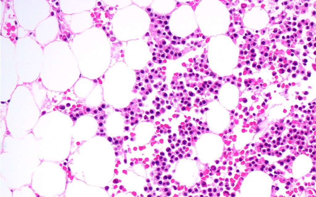
AML study reports high response rates with combination targeted therapy
Initial findings from a multi-national open-label phase Ib study of inhibitory drug therapy for relapsed or refractory acute myeloid leukemia (AML) have demonstrated a complete response in up to 50 percent patients say researchers at The University of Texas MD Anderson Cancer Center .
The patients, age 60 years or older, received therapy with venetoclax in combination with cobimetinib or idasanutlin. The clinical trial followed...
Phase 2 CAR-T study reports significant remission rates at 15-month follow up
A study involving the recently approved CD19-targeting chimeric antigen receptor (CAR) T cell therapy shows that 42 percent of patients with...
Novel regulation of gene expression in brain tumors identified
Study results revealed previously unknown interplay between two key enzymes and a novel understanding of how brain cancer tumors form and...
MD Anderson to present key drug study findings for multiple blood cancers at ASH annual meeting
Researchers at The University of Texas MD Anderson Cancer Center will present their latest findings involving drug treatments for blood cancers at the American Society of Hematology’s (ASH) Annual Meeting & Exposition Dec. 8-12 in Atlanta.
“There can be no doubt that we are in an exciting new era of treatment of blood cancers as evidenced by key presentations by MD Anderson researchers at this year’s ASH meeting,” said Patrick...
Peter WT Pisters, M.D., begins tenure as president of MD Anderson
The University of Texas MD Anderson Cancer Center today welcomes Peter WT Pisters, M.D., as its fifth full-time president in the institution...