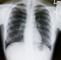
How to encourage loved ones to get spiral CT lung cancer screening
Spiral CT lung cancer screening can help save lives. Current smokers (or former smokers who quit in the past 15 years) and those who smoke about 30 packs of cigarettes a year can participate in lung cancer screening.
But cancer screening can be scary. If your loved ones qualify for lung cancer screening, they may be hesitant to undergo screening because they believe they don't have time or they're afraid of the results. But participating...
Study: How you cook meat can affect your kidney cancer risk
Red meat and processed meat have long been linked to increased cancer risk. But did you know the way you cook meat also can affect your cancer...