OncoLog se despide
Agosto 2017
El informe del MD Anderson Cancer Center, impreso y en línea, para médicos, sobre los últimos avances en el tratamiento y la investigación sobre el cáncer
Inmunoterapia para el mieloma indolente
Ensayos clínicos prueban los inhibidores de CD38/PD-1 para retardar la progresión de la enfermedad premaligna al mieloma múltiple
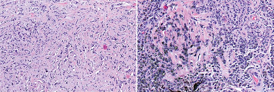
Investigación sobre feocromocitoma y paraganglioma simpático malignos
Estudios pueden expandir las opciones de tratamiento para los pacientes con tumores neuroendocrinos raros
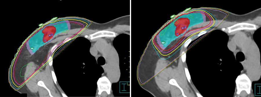
Irradiación hipofraccionada de mama parcial
Ensayo clínico prueba régimen de radioterapia de haz externo durante 10 días después de tumorectomía para pacientes con cáncer de mama de estadio inicial
Visita a domicilio: Apoyo para pacientes con cáncer
Los pacientes y cuidadores encuentran muchos tipos de apoyo en diversas organizaciones
Edicións anteriores
Ver archivos
Julio 2018
Inhibición del FGFR para el cáncer de vejiga
Mayo-Junio 2018
Tratamiento para el cáncer de mama sin cirugía
Abril 2018
El “Entrenamiento del hambre” ayuda a controlar el peso y puede reducir el riesgo de cáncer
Marzo 2018
Terapia local consolidativa más inmunoterapia o agentes dirigidos para el NSCLC
Febrero 2018
Radioterapia para el cáncer de hígado
Enero 2018
Inmunoterapia para cánceres genitourinarios
Noviembre-Diciembre 2017
Tratamiento de la neuropatía inducida por la quimioterapia
Octubre 2017
Terapia con preservación de órganos para el cáncer de esófago
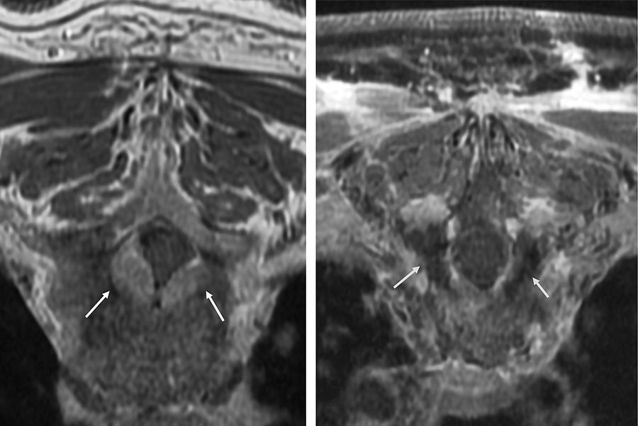
Septiembre 2017
Termoterapia intersticial inducida por láser para metástasis vertebrales
Julio 2017
Las mutaciones del RAS y las metástasis en el hígado por cáncer colorrectal
Mayo-Junio 2017
Células asesinas naturales dirigidas con receptores de antígenos quiméricos para tratar neoplasias de células B
Abril 2017
Adelantos en el tratamiento quirúrgico del linfedema
Marzo 2017
Inmunoterapia para el glioblastoma
Febrero 2017
La extirpación de las trompas de Falopio puede reducir el riesgo del cáncer de ovario
Enero 2017
Inmunoterapia neoadyuvante para el melanoma
Noviembre-Diciembre 2016
Cáncer de mama triple negativo
Octubre 2016
Prevención de infecciones urinarias
Septiembre 2016
Oncofísica del transporte y cáncer pancreático
Agosto 2016
Carcinoma paratiroideo