MD Anderson, the Oden Institute and TACC announce funding for six new collaborative cancer projects
The University of Texas MD Anderson Cancer Center, the Oden Institute for Computational Engineering and Sciences and the Texas Advanced Computing Center (TACC) at The University of Texas announced funding today for six cancer research projects as part of the Joint Center for Computational Oncology.
Launched in 2020, the collaborative effort aims to accelerate breakthroughs addressing unmet needs for cancer patients by combining...
Funda Meric-Bernstam, M.D., elected to National Academy of Medicine
Funda Meric-Bernstam, M.D., chair of Investigational Cancer Therapeutics at The University of Texas MD Anderson Cancer Center, has been elected...
MD Anderson Research Highlights Special Edition: ASTRO 2024
The University of Texas MD Anderson Cancer Center’s Research Highlights showcases the latest breakthroughs in cancer care, research and prevention...
Allison Institute and Institute for Data Science in Oncology blend spatial biology efforts by appointing new member
The James P. Allison Institute™ and the Institute for Data Science in Oncology (IDSO) at The University of Texas MD Anderson Cancer Center today announced the appointment of pioneering computational biologist and data scientist Linghua Wang, M.D., Ph.D., to roles within each institute.
Building on Wang’s previous work and collaborations at MD Anderson, these appointments will allow her to expand the impact of her research...
ESMO: Novel ADC AZD8205 demonstrates manageable safety profile and preliminary efficacy in first-in-human trial
ABSTRACT: 606O
BARCELONA, Spain – The antibody-drug conjugate (ADC) puxitatug samrotecan (AZD8205) demonstrated a manageable safety...
MD Anderson and Rice launch initiative to advance cancer-focused operations research
The University of Texas MD Anderson Cancer Center and Rice University today announced the launch of the Center for Operations Research in...
Study supports precision radiation therapy in lung cancer
Results from a new study led by researchers at The University of Texas MD Anderson Cancer Center support standard use of the more precise...
MD Anderson’s Institute for Data Science in Oncology establishes internal advisory council to maximize impact
The Institute for Data Science in Oncology (IDSO) at The University of Texas MD Anderson Cancer Center today announced the establishment of...
ASCO: Proton therapy demonstrates advantages in Phase III head and neck cancer trial
ABSTRACT 6006
According to preliminary data from a multi-institution Phase III trial led by researchers at The University of...
Study opens new avenue for immunotherapy drug development
In a new study published today in Nature Biomedical Engineering, researchers at The University of Texas MD Anderson Cancer Center have designed...
AACR: Trio of studies highlights promising early results with new cancer therapies and targets
ABSTRACTS CT037, CT038, CT042
Three early-phase clinical studies presented by researchers from The University of Texas MD Anderson...
AACR: PARP1-selective inhibitor demonstrates early efficacy in breast cancers with DNA repair defects
The first-in-class PARP1-selective inhibitor saruparib demonstrated encouraging early efficacy and a favorable safety profile in patients...
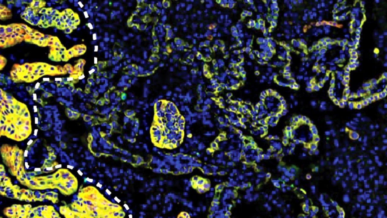
Study unravels the earliest cellular genesis of lung adenocarcinoma
Researchers at The University of Texas MD Anderson Cancer Center built a new atlas of lung cells, uncovering new cellular pathways and precursors...
Vaccine demonstrates potential in delaying relapse of KRAS-mutated pancreatic and colorectal cancers
A vaccine showed potential to prevent relapse of KRAS-mutated pancreatic and colorectal cancers for patients who had previously undergone...