OncoLog se despide
Julio 2018
El informe del MD Anderson Cancer Center, impreso y en línea, para médicos, sobre los últimos avances en el tratamiento y la investigación sobre el cáncer
Inhibición del FGFR para el cáncer de vejiga
El erdafitinib tiene una tasa de respuesta favorable en cánceres de vejiga avanzados, incluidos aquellos que no responden a la inmunoterapia
Tratamiento de lesiones de mama de alto riesgo
La recomendación firme del proveedor de recibir terapia preventiva aumenta su uso en el caso de las mujeres con carcinoma lobulillar in situ e hiperplasia atípica
Gemcitabina en aerosol para metástasis pulmonares
Un ensayo clínico pone a prueba un sistema novedoso de administración de quimioterapia para los pacientes con metástasis pulmonares de osteosarcoma y otros tumores sólidos
Visita a domicilio: Qué hace el Instituto Nacional del Cáncer
Recursos para pacientes con cáncer, cuidadores, médicos, investigadores
Edicións anteriores
Ver archivos
Mayo-Junio 2018
Tratamiento para el cáncer de mama sin cirugía
Abril 2018
El “Entrenamiento del hambre” ayuda a controlar el peso y puede reducir el riesgo de cáncer
Marzo 2018
Terapia local consolidativa más inmunoterapia o agentes dirigidos para el NSCLC
Febrero 2018
Radioterapia para el cáncer de hígado
Enero 2018
Inmunoterapia para cánceres genitourinarios
Noviembre-Diciembre 2017
Tratamiento de la neuropatía inducida por la quimioterapia
Octubre 2017
Terapia con preservación de órganos para el cáncer de esófago
Septiembre 2017
Termoterapia intersticial inducida por láser para metástasis vertebrales
Agosto 2017
Inmunoterapia para el mieloma indolente
Julio 2017
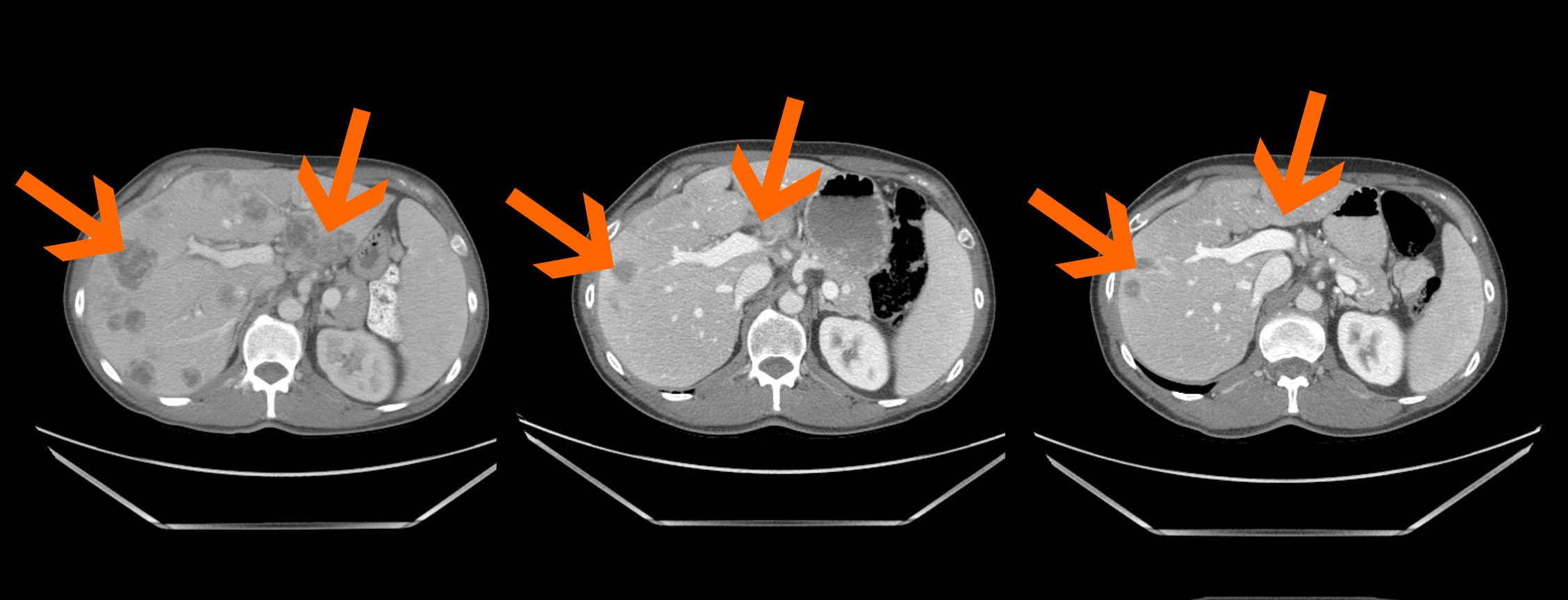
Las mutaciones del RAS y las metástasis en el hígado por cáncer colorrectal
Mayo-Junio 2017
Células asesinas naturales dirigidas con receptores de antígenos quiméricos para tratar neoplasias de células B
Abril 2017
Adelantos en el tratamiento quirúrgico del linfedema
Marzo 2017
Inmunoterapia para el glioblastoma
Febrero 2017
La extirpación de las trompas de Falopio puede reducir el riesgo del cáncer de ovario
Enero 2017
Inmunoterapia neoadyuvante para el melanoma
Noviembre-Diciembre 2016
Cáncer de mama triple negativo
Octubre 2016
Prevención de infecciones urinarias
Septiembre 2016
Oncofísica del transporte y cáncer pancreático
Agosto 2016
Carcinoma paratiroideo