Termoterapia intersticial inducida por láser para metástasis vertebrales
La técnica láser puede ser una alternativa a la cirugía abierta antes de la radioterapia estereotáctica para metástasis adyacentes a la médula espinal
En muchos pacientes con metástasis vertebrales, la radioterapia estereotáctica puede ofrecer un eficaz control del tumor local a fin de prevenir la compresión de la médula espinal y la subsiguiente parálisis. Sin embargo, en pacientes en quienes una metástasis está rozando o desplazando la médula espinal, el tumor debe ser separado de la médula espinal antes de que se pueda administrar la radiación estereotáctica con seguridad. Hasta hace poco tiempo, esto significaba que los pacientes tendrían que someterse a cirugía abierta, así como a las potenciales complicaciones implícitas y a demoras en otros tratamientos oncológicos. Sin embargo, ahora un cirujano del MD Anderson Cancer Center de la Universidad de Texas está adaptando un método de ablación ya existente como alternativa a la cirugía con el propósito de tratar metástasis vertebrales en pacientes seleccionados.
Para evitar los riesgos asociados con la cirugía de metástasis vertebrales, el Dr. Claudio Tatsui, profesor asociado del Departamento de Neurocirugía, ha adaptado una técnica térmica ablativa basada en láser que se utiliza en forma rutinaria para tratar tumores en el cerebro, la próstata, el hígado y otros sitios. El procedimiento resultante, la termoterapia intersticial medular inducida por láser (SLITT, por sus siglas en inglés), actualmente se realiza exclusivamente en el MD Anderson.
En lugar de tener que extirpar quirúrgicamente la porción del tumor adyacente a la duramadre antes de la radioterapia estereotáctica, dijo el Dr. Tatsui, “estamos utilizando un rayo láser para calentar y destruir el tumor en el espacio epidural y luego nos ocupamos de la enfermedad residual con radioterapia estereotáctica”.
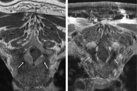
Realización del procedimiento
Mediante la SLITT, una aguja Jamshidi para médula ósea se coloca en el interior de la metástasis vertebral con la guía de resonancia magnética (MRI) o tomografía computarizada. El trócar central de la aguja es retirado y, a través de la aguja, se inserta un alambre de Kirschner. La aguja Jamshidi entonces se retira, y se deja el alambre de Kirschner como guía para colocar una cánula de acceso. Por lo general se colocan cánulas adicionales; el número depende del tamaño y de la ubicación del tumor.
Para el paso de la ablación, se inserta una sonda láser hasta el extremo de la cánula de acceso en el tumor, y la cánula se retrae ligeramente para exponer la punta de la sonda láser. La sonda entonces se energiza para calentar el tejido circundante a una temperatura que daña irreversiblemente las células tumorales (por lo general, de 50 a 74 °C); la temperatura en la separación entre el tumor y las estructuras vitales se mantiene a menos de 50 °C para evitar el daño a estas últimas. El proceso de calentamiento es monitoreado en tiempo real con termometría por MRI.
“Lo que hace que este procedimiento sea especial no es la temperatura misma, sino el monitoreo de la temperatura en el espacio”, dijo el Dr. Tatsui. “La MRI me permite localizar la temperatura y tratar lesiones cercanas a órganos vitales sin dañar esas estructuras. Podemos verificar en tiempo real adónde se está aplicando calor, la extensión del daño y si es preciso colocar sondas láser adicionales”.
El proceso de calentamiento se repite varias veces para garantizar la adecuada cobertura térmica del tumor. La sonda láser puede administrar temperaturas de destrucción tumoral dentro de un radio de 5 a 7 mm; y, por lo general, se requieren tres cánulas de acceso por lesión vertebral, aunque el Dr. Tatsui dijo que ha llegado a usar ocho cánulas para tumores muy grandes. Preparar cada cánula requiere aproximadamente 1 hora, pero el procedimiento de ablación solo lleva 3 o 4 minutos, dependiendo de la complejidad del caso. El procedimiento puede repetirse tantas veces como sea necesario si el tumor vuelve a crecer.
Al igual que la cirugía abierta tradicional, la SLITT es seguida por radioterapia estereotáctica. Sin embargo, la SLITT permite volver al tratamiento con mucha más rapidez que la cirugía. Mientras la media de internación hospitalaria después de la cirugía es 7 días, con la SLITT es apenas de 2 días, dijo el Dr. Tatsui, al tiempo de señalar que el procedimiento también puede beneficiar a los pacientes para quienes no es ideal tener que hacer una interrupción prolongada en el tratamiento sistémico.
Otro beneficio de la SLITT es que parece ser considerablemente menos dolorosa que la cirugía abierta. “Hemos observado las puntuaciones de dolor autorreportadas por los pacientes antes y después del procedimiento, y no hemos comprobado el aumento inmediato del dolor que sí vemos con la cirugía abierta estándar”, dijo el Dr. Tatsui.
Selección de los pacientes adecuados
El Dr. Tatsui ha utilizado la SLITT seguida por radioterapia estereotáctica para tratar las metástasis vertebrales epidurales del melanoma y de los cánceres de mama, pulmón, próstata y otros, pero el uso más frecuente ha sido en pacientes con metástasis de carcinoma de células renales, que es notoriamente resistente a la quimioterapia y a la radioterapia de fraccionamiento convencional. “Estamos usando esta técnica para tratar casi cualquier tumor metastásico en el espacio epidural que sea resistente a la radioterapia convencional”, dijo.
El procedimiento logra su mayor beneficio en pacientes con tumores metastásicos en la columna dorsal, donde ocurre alrededor de un 70% de las metástasis vertebrales. El Dr. Tatsui señaló que trata de evitar la aplicación de la SLITT en pacientes con metástasis en la columna lumbar, ya que estos tumores pueden comprometer o estar próximos a nervios motores, que son muy sensibles al calor.
“He tenido dos casos en los que el tumor se hallaba cerca de un nervio motor y los pacientes tuvieron disfunción del nervio después de la SLITT”, dijo el Dr. Tatsui. “Por lo tanto, tendemos a realizar el procedimiento en lugares donde solo hay nervios sensoriales. La columna dorsal, de T2 a T12, es donde obtenemos los mejores resultados con esta técnica”.
La SLITT también se ha utilizado sin radiación estereotáctica en ocho pacientes, dijo el Dr. Tatsui. Estos pacientes ya habían recibido la máxima dosis acumulativa de radiación a la columna y no eran buenos candidatos para la cirugía paliativa debido a las cicatrices producidas por la radiación y la asociada deficiente sanación. Los resultados fueron alentadores, dijo el Dr. Tatsui, y si los tumores vuelven a aparecer, la SLITT puede repetirse.
Si bien la SLITT podría usarse para tratar tumores primarios en la columna, dijo el Dr. Tatsui, dichos tumores probablemente se tratan con más eficacia mediante la resección oncológica (radical) correspondiente.
Hacia delante
El Dr. Tatsui dijo que él y sus colegas se han sentido muy satisfechos con lo observado al combinar la SLITT con radioterapia estereotáctica, y se encuentra en curso un estudio piloto (N.º 2015-0481) que evalúa la seguridad y la precisión de la guía intraoperativa por MRI para la SLITT. Ahora, dijo, “estamos comparando retrospectivamente los resultados de nuestro protocolo de ablación por láser con los correspondientes a cirugía abierta, y estamos observando resultados muy positivos. Planeamos un estudio prospectivo futuro para comparar directamente la SLITT y la cirugía abierta en el tratamiento de la metástasis vertebral.
“Vislumbro que esta será una alternativa a la cirugía abierta, especialmente en pacientes con enfermedad sistémica agresiva o con comorbilidades considerables que excluyen la cirugía”, dijo el Dr. Tatsui.
Para más información, comuníquese con el Dr. Claudio Tatsui llamando al 713-563-8710 o escribiendo a cetatsui@mdanderson.org.
LECTURA COMPLEMENTARIA
Tatsui CE, Stafford J, Li J, et al. Utilización de termoterapia intersticial inducida por láser y guiada por termometría por MRI en tiempo real como alternativa a la cirugía de separación en el tratamiento de metástasis vertebral. J Neurosurg Spine. 2015;23:400–411.
OncoLog, Septiembre 2017, Volumen 62, Número 9