OncoLog se despide
Febrero 2018
El informe del MD Anderson Cancer Center, impreso y en línea, para médicos, sobre los últimos avances en el tratamiento y la investigación sobre el cáncer
Radioterapia para el cáncer de hígado
Los ensayos clínicos expanden las opciones de tratamiento para los pacientes con cáncer de hígado primario
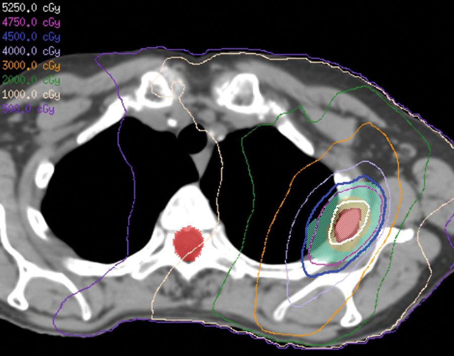
La terapia de protones para el cáncer de mama puede evitar daño en el corazón
El ensayo compara la cardiotoxicidad de la administración de radioterapia basada en protones y en fotones a la mama/la pared torácica y los ganglios linfáticos
Nuevas terapias dirigidas para la leucemia
Nuevos tratamientos se dirigen a las proteínas CD123 y BCL2 en la leucemia mieloide aguda y la neoplasia blástica plasmacitoide de células dendríticas
Visita a domicilio: Cuidados de apoyo para pacientes con cáncer
Los cuidados de apoyo tratan al paciente en su totalidad, no simplemente el cáncer
Edicións anteriores
Ver archivos
Julio 2018
Inhibición del FGFR para el cáncer de vejiga
Mayo-Junio 2018
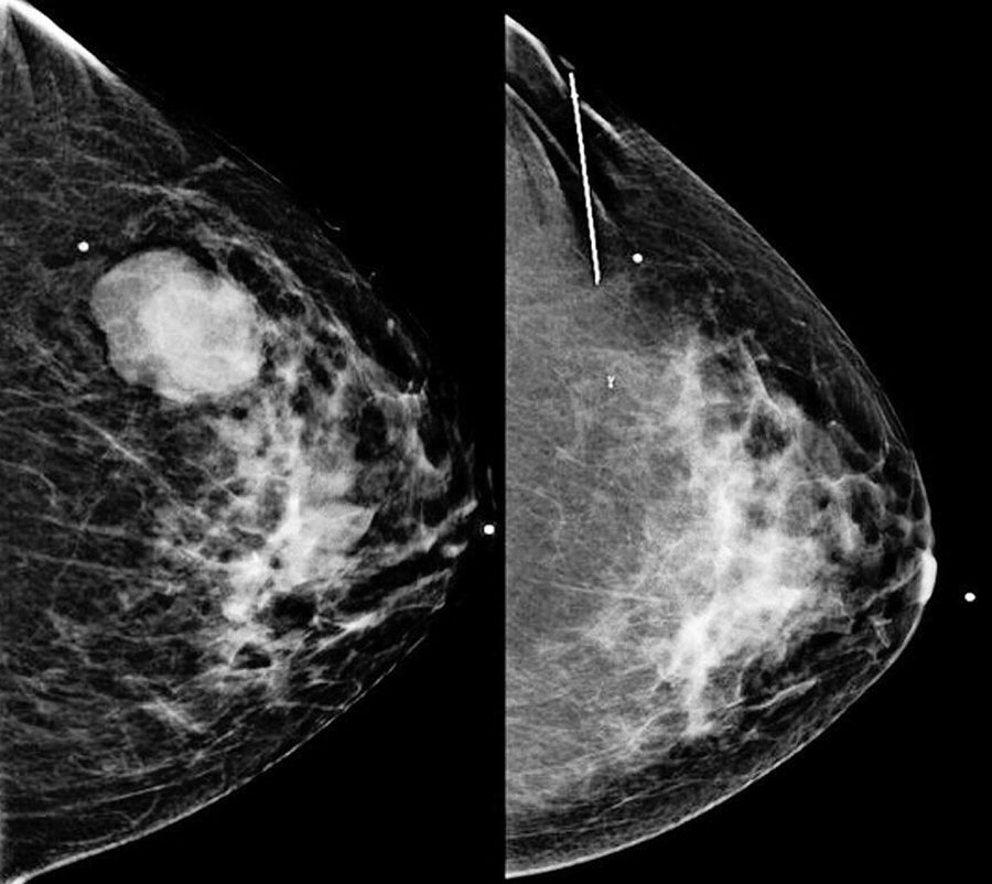
Tratamiento para el cáncer de mama sin cirugía
Abril 2018
El “Entrenamiento del hambre” ayuda a controlar el peso y puede reducir el riesgo de cáncer
Marzo 2018
Terapia local consolidativa más inmunoterapia o agentes dirigidos para el NSCLC
Enero 2018
Inmunoterapia para cánceres genitourinarios
Noviembre-Diciembre 2017
Tratamiento de la neuropatía inducida por la quimioterapia
Octubre 2017
Terapia con preservación de órganos para el cáncer de esófago
Septiembre 2017
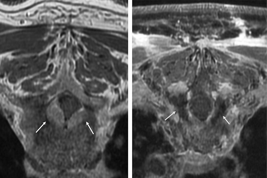
Termoterapia intersticial inducida por láser para metástasis vertebrales
Agosto 2017
Inmunoterapia para el mieloma indolente
Julio 2017
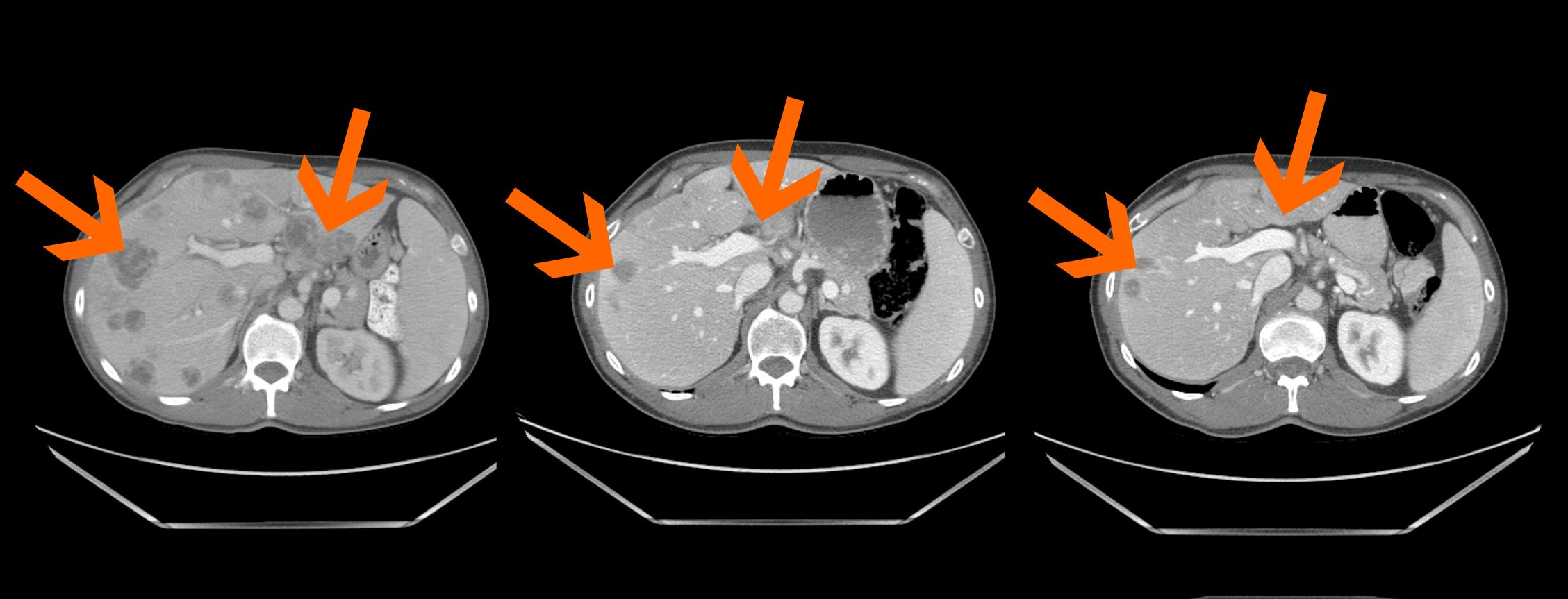
Las mutaciones del RAS y las metástasis en el hígado por cáncer colorrectal
Mayo-Junio 2017
Células asesinas naturales dirigidas con receptores de antígenos quiméricos para tratar neoplasias de células B
Abril 2017
Adelantos en el tratamiento quirúrgico del linfedema
Marzo 2017
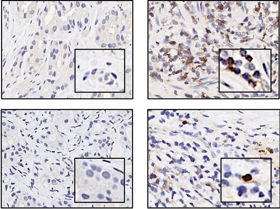
Inmunoterapia para el glioblastoma
Febrero 2017
La extirpación de las trompas de Falopio puede reducir el riesgo del cáncer de ovario
Enero 2017
Inmunoterapia neoadyuvante para el melanoma
Noviembre-Diciembre 2016
Cáncer de mama triple negativo
Octubre 2016
Prevención de infecciones urinarias
Septiembre 2016
Oncofísica del transporte y cáncer pancreático
Agosto 2016
Carcinoma paratiroideo