Desmoid tumors: 8 things to know
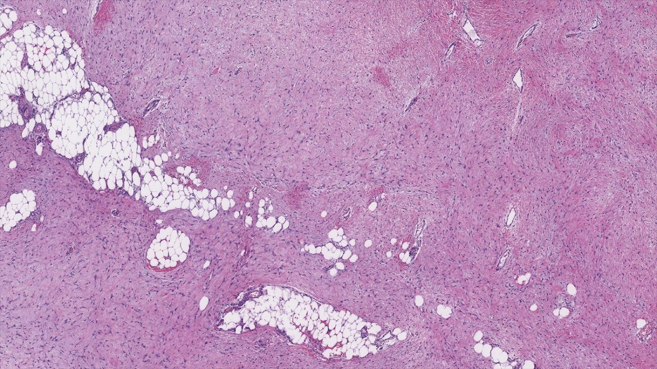
Desmoid tumors are slow-growing, locally invasive tumors that develop in the body’s connective tissues. Also known as aggressive fibromatosis, they’re treated with many of the same therapies that are used on soft tissue cancers like sarcoma, including surgery and chemotherapy.
Not everyone considers desmoid tumors to be cancerous. So, are desmoid tumors benign or malignant? And, how are they usually diagnosed? We asked sarcoma...
Sell by, best by and use by dates: 5 things to know
Use by.
Best by.
Sell by.
We’ve all seen these confusing terms printed alongside dates on food packages and wrappers...
Signs of thyroid issues: How do you know if you have them?
Ever heard someone blame their inability to lose weight on a “thyroid problem?”
While “thyroid problems” can and do cause people real...
7 questions about B vitamin supplements
If you follow professional or collegiate sports, you’ve probably heard at least a few athletes say they needed a B12 injection to boost their energy levels.
You may have also heard claims that B vitamins can reduce anxiety, nausea, insomnia, depression, or other conditions that cancer patients commonly experience as side effects of treatment.
But how many different kinds of B vitamins are there, and how do our bodies use...