Irradiación hipofraccionada de mama parcial
Ensayo clínico prueba régimen de radioterapia de haz externo durante 10 días después de tumorectomía para pacientes con cáncer de mama de estadio inicial
La irradiación de mama parcial es una estrategia eficaz para prevenir la recurrencia del cáncer de mama después de la cirugía mamaria conservadora. Sin embargo, la braquiterapia, el método de administración más estudiado, es invasiva y no está ampliamente disponible; por otra parte, la radioterapia de haz externo acelerada de mama parcial ha tenido niveles inaceptables de toxicidad en algunos estudios. En búsqueda de una técnica de radioterapia adyuvante menos invasiva y menos tóxica pero igualmente rápida, investigadores del MD Anderson Cancer Center de la Universidad de Texas están llevando a cabo un ensayo clínico de irradiación de haz externo hipofraccionada de mama parcial para pacientes con cáncer de mama de estadio inicial.
La dosificación hipofraccionada, en la cual la radiación de haz externo se administra en dosis más altas en menos fracciones que en la dosificación de fraccionamiento estándar, ha demostrado ser segura y eficaz para la irradiación de mama completa después de la tumorectomía y es más conveniente y menos costosa para las pacientes (ver Algunas pacientes con cáncer de mama pueden beneficiarse con un ciclo más breve de irradiación mamaria completa, OncoLog, enero 2015). De hecho, la irradiación hipofraccionada de mama completa ahora es una práctica estándar en el MD Anderson para pacientes que han sido sometidas a tumorectomía por cáncer de mama de estadio inicial.
“Nuestro ensayo de irradiación hipofraccionada de mama parcial es el próximo paso natural: tomando parte de las ventajas de la irradiación de mama parcial y algunas de las ventajas de la irradiación hipofraccionada de mama completa y haciendo reunir a ambos conceptos en un punto intermedio”, dijo el Dr. Benjamin Smith, profesor asociado del Departamento de Oncología Radiológica.
“Queremos encontrar la forma más conveniente y menos tóxica de administrar irradiación de mama parcial”, agregó la Dra. Elizabeth Bloom, profesora del Departamento de Oncología Radiológica.
Beneficios y limitaciones de la irradiación estándar de mama parcial
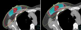
En comparación con la irradiación de mama completa, la irradiación de mama parcial tiene un campo de radiación más reducido, lo que se traduce en menos efectos tóxicos relacionados con la radiación. Por ejemplo, la irradiación de mama completa a veces causa alteraciones cosméticas o tejido cicatricial en la mama o los músculos subyacentes. Tal daño podría evitarse potencialmente con la irradiación de mama parcial, ya que se trata un volumen de tejido más pequeño.
La irradiación de mama parcial mediante el uso de braquiterapia es segura y eficaz, pero tiene algunas desventajas. En primer lugar, los catéteres utilizados para administrar las microesferas radiactivas pueden ser incómodos para las pacientes, y deben permanecer colocados mientras dure el tratamiento. En segundo lugar, los catéteres conllevan un riesgo de infección. Por último, debido a que la colocación de los catéteres requiere de capacitación especializada, el tratamiento no está ampliamente disponible. “La braquiterapia funciona muy bien”, dijo la Dra. Bloom, “pero un limitado número de personas del país saben hacerla bien”.
A diferencia de la braquiterapia, la radioterapia de haz externo está ampliamente disponible pero no se la utiliza por lo común para la irradiación de mama parcial debido a su reputación de producir efectos secundarios no deseados. “Algunos estudios han demostrado que la irradiación de haz externo de mama parcial tiene riesgos mayores de producir tejido cicatricial en la mama y resultados cosméticos desagradables que los esperados con la braquiterapia”, dijo el Dr. Smith. Sin embargo, agregó que esos estudios trataron a las pacientes dos veces al día durante 5 días debido a que ese programa acelerado de dosificación había funcionado para la braquiterapia.
“La radiación de haz externo administrada en dos fracciones diarias no ofrece el tiempo suficiente entre los tratamientos como para que el tejido mamario se repare a sí mismo”, dijo el Dr. Smith. Y el fraccionamiento estándar (es decir, administrado a lo largo de 6 semanas) para la irradiación de haz externo de mama parcial tendría las mismas desventajas, inconvenientes y gastos que tiene para la irradiación de mama completa.
Los Dres. Smith y Bloom y sus investigadores conjuntos formularon la hipótesis de que la dosificación hipofraccionada una vez al día podría evitar los efectos secundarios observados en los estudios previos de la irradiación de haz externo de mama parcial. En marzo comenzaron a inscribir a pacientes en un ensayo clínico de irradiación de haz externo hipofraccionada de mama parcial en clínicas del MD Anderson en el Texas Medical Center, The Woodlands, Sugar Land, el Área de la Bahía y Katy, todas ellas situadas en el área de Houston.
Ensayo clínico
El ensayo en fase II, llamado OPAL (N.º 2016-1035), actualmente está inscribiendo a mujeres de 50 años en adelante con carcinoma ductal in situ o cáncer de mama invasivo en estadio inicial (T1 o T2, N0, M0). Los tumores invasivos deben ser menores de 3 cm y de receptores de estrógenos positivos.
Después de someterse a cirugía de mama conservadora y, si así lo desean, a reconstrucción oncoplástica inmediata, las pacientes reciben terapia de radiación de haz externo hipofraccionada de mama parcial. Se administra una dosis total de 35 Gy en fracciones una vez al día durante 10 días de tratamiento consecutivos (excluidos fines de semana y feriados). Las pacientes cuyos tumores se resecaron con márgenes menores de 2 mm reciben un refuerzo adicional de 9 Gy en tres fracciones. El régimen fue evaluado por el Dr. Howard Thames, Jr., Ph.D., radiobiólogo y profesor del Departamento de Bioestadística, para garantizar que la dosis fuera equivalente al régimen estándar utilizado para la irradiación de mama completa.
La medida primaria en cuanto a resultados del estudio es la tasa de efectos tóxicos de grado 2 o superior desde el inicio de la radioterapia hasta la visita de seguimiento a 6 meses. “Nuestro objetivo es que esta tasa sea más baja que la tasa más baja obtenida en nuestro estudio más reciente de irradiación hipofraccionada de mama completa”, dijo el Dr. Smith, “porque las pacientes de nuestro ensayo actual, al igual que casi cualquier paciente que ha pasado por una tumorectomía, también serían candidatas para ese tratamiento”.
La medida secundaria en cuanto a resultados está representada por los resultados cosméticos reportados por las pacientes. Las pacientes completan cuestionarios acerca de cómo ven y sienten sus mamas al inicio del tratamiento, en la visita de seguimiento a 6 meses y posteriormente en cinco visitas de seguimiento anuales. Estos resultados se compararán con datos del reciente estudio de irradiación hipofraccionada de mama completa.
Si los resultados del ensayo OPAL son satisfactorios, los Dres. Smith y Bloom y sus investigadores conjuntos pueden proponer un ensayo aleatorizado para comparar directamente los resultados de la irradiación hipofraccionada de mama parcial y la de mama completa. La Dra. Bloom dijo, “¿Por qué tratar más tejido sano si no es necesario?”.
Para más información, comuníquese con la Dra. Elizabeth Bloom llamando al 281-646-2244 o escribiendo a ebloom@mdanderson.org, o con el Dr. Benjamin Smith al 713-563-2380 o a bsmith3@mdanderson.org. Para obtener más información sobre el ensayo OPAL, visite www.clinicaltrials.org y seleccione el estudio N.º 2016-1035.
OncoLog, Agosto 2017, Volumen 62, Número 8