Antiviral T cells safe and effective for treating debilitating complication common after stem cell transplants
A Phase II trial led by researchers at The University of Texas MD Anderson Cancer Center found that BK virus (BKV)-specific T cells from healthy donors were safe and effective as an off-the-shelf therapy for BKV-associated hemorrhagic cystitis (BKV-HC), a painful complication common after allogeneic stem cell transplants for patients with leukemia or lymphoma. The study was published today in the Journal of Clinical Oncology.
Infusion...
MD Anderson and Boehringer Ingelheim expand collaboration to advance lung cancer therapies
The University of Texas MD Anderson Cancer Center and Boehringer Ingelheim today announced the extension and expansion of their joint Virtual...
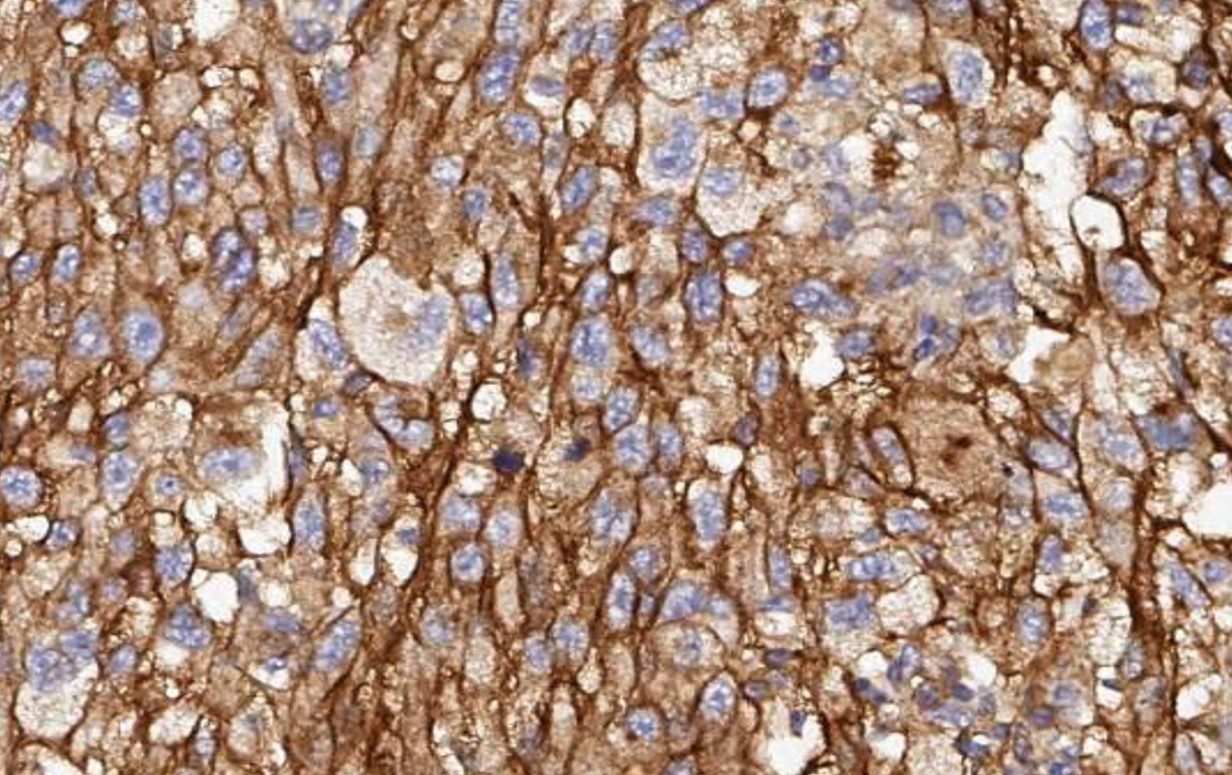
Researchers identify surface protein as a new osteosarcoma therapeutic target for antibody-drug conjugates
Abstract #LB008
A preclinical study led by researchers at The University of Texas MD Anderson Cancer Center shows an antibody-drug...
Mutant KRAS and p53 cooperate to drive pancreatic cancer metastasis
ABSTRACT #2417
Researchers at The University of Texas MD Anderson Cancer Center have discovered that mutant KRAS and p53, the most frequently mutated genes in pancreatic cancer, interact through the CREB1 protein to promote metastasis and tumor growth. Blocking CREB1 in preclinical models reversed these effects and reduced metastases, suggesting an important new therapeutic target for the deadly cancer.
The findings were...
MD Anderson and TriSalus Life Sciences announce strategic research collaboration to evaluate treatment of solid tumors
The University of Texas MD Anderson Cancer Center and TriSalus Life Sciences today announced a strategic research collaboration to evaluate...