Reirradiación para el cáncer de cabeza y cuello recurrente
Técnicas estereotácticas permiten la reirradiación de tumores irresecables
Los pacientes con cáncer de cabeza y cuello recurrente o con segundos cánceres primarios de este tipo que previamente recibieron radioterapia en la región de la cabeza y el cuello—especialmente aquellos con tumores irresecables—por lo general tienen un pronóstico lúgubre y opciones de tratamiento limitadas. Si bien la radioterapia ofrece altos índices de control de la enfermedad local, la reirradiación de la región suele evitarse por temor a dañar tejidos saludables previamente irradiados, incluidas estructuras vitales como las arterias carótidas y las estructuras neuronales. Sin embargo, ahora se están usando técnicas avanzadas de imágenes y radioterapia para reirradiar tumores recurrentes preservando las estructuras críticas cercanas en pacientes con cáncer de cabeza y cuello.
En el caso de los pacientes con cáncer de cabeza y cuello recurrente previamente irradiados, la cirugía se considera históricamente la única opción potencialmente curativa. Cuando estos tumores recurrentes son irresecables, la quimioterapia ofrece una mediana de supervivencia de solo 9 a 11 meses, apenas unos meses más que con los cuidados paliativos.
“Estos pacientes con tumores irresecables no tienen demasiadas opciones, y mueren a causa de una enfermedad muy mórbida”, dijo el Dr. Jack Phan, Ph.D, profesor adjunto del Departamento de Oncología Radiológica del MD Anderson Cancer Center de la Universidad de Texas.
Sin embargo, el Dr. Phan y sus colegas han demostrado que, si se la realiza de manera segura, la irradiación de los tumores recurrentes puede ofrecer control del tumor local y aliviar los síntomas. Con el objetivo de también prolongar la supervivencia de los pacientes, el Dr. Phan ahora se encuentra dirigiendo un ensayo clínico que explora la reirradiación en pacientes con cáncer recurrente de cabeza y cuello irresecable.
Superando los problemas de la reirradiación
En la década de 1990, varios ensayos clínicos estudiaron la reirradiación de tumores de cabeza y cuello recurrentes con radioterapia conformada convencional bidimensional y tridimensional. “Esta efectivamente mejoró los resultados en un selecto grupo de pacientes, pero los efectos secundarios fueron horrendos”, dijo el Dr. Phan. La práctica se restringió a casos de muy alto riesgo.
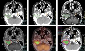
En 2013, considerando que los avances tecnológicos podrían mejorar la seguridad para el paciente, los médicos del MD Anderson comenzaron a utilizar técnicas estereotácticas de reirradiación en pacientes con cánceres recurrentes de cabeza y cuello irresecables. El Dr. Phan y sus colegas visualizan estos tumores creando una imagen tridimensional compuesta a partir de exploraciones mediante resonancia magnética por imágenes, tomografía computarizada y tomografía por emisión de positrones-tomografía computada tomadas con el paciente en la posición de tratamiento. La imagen compuesta se utiliza para planificar la administración de radioterapia corporal estereotáctica (SBRT) con un acelerador lineal o radiocirugía estereotáctica con un bisturí de rayos γ.
“En este momento estamos en un punto en el que podemos dirigirnos al tumor con precisión estereotáctica y evitar los críticos tejidos normales cercanos”, dijo el Dr. Phan. “Anteriormente no podíamos visualizar el tumor muy bien. Los avances en la radioterapia están sumamente vinculados con los avances en las técnicas médicas por imágenes”.
Ambas modalidades estereotácticas administran altas dosis de radiación al tumor en muy pocas fracciones—por lo general, de tres a cinco para la SBRT, y de una a tres para la radiocirugía—con mínimas dosis a las estructuras cercanas. Para garantizar la precisión de la acción dirigida, al paciente se le toman nuevas imágenes en la posición de tratamiento antes de cada sesión. La SBRT se utiliza para la mayoría de los tumores de cabeza y cuello, en tanto que la radiocirugía estereotáctica se reserva para tumores pequeños en la base del cráneo.
Beneficios clínicos de la reirradiación
Los pacientes que previamente recibieron radioterapia en la región de la cabeza y el cuello y que reciben reirradiación para el cáncer de cabeza y cuello recurrente en el MD Anderson se inscriben en un estudio de observación. Los datos de este estudio están demostrando que los pacientes se benefician con la reirradiación.
“Actualmente reirradiamos a unos 100 pacientes al año, lo cual representa un aumento en comparación a los aproximadamente 20 pacientes que reirradiábamos al año antes de 2011”, dijo el Dr. Phan. “Muchos pacientes que tratamos con SBRT hace 3 a 5 años siguen con vida y están bien”.
Además de posiblemente prolongar la supervivencia, la reirradiación puede ofrecer alivio para los síntomas. El Dr. Phan y sus colegas analizaron hace poco los resultados de pacientes que recibieron radiocirugía estereotáctica como tratamiento paliativo del dolor facial provocado por tumores de la base del cráneo recurrentes e irresecables. La mayoría de los pacientes mostraron calificaciones del dolor autorreportado considerablemente más bajas 6 meses después del tratamiento. Además, muchos pacientes pudieron reducir sus dosis de medicamentos para el dolor y algunos lograron suspenderlos por completo.
“Este fue el primer estudio en documentar una reducción en el uso de narcóticos después de la reirradiación con intención paliativa en el caso de los pacientes con dolor provocado por cáncer de cabeza y cuello recurrente”, dijo el Dr. Phan. “Además, en nuestro ensayo clínico actual, la reirradiación con SBRT se está realizando con el objetivo de controlar el cáncer a largo plazo”.
El ensayo actual (N.º 2016-1065) está inscribiendo a pacientes que tienen uno a tres sitios de cáncer recurrente de cabeza y cuello o segundos cánceres primarios irresecables que anteriormente recibieron al menos 30 Gy de radioterapia para este tipo de cáncer. Cada tumor debe ser inferior a 60 cm3, y el volumen total del tumor no debe exceder 100 cm3.
Los pacientes inscritos en el ensayo son asignados aleatoriamente a uno de dos grupos de tratamiento. Un grupo recibe SBRT a una dosis de 45 Gy en cinco fracciones a lo largo de 2 semanas, mientras que el otro grupo recibe radioterapia de intensidad modulada (IMRT) o terapia de protones de intensidad modulada (IMPT) a una dosis de 60-70 Gy en 33-35 fracciones a lo largo de 6 o 7 semanas.
Las medidas de los resultados del ensayo incluyen los efectos tóxicos, el control del tumor local y los síntomas informados por el paciente. “Las tres modalidades utilizadas en el ensayo son altamente conformadas”, dijo el Dr. Phan. “La pregunta que se nos plantea es cuál de las modalidades ofrecerá el mejor control del tumor local y un mejor perfil en cuanto a efectos secundarios”.
Hasta ahora, los pacientes de ambos grupos de tratamiento están bien. “Solo tenemos 1 año de seguimiento, pero la tasa de control del tumor local para todos los pacientes es de 80% a 90%”, dijo el Dr. Phan, subrayando que estos resultados son demasiado tempranos para un análisis significativo. “No sabemos cómo estarán estos pacientes en 5 años, pero las perspectivas son prometedoras”.
En la década de 1990 se consideraba que la reirradiación del cáncer de cabeza y cuello dañaba las arterias carótidas en un 8% a 13% de los pacientes; sin embargo, el Dr. Phan y sus colegas no han comprobado ningún daño de las arterias carótidas en los pacientes del estudio de observación o del ensayo clínico en curso.
Direcciones para el futuro
Según lo esperado, otros ensayos clínicos de técnicas de radiación estereotácticas comenzarán a inscribir a pacientes previamente irradiados con cáncer de cabeza y cuello en el futuro cercano. Algunos de estos ensayos combinarán radioterapia con inmunoterapia.
Un ensayo en fase I combinará SBRT y un inhibidor de puntos de control inmunitario para los pacientes con cáncer recurrente de cabeza y cuello y una a tres lesiones de cabeza y cuello que hayan sido sometidas anteriormente a radioterapia. “Los tumores de cabeza y cuello tienen un alto riesgo de propagarse regionalmente y a distancia”, dijo el Dr. Phan. “Esperamos que la inmunoterapia ayude al cuerpo a actuar en contra de cualquier célula tumoral perdida fuera del campo de radiación”. Los investigadores también esperan que la radioterapia cree un efecto abscopal; es decir, que los antígenos liberados por los tumores irradiados realcen el efecto de la inmunoterapia en las lesiones metastásicas no irradiadas.
El Dr. Phan y sus colegas también desean comprobar si la reirradiación más la inmunoterapia pueden beneficiar a los pacientes con enfermedad resecable. Un ensayo que combina la reirradiación y la inmunoterapia inscribirá a pacientes con cáncer recurrente de cabeza y cuello resecable que anteriormente hayan recibido radioterapia. Después de la resección de la enfermedad recurrente, los pacientes recibirán SBRT de baja dosis en combinación con fármacos de inmunoterapia. Uno de estos fármacos es un novedoso inhibidor de puntos de control inmunitario que también tiene la posibilidad de reducir la inflamación relacionada con la radiación. “Es una situación estimulante, ya que los pacientes reirradiados tienen un alto riesgo de sufrir deformidad cicatricial, y esta proviene de la inflamación”, dijo el Dr. Phan.
El objetivo del Dr. Phan y sus colegas es usar técnicas de irradiación altamente conformadas para prolongar la supervivencia sin causar dolor debilitante o deformidad cicatricial en los pacientes con cáncer recurrente de cabeza y cuello. “Solo contamos con datos de seguimiento de reirradiación con SBRT de hasta 5 años, y desconocemos qué efectos a largo plazo podemos comprobar”, dijo el Dr. Phan. “Pero, al mismo tiempo, muchos de estos pacientes probablemente hubieran tenido 6 meses de vida sin tratamiento”.
Para más información, comuníquese con el Dr. Jack Phan llamando al 713-792-5373 o escribiendo a jphan@mdanderson.org. Para información adicional sobre ensayos clínicos para pacientes con cáncer de cabeza y cuello, visite www.clinicaltrials.org y busque por número de ensayo o tipo de cáncer.
LECTURA COMPLEMENTARIA
Phan J, Pollard C III, Brown PD, et al. Stereotactic radiosurgery for trigeminal pain secondary to recurrent malignant skull base tumors. (Radiocirugía estereotáctica para dolor del trigémino secundario a tumores malignos recurrentes en la base del cráneo). J Neurosurg. En impresión.
OncoLog, Abril 2018, Volumen 63, Número 4
Radiación estereotáctica para tumores de cabeza y cuello de reciente diagnóstico
Si bien gran parte de la investigación del Dr. Phan en tratamientos estereotácticos se ha concentrado en la enfermedad recurrente, él considera que tales tratamientos podrían con el tiempo pasar a ser terapias estándar de primera línea para algunos cánceres de cabeza y cuello. Su actual ensayo de aumento de dosis de SBRT como terapia conservadora de órganos en pacientes con cáncer laríngeo de reciente diagnóstico es un paso en esa dirección.
El ensayo en fase I (N.º 2016-1023) está inscribiendo a pacientes con carcinoma de células escamosas de laringe T1, N1, M0 o T2–4a, N0–1, M0. Todos los pacientes reciben SBRT a una dosis mínima de 40 Gy en cinco fracciones. “El objetivo es evitar la cirugía mientras se elimina el tumor a fin de preservar la función deglutoria, algo que es muy importante para la calidad de vida”, dijo el Dr. Phan.
Las medidas de los resultados del estudio son la dosis máxima tolerada, los efectos tóxicos y la tasa de respuesta completa. Aún no se dispone de resultados iniciales, pero el Dr. Phan es optimista con respecto a los resultados para los pacientes.
Otro ensayo, que aún se encuentra en las etapas de planificación, inscribirá a pacientes con cáncer nasofaríngeo de reciente diagnóstico. Los pacientes recibirán un refuerzo inicial de radiación estereotáctica seguida de terapia de inducción con un inhibidor de puntos de control inmunitario, y luego el tratamiento estándar con quimioterapia más IMRT o IMPT. Los investigadores planean obtener muestras de sangre y tejidos, así como imágenes de exploración, al inicio, después de la terapia de inducción y una vez completada la quimiorradiación con el fin de buscar biomarcadores que puedan predecir los resultados de los pacientes. El estudio de biomarcadores con imágenes será dirigido por el Dr. Clifton David Fuller, Ph.D., profesor adjunto del Departamento de Oncología Radiológica y director médico del Programa de Terapia Oncológica Guiada por Imágenes.
“En mi opinión, estos pacientes pueden ser tratados con efectos secundarios limitados para no perjudicar su calidad de vida”, dijo el Dr. Phan.