aún no son concluyentes
Edicións anteriores
Ver archivos
Julio 2018
Inhibición del FGFR para el cáncer de vejiga
Mayo-Junio 2018
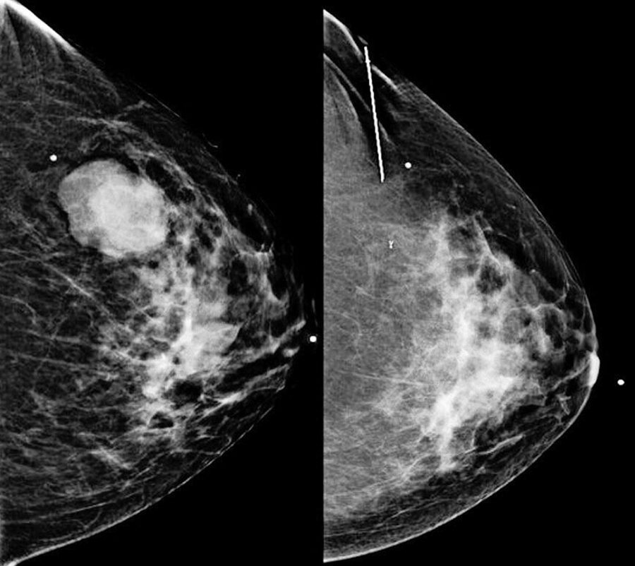
Tratamiento para el cáncer de mama sin cirugía
Abril 2018
El “Entrenamiento del hambre” ayuda a controlar el peso y puede reducir el riesgo de cáncer
Marzo 2018
Terapia local consolidativa más inmunoterapia o agentes dirigidos para el NSCLC
Febrero 2018
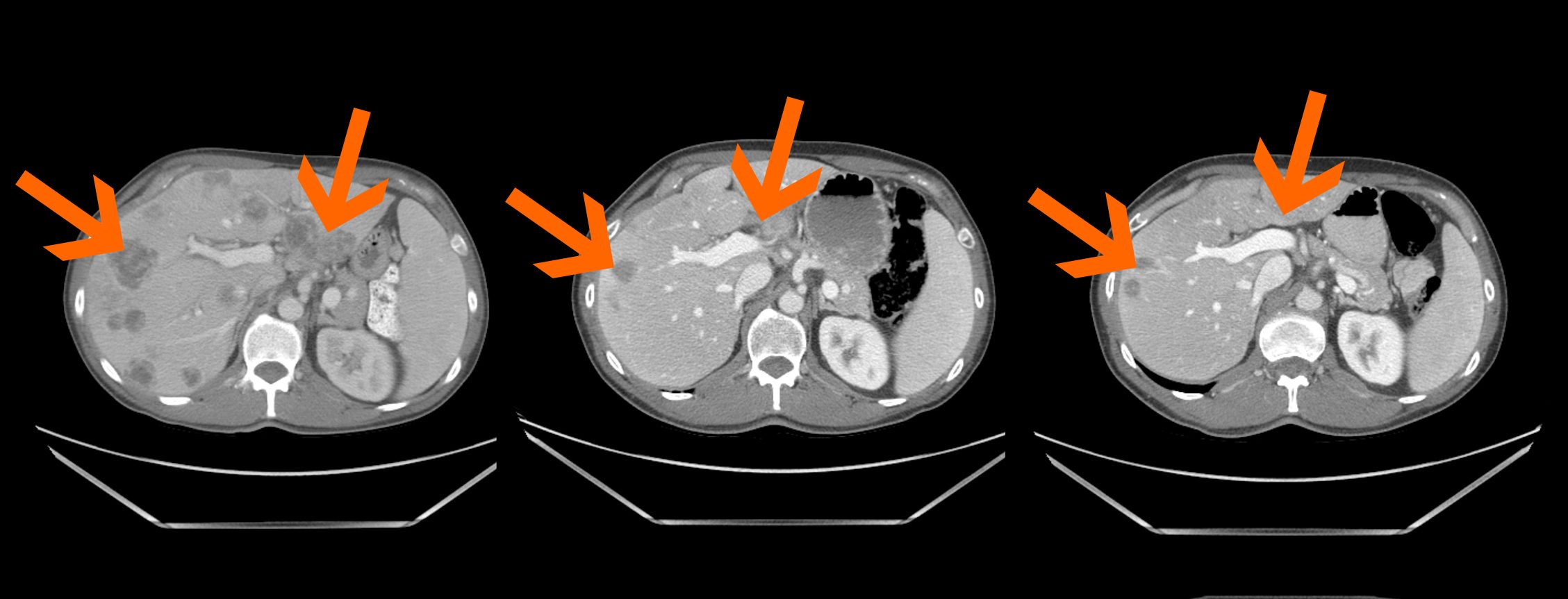
Radioterapia para el cáncer de hígado
Enero 2018
Inmunoterapia para cánceres genitourinarios
Noviembre-Diciembre 2017
Tratamiento de la neuropatía inducida por la quimioterapia
Octubre 2017
Terapia con preservación de órganos para el cáncer de esófago
Septiembre 2017
Termoterapia intersticial inducida por láser para metástasis vertebrales
Agosto 2017
Inmunoterapia para el mieloma indolente
Julio 2017
Las mutaciones del RAS y las metástasis en el hígado por cáncer colorrectal
Mayo-Junio 2017
Células asesinas naturales dirigidas con receptores de antígenos quiméricos para tratar neoplasias de células B
Abril 2017
Adelantos en el tratamiento quirúrgico del linfedema
Marzo 2017
Inmunoterapia para el glioblastoma
Febrero 2017
La extirpación de las trompas de Falopio puede reducir el riesgo del cáncer de ovario
Enero 2017
Inmunoterapia neoadyuvante para el melanoma
Noviembre-Diciembre 2016
Cáncer de mama triple negativo
Septiembre 2016
Oncofísica del transporte y cáncer pancreático
Agosto 2016
Carcinoma paratiroideo